Skip to content
logo retconomynow
Sign In
  • Home
  • Berita Nasional
  • Berita Internasional
  • Ekonomi
  • Kesehatan
  • Politik & Hukum
  • Teknologi
  • Contact
Remisi Diabetes Tanpa Obat: Kabar Gembira! Pasien Diabetes Kini Tak Lagi Perlu Konsumsi Obat Seumur Hidup, Simak Syaratnya!
Kesehatan

Remisi Diabetes Tanpa Obat: Kabar Gembira! Pasien Diabetes Kini Tak Lagi Perlu Konsumsi Obat Seumur Hidup, Simak Syaratnya!

retconomynow.com – Dunia kedokteran membawa kabar menggembirakan mengenai pergeseran paradigma dalam pengobatan penyakit gula di…
Stephen Thompson6 hours ago
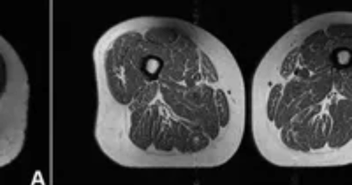
Dampak Makanan UPF Tubuh: Mengerikan! Potret Medis Ungkap Konsumsi Makanan Ultra-Proses Ubah Jaringan Paha Manusia Menyerupai Daging Berlemak!
Kesehatan

Dampak Makanan UPF Tubuh: Mengerikan! Potret Medis Ungkap Konsumsi Makanan Ultra-Proses Ubah Jaringan Paha Manusia Menyerupai Daging Berlemak!

retconomynow.com – Dunia medis kembali dikejutkan oleh visualisasi nyata mengenai pengaruh buruk pola makan modern…
Stephen Thompson5 hours ago
Mikroplastik pada Sayur dan Buah: Waspada! Riset Terbaru Temukan Kandungan Mikroplastik Tinggi pada Jenis Sayur dan Buah Ini!
Kesehatan

Mikroplastik pada Sayur dan Buah: Waspada! Riset Terbaru Temukan Kandungan Mikroplastik Tinggi pada Jenis Sayur dan Buah Ini!

retconomynow.com – Ancaman polusi plastik kini telah merambah jauh ke dalam rantai makanan manusia melalui…
Stephen Thompson4 hours ago
Sinergi Industri Farmasi: Perkuat Kolaborasi Nasional, Sektor Farmasi Siap Hadapi Tantangan dan Gejolak Ekonomi Global!
Kesehatan

Sinergi Industri Farmasi: Perkuat Kolaborasi Nasional, Sektor Farmasi Siap Hadapi Tantangan dan Gejolak Ekonomi Global!

retconomynow.com – Ketidakpastian kondisi geopolitik dan ekonomi dunia menuntut sektor kesehatan nasional untuk meningkatkan daya…
Stephen Thompson17 hours ago
Dampak Otak Korban Pelecehan: Mengapa Rasa Cemas dan Takut Sering Muncul? Begini Penjelasan Ilmiahnya!
Kesehatan

Dampak Otak Korban Pelecehan: Mengapa Rasa Cemas dan Takut Sering Muncul? Begini Penjelasan Ilmiahnya!

retconomynow.com – Pengalaman traumatis akibat tindakan pelecehan meninggalkan bekas yang sangat mendalam tidak hanya pada…
Stephen Thompson18 hours ago
Uji Klinis Siloam Hospitals: Gandeng Organisasi Riset Global, Siloam Perkuat Inovasi dan Penelitian Medis di Indonesia!
Kesehatan

Uji Klinis Siloam Hospitals: Gandeng Organisasi Riset Global, Siloam Perkuat Inovasi dan Penelitian Medis di Indonesia!

retconomynow.com – Sektor layanan kesehatan di Indonesia kini semakin serius dalam mengembangkan pusat penelitian medis…
Stephen Thompson19 hours ago
Dampak Vitamin C: Inilah yang Terjadi pada Tubuh Anda Jika Terlalu Banyak Mengonsumsi Suplemen!
Kesehatan

Dampak Vitamin C: Inilah yang Terjadi pada Tubuh Anda Jika Terlalu Banyak Mengonsumsi Suplemen!

retconomynow.com – Tren konsumsi suplemen untuk menjaga daya tahan tubuh kian meningkat di tengah masyarakat…
Stephen Thompson1 day ago
Pemicu Gagal Ginjal: Pakar Ungkap Faktor Utama yang Makin Mengkhawatirkan di Indonesia Saat Ini!
Kesehatan

Pemicu Gagal Ginjal: Pakar Ungkap Faktor Utama yang Makin Mengkhawatirkan di Indonesia Saat Ini!

retconomynow.com – Lonjakan kasus gangguan fungsi organ vital di tengah masyarakat menjadi perhatian serius bagi…
Stephen Thompson1 day ago
Program Makan Bergizi: BGN Klaim 65 Persen Warga Indonesia Sangat Membutuhkan Dukungan Nutrisi!
Kesehatan

Program Makan Bergizi: BGN Klaim 65 Persen Warga Indonesia Sangat Membutuhkan Dukungan Nutrisi!

retconomynow.com – Upaya peningkatan kualitas kesehatan masyarakat menjadi agenda utama pemerintah dalam membangun sumber daya…
Stephen Thompson1 day ago
Kebiasaan Sederhana Panjang Umur: Pakar Ungkap Rahasia Hidup Sehat Hingga Usia Senja!
Kesehatan

Kebiasaan Sederhana Panjang Umur: Pakar Ungkap Rahasia Hidup Sehat Hingga Usia Senja!

retconomynow.com – Memiliki usia panjang dengan kondisi tubuh yang tetap bugar menjadi dambaan setiap orang…
Stephen Thompson2 days ago
Riset Unair Kanker Serviks: Peneliti Temukan Potensi Daun Apa-apa Sebagai Pencegah Kanker Serviks dan Payudara!
Kesehatan

Riset Unair Kanker Serviks: Peneliti Temukan Potensi Daun Apa-apa Sebagai Pencegah Kanker Serviks dan Payudara!

retconomynow.com – Dunia medis Indonesia kembali mendapatkan angin segar dari hasil inovasi laboratorium perguruan tinggi…
Stephen Thompson2 days ago
Kasus Gagal Ginjal BPJS: Pembiayaan Melonjak 400 Persen, Apa Penyebab Utama Penyakit Ini di Indonesia?
Kesehatan

Kasus Gagal Ginjal BPJS: Pembiayaan Melonjak 400 Persen, Apa Penyebab Utama Penyakit Ini di Indonesia?

retconomynow.com – Kondisi kesehatan masyarakat Indonesia sedang menghadapi ancaman serius dari penyakit tidak menular yang…
Stephen Thompson2 days ago
Risiko PTSD Korban Pelecehan Seksual: Dokter Jiwa Soroti Trauma Berat pada Mahasiswa!
Kesehatan

Risiko PTSD Korban Pelecehan Seksual: Dokter Jiwa Soroti Trauma Berat pada Mahasiswa!

retconomynow.com – Pakar kesehatan mental mulai menaruh perhatian besar pada kasus kekerasan seksual yang terjadi…
Stephen Thompson3 days ago
Kasus ISPA Jakarta Selatan Meningkat: Waspada Musim Pancaroba dan Polusi Udara!
Kesehatan

Kasus ISPA Jakarta Selatan Meningkat: Waspada Musim Pancaroba dan Polusi Udara!

retconomynow.com – Dinas Kesehatan mulai meningkatkan kewaspadaan seiring lonjakan gangguan pernapasan yang menyerang warga di…
Stephen Thompson3 days ago
Warning Gagal Ginjal BPJS: Kasus Meroket di Indonesia, Biaya Pengobatan Naik hingga 400 Persen!
Kesehatan

Warning Gagal Ginjal BPJS: Kasus Meroket di Indonesia, Biaya Pengobatan Naik hingga 400 Persen!

retconomynow.com – BPJS Kesehatan mengeluarkan peringatan keras terkait peningkatan drastis jumlah pasien gagal ginjal di…
Stephen Thompson3 days ago
Kisah Nyata Mendekati Kematian: Benarkah Kita Tetap Sadar Saat Sekarat? Simak Penjelasannya!
Kesehatan

Kisah Nyata Mendekati Kematian: Benarkah Kita Tetap Sadar Saat Sekarat? Simak Penjelasannya!

retconomynow.com – Pertanyaan mengenai apa yang manusia rasakan saat berada di ambang maut selalu menjadi…
Stephen Thompson4 days ago
RI Terapkan Nutri-Level: Menkes Ingin Minuman Level A Jadi Tren dan Contohkan Americano
Kesehatan

RI Terapkan Nutri-Level: Menkes Ingin Minuman Level A Jadi Tren dan Contohkan Americano

retconomynow.com – Pemerintah Indonesia secara resmi memperkenalkan sistem label gizi baru untuk produk minuman kemasan…
Stephen Thompson4 days ago
BPOM Rilis Aturan Baru: Batas Cemaran Mikroba di Mi Instan dan Minuman Serbuk Diperketat!
Kesehatan

BPOM Rilis Aturan Baru: Batas Cemaran Mikroba di Mi Instan dan Minuman Serbuk Diperketat!

retconomynow.com – Badan Pengawas Obat dan Makanan (BPOM) secara resmi memperketat pengawasan terhadap kualitas produk…
Stephen Thompson5 days ago
Benarkah Radiasi HP Bisa Picu Kanker? Simak Jawaban Ilmiah dan Faktanya di Sini!
Kesehatan

Benarkah Radiasi HP Bisa Picu Kanker? Simak Jawaban Ilmiah dan Faktanya di Sini!

retconomynow.com – Kekhawatiran masyarakat mengenai dampak jangka panjang penggunaan perangkat elektronik terus meningkat seiring ketergantungan…
Stephen Thompson5 days ago
Respons IDAI Soal Viral Bayi Hipotermia: Bahaya Bayi Naik Gunung Bukan Main-Main!
Kesehatan

Respons IDAI Soal Viral Bayi Hipotermia: Bahaya Bayi Naik Gunung Bukan Main-Main!

retconomynow.com – Ikatan Dokter Anak Indonesia (IDAI) memberikan peringatan keras kepada para orang tua mengenai…
Stephen Thompson5 days ago
Kasus Penyakit Ginjal Kronis di Malaysia Melonjak: Ternyata Ini Faktor Pemicu Utamanya!
Kesehatan

Kasus Penyakit Ginjal Kronis di Malaysia Melonjak: Ternyata Ini Faktor Pemicu Utamanya!

retconomynow.com – Otoritas kesehatan Malaysia kini menghadapi tantangan besar terkait meningkatnya jumlah pasien gangguan fungsi…
Stephen Thompson5 days ago
Darah Tinggi pada Anak Muda Meningkat: Kenali Risiko Jantung Kolaps Sejak Dini
Kesehatan

Darah Tinggi pada Anak Muda Meningkat: Kenali Risiko Jantung Kolaps Sejak Dini

retconomynow.com – Masalah kesehatan serius kini tidak lagi hanya menyerang kelompok lanjut usia, tetapi juga…
Stephen Thompson6 days ago
Vaksin Campak Dewasa Kemenkes: Simak Daftar 14 Provinsi dan Target Utamanya
Kesehatan

Vaksin Campak Dewasa Kemenkes: Simak Daftar 14 Provinsi dan Target Utamanya

retconomynow.com – Kementerian Kesehatan (Kemenkes) kini mulai memperluas cakupan perlindungan kesehatan masyarakat melalui program imunisasi…
Stephen Thompson6 days ago
Bahaya Radiasi Ponsel dan Risiko Kanker: Simak Temuan Terbaru Para Ilmuwan
Kesehatan

Bahaya Radiasi Ponsel dan Risiko Kanker: Simak Temuan Terbaru Para Ilmuwan

retconomynow.com – Isu kesehatan terkait penggunaan perangkat nirkabel kembali menjadi bahan diskusi hangat di masyarakat…
Stephen Thompson6 days ago
Ikan Besi Penangkal Anemia: Benarkah Efektif Menurut Riset Kesehatan?
Kesehatan

Ikan Besi Penangkal Anemia: Benarkah Efektif Menurut Riset Kesehatan?

retconomynow.com – Inovasi sederhana dalam dunia kesehatan kembali menarik perhatian publik sebagai solusi alternatif. Kabar…
Stephen Thompson1 week ago
Manfaat Tempe bagi Otak: Riset Ungkap Tempe Jadi Superfood Penangkal Alzheimer
Kesehatan

Manfaat Tempe bagi Otak: Riset Ungkap Tempe Jadi Superfood Penangkal Alzheimer

retconomynow.com – Kekayaan kuliner tradisional asli Indonesia kembali mendapatkan pengakuan ilmiah yang sangat luar biasa…
Stephen Thompson1 week ago
Risiko El Nino Godzilla Mengintai: Waspadai Ancaman Kesehatan Serius Ini
Kesehatan

Risiko El Nino Godzilla Mengintai: Waspadai Ancaman Kesehatan Serius Ini

retconomynow.com – Ancaman perubahan iklim ekstrem kini kembali menghantui wilayah tropis dengan kekuatan yang diprediksi…
Stephen Thompson1 week ago
Kemenkes Beberkan Kronologi Bayi Nyaris Tertukar di RSHS Bandung
Kesehatan

Kemenkes Beberkan Kronologi Bayi Nyaris Tertukar di RSHS Bandung

retconomynow.com – Kementerian Kesehatan (Kemenkes) akhirnya memberikan pernyataan resmi terkait insiden medis yang menjadi viral…
Stephen Thompson1 week ago
Fakta Menarik: Konsumsi Kopi Militer AS Capai 950 Ribu Galon
Kesehatan

Fakta Menarik: Konsumsi Kopi Militer AS Capai 950 Ribu Galon

retconomynow.com – Dunia militer internasional baru saja dikejutkan dengan sebuah laporan mengenai logistik perang yang…
Stephen Thompson1 week ago
BGN Terapkan WFH: Pegawai Wajib Balas WA Maksimal 5 Menit
Kesehatan

BGN Terapkan WFH: Pegawai Wajib Balas WA Maksimal 5 Menit

retconomynow.com – Instansi pemerintah yang baru dibentuk kini mulai menerapkan pola kerja modern bagi seluruh…
Stephen Thompson1 week ago
Manfaat Sekuensing Genomik untuk Deteksi Dini Kanker
Kesehatan

Manfaat Sekuensing Genomik untuk Deteksi Dini Kanker

retconomynow.com – Inovasi dalam dunia medis tanah air kini memasuki babak baru dengan hadirnya teknologi…
Stephen Thompson1 week ago
Lady Gaga Alami Infeksi Pernapasan, Kenali Gejala dan Risikonya
Kesehatan

Lady Gaga Alami Infeksi Pernapasan, Kenali Gejala dan Risikonya

retconomynow.com – Kabar kurang menyenangkan datang dari dunia hiburan internasional terkait kondisi kesehatan salah satu…
Stephen Thompson1 week ago
3 Hal Wajib Saat Memilih Susu Formula Anak bagi Orang Tua
Kesehatan

3 Hal Wajib Saat Memilih Susu Formula Anak bagi Orang Tua

retconomynow.com – Memilih produk nutrisi tambahan untuk buah hati tercinta merupakan tanggung jawab besar bagi…
Stephen Thompson1 week ago
BPOM Usulkan Vaksin Campak Luar Negeri
Kesehatan

BPOM Usulkan Vaksin Campak Luar Negeri

retconomynow.com – Badan Pengawas Obat dan Makanan (BPOM RI) baru saja mengeluarkan rekomendasi terbaru bagi…
Stephen Thompson1 week ago
Tes Fungsi Otak Visual untuk Visual Thinker
Kesehatan

Tes Fungsi Otak Visual untuk Visual Thinker

retconomynow.com – Para ahli neurosains baru saja merilis sebuah tantangan unik. Tantangan ini menguji ketajaman…
Stephen Thompson1 week ago
Kasus TB di Indonesia Meningkat Hingga 1 Juta
Kesehatan

Kasus TB di Indonesia Meningkat Hingga 1 Juta

retconomynow.com – Kementerian Kesehatan baru saja merilis data mengejutkan yang menunjukkan bahwa angka kasus TB…
Stephen Thompson1 week ago
Kasus TBC Belum Ditemukan Sorotan Wamenkes Terbaru
Kesehatan

Kasus TBC Belum Ditemukan Sorotan Wamenkes Terbaru

retconomynow.com – Pemerintah Indonesia kini sedang memperkuat strategi guna memutus rantai penularan penyakit menular yang…
Stephen Thompson1 week ago
Bayi Baru Lahir Peserta JKN Otomatis Terbaru
Kesehatan

Bayi Baru Lahir Peserta JKN Otomatis Terbaru

retconomynow.com – BPJS Kesehatan memberikan penjelasan resmi guna menanggapi informasi yang sedang viral di tengah…
Stephen Thompson1 week ago
Gaduh Banner Film Horor Ketua Parfi 56 Ingatkan Dampak Psikologis
Kesehatan

Gaduh Banner Film Horor Ketua Parfi 56 Ingatkan Dampak Psikologis

retconomynow.com – Ruang publik kini tengah menjadi pusat perhatian akibat maraknya visual promosi karya sinematik…
Stephen Thompson1 week ago
BPOM Temukan 24 Obat Herbal Kopi Berbahaya Terbaru April 2026
Kesehatan

BPOM Temukan 24 Obat Herbal Kopi Berbahaya Terbaru April 2026

retconomynow.com – Badan Pengawas Obat dan Makanan (BPOM) kembali mengeluarkan peringatan keras bagi seluruh konsumen…
Stephen Thompson1 week ago
Vasektomi Bikin Sperma Menumpuk Jadi Penyakit Terbaru Kesehatan
Kesehatan

Vasektomi Bikin Sperma Menumpuk Jadi Penyakit Terbaru Kesehatan

retconomynow.com – Mitos mengenai prosedur kontrasepsi pria masih sering menjadi hambatan besar bagi program keluarga…
Stephen Thompson1 week ago
Kemenkes Desak Promosi Film Provokatif Konsultasi Ahli Jiwa Terbaru
Kesehatan

Kemenkes Desak Promosi Film Provokatif Konsultasi Ahli Jiwa Terbaru

retconomynow.com – Kementerian Kesehatan (Kemenkes) RI menaruh perhatian serius terhadap materi promosi hiburan yang mengandung…
Stephen Thompson1 week ago
Batasi Gula Tetap Gemuk Karena Kecap Terbaru Diet
Kesehatan

Batasi Gula Tetap Gemuk Karena Kecap Terbaru Diet

retconomynow.com – Banyak pelaku diet merasa sangat frustrasi karena timbangan berat badan mereka tidak kunjung…
Stephen Thompson1 week ago
Perhimpunan Dokter Jiwa Soroti Baliho Film Aku Ingin Mati Terbaru
Kesehatan

Perhimpunan Dokter Jiwa Soroti Baliho Film Aku Ingin Mati Terbaru

retconomynow.com – Sebuah materi promosi film terbaru di ruang publik mendadak memicu kekhawatiran besar di…
Stephen Thompson1 week ago
Beda Vasektomi dan Kebiri Menurut Pakar Terbaru Kesehatan
Kesehatan

Beda Vasektomi dan Kebiri Menurut Pakar Terbaru Kesehatan

retconomynow.com – Dunia medis tanah air kini memberikan edukasi penting mengenai prosedur kesehatan reproduksi pria…
Stephen Thompson1 week ago
Mpox Bangkit Lagi Singapura Catat Kasus Varian Ganas Terbaru
Kesehatan

Mpox Bangkit Lagi Singapura Catat Kasus Varian Ganas Terbaru

retconomynow.com – Otoritas kesehatan di negara tetangga kembali meningkatkan status kewaspadaan terhadap ancaman wabah penyakit…
Stephen Thompson2 weeks ago
Tips Menyimpan Telur Rebus di Kulkas Tahan Lama Terbaru
Kesehatan

Tips Menyimpan Telur Rebus di Kulkas Tahan Lama Terbaru

retconomynow.com – Menjaga kualitas bahan pangan yang kaya akan protein hewani menjadi kunci utama dalam…
Stephen Thompson2 weeks ago
Menkes Sebut Cuka Apel Bantu Turunkan Kolesterol Terbaru
Kesehatan

Menkes Sebut Cuka Apel Bantu Turunkan Kolesterol Terbaru

retconomynow.com – Otoritas kesehatan nasional baru saja memberikan sorotan pada tren gaya hidup sehat menggunakan…
Stephen Thompson2 weeks ago
Cicada Varian Baru Corona Dominan di Indonesia Terbaru
Kesehatan

Cicada Varian Baru Corona Dominan di Indonesia Terbaru

retconomynow.com – Otoritas kesehatan nasional kembali mengeluarkan peringatan dini terkait pergeseran dominasi virus di tengah…
Stephen Thompson2 weeks ago
Manipulasi Emosi Dikaitkan Dukun Cabul Jatim Terbaru
Kesehatan

Manipulasi Emosi Dikaitkan Dukun Cabul Jatim Terbaru

retconomynow.com – Kasus hukum yang melibatkan oknum spiritual di Jawa Timur kini membuka tabir sisi…
Stephen Thompson2 weeks ago
Nasi Merah Lebih Diet Friendly Ketimbang Nasi Putih Terbaru
Kesehatan

Nasi Merah Lebih Diet Friendly Ketimbang Nasi Putih Terbaru

retconomynow.com – Perdebatan mengenai jenis karbohidrat terbaik untuk menurunkan berat badan selalu menjadi topik hangat.…
Stephen Thompson2 weeks ago
Ultrajaya Setop Susu Sekolah ke Pemasok MBG Melanggar
Kesehatan

Ultrajaya Setop Susu Sekolah ke Pemasok MBG Melanggar

retconomynow.com – Salah satu produsen susu terbesar di Indonesia baru saja mengambil langkah hukum yang…
Stephen Thompson2 weeks ago
Pisang dan Cokelat Redakan Anxiety Terbaru Fakta Medis
Kesehatan

Pisang dan Cokelat Redakan Anxiety Terbaru Fakta Medis

retconomynow.com – Masalah kesehatan mental kini menjadi perhatian sangat serius. Masyarakat modern menghadapi tingkat stres…
Stephen Thompson2 weeks ago
Dokter Ungkap Pemicu Orang Dewasa Rentan Campak Berat
Kesehatan

Dokter Ungkap Pemicu Orang Dewasa Rentan Campak Berat

retconomynow.com – Penyakit campak yang sering kali masyarakat anggap sebagai masalah kesehatan anak-anak kini mulai…
Stephen Thompson2 weeks ago
BPS Ungkap Peserta PBI JKN Meninggal Dunia Terbaru
Kesehatan

BPS Ungkap Peserta PBI JKN Meninggal Dunia Terbaru

retconomynow.com – Badan Pusat Statistik baru saja merilis temuan krusial. Temuan ini mengenai akurasi data…
Stephen Thompson2 weeks ago
Dokter Internship Meninggal Dunia Guru Besar FKUI Soroti
Kesehatan

Dokter Internship Meninggal Dunia Guru Besar FKUI Soroti

retconomynow.com – Dunia kedokteran tanah air sedang berduka mendalam setelah kehilangan tiga putra terbaiknya dalam…
Stephen Thompson2 weeks ago
Varian Covid-19 Cicada Intai Usia Anak Terbaru
Kesehatan

Varian Covid-19 Cicada Intai Usia Anak Terbaru

retconomynow.com – Pakar kesehatan dunia kembali memberikan peringatan serius. Mutasi terbaru virus corona menunjukkan pola…
Stephen Thompson2 weeks ago
RSCM Update Kondisi Andrie Yunus Mulai Stabil
Kesehatan

RSCM Update Kondisi Andrie Yunus Mulai Stabil

retconomynow.com – Tim medis Rumah Sakit Cipto Mangunkusumo (RSCM) baru saja menyampaikan kabar terbaru mengenai…
Stephen Thompson2 weeks ago
Riset Ungkap 2 Cara Sederhana Tentukan Umur Panjang
Kesehatan

Riset Ungkap 2 Cara Sederhana Tentukan Umur Panjang

retconomynow.com – Para ilmuwan kesehatan baru saja mempublikasikan temuan menarik mengenai kebiasaan harian yang mampu…
Stephen Thompson2 weeks ago
Riset Laki-laki Gen Z Lebih Kolot dari Boomers
Kesehatan

Riset Laki-laki Gen Z Lebih Kolot dari Boomers

retconomynow.com – Sebuah studi terbaru mengenai dinamika gender memberikan hasil yang cukup mengejutkan bagi banyak…
Stephen Thompson2 weeks ago
Netizen Keluhkan Musim Radang Tenggorokan Pasca Lebaran
Kesehatan

Netizen Keluhkan Musim Radang Tenggorokan Pasca Lebaran

retconomynow.com – Fenomena keluhan kesehatan massal kini tengah membanjiri berbagai lini masa media sosial di…
Stephen Thompson2 weeks ago
Wanita Tasik Idap Akalasia Makan Lewat Selang
Kesehatan

Wanita Tasik Idap Akalasia Makan Lewat Selang

retconomynow.com – Kasus medis langka kembali menyita perhatian publik setelah seorang warga Jawa Barat melaporkan…
Stephen Thompson2 weeks ago
3 Dokter Internship Meninggal Penjelasan Kemenkes
Kesehatan

3 Dokter Internship Meninggal Penjelasan Kemenkes

retconomynow.com – Dunia kedokteran Indonesia kembali berduka setelah tiga dokter muda yang sedang menjalani program…
Stephen Thompson2 weeks ago
Meninggal Akibat Campak Penjelasan Kemenkes
Kesehatan

Meninggal Akibat Campak Penjelasan Kemenkes

retconomynow.com – Kabar duka menyelimuti dunia kedokteran Indonesia setelah seorang tenaga medis dilaporkan meninggal dunia…
Stephen Thompson2 weeks ago
Kemenkes Kaji Vaksin Campak Tenaga Kesehatan
Kesehatan

Kemenkes Kaji Vaksin Campak Tenaga Kesehatan

retconomynow.com – Kementerian Kesehatan (Kemenkes) Republik Indonesia kembali memperkuat benteng pertahanan bagi para pejuang medis.…
Stephen Thompson2 weeks ago
Pemerintah Evaluasi Dampak Batasan Medsos Anak
Kesehatan

Pemerintah Evaluasi Dampak Batasan Medsos Anak

retconomynow.com – Pemerintah Indonesia resmi mengambil langkah tegas untuk melindungi generasi muda di dunia digital.…
Stephen Thompson2 weeks ago
Cara Mengatasi Sembelit Setelah Makan Lemak & Daging
Kesehatan

Cara Mengatasi Sembelit Setelah Makan Lemak & Daging

retconomynow.com – Pesta kuliner yang menyajikan hidangan berbahan dasar daging serta santan sering kali meninggalkan…
Stephen Thompson2 weeks ago
Sakit Tenggorokan Kronis: Wanita Ini Harus Makan Lewat Selang!
Kesehatan

Sakit Tenggorokan Kronis: Wanita Ini Harus Makan Lewat Selang!

retconomynow.com – Sebuah peringatan penting bagi kita semua agar tidak meremehkan gangguan kesehatan ringan yang…
Stephen Thompson2 weeks ago
Manfaat Air Lemon Hangat untuk Diet: Benarkah Turunkan BB?
Kesehatan

Manfaat Air Lemon Hangat untuk Diet: Benarkah Turunkan BB?

retconomynow.com – Tren gaya hidup sehat sering kali mempopulerkan berbagai jenis minuman yang masyarakat klaim…
Stephen Thompson3 weeks ago
Kemenkes Laporkan Hoaks Campak: Tindak Tegas Provokasi Antivaksin
Kesehatan

Kemenkes Laporkan Hoaks Campak: Tindak Tegas Provokasi Antivaksin

retconomynow.com – Pemerintah Indonesia kini mulai menunjukkan sikap tanpa kompromi terhadap segala bentuk disinformasi yang…
Stephen Thompson3 weeks ago
Resmi Berlaku! Akses Medsos Anak Dibatasi di Bawah 16 Tahun
Kesehatan

Resmi Berlaku! Akses Medsos Anak Dibatasi di Bawah 16 Tahun

retconomynow.com – Langkah tegas pemerintah dalam melindungi generasi muda dari dampak buruk dunia digital kini…
Stephen Thompson3 weeks ago
Cara Unik Gen Z Post-Holiday Blues: Tips Seru Lawan Sedih!
Kesehatan

Cara Unik Gen Z Post-Holiday Blues: Tips Seru Lawan Sedih!

retconomynow.com – Berakhirnya masa liburan panjang sering kali meninggalkan perasaan hampa bagi banyak pekerja muda…
Stephen Thompson3 weeks ago
Efek Kurang Tidur Kronis yang Sering Kita Sepelekan
Kesehatan

Efek Kurang Tidur Kronis yang Sering Kita Sepelekan

retconomynow.com – Gaya hidup modern sering kali memaksa banyak orang untuk mengorbankan waktu istirahat demi…
Stephen Thompson3 weeks ago
Dokter Internship Meninggal Campak: Kemenkes Soroti Antivaksin
Kesehatan

Dokter Internship Meninggal Campak: Kemenkes Soroti Antivaksin

retconomynow.com – Kabar duka kembali menyelimuti dunia kedokteran tanah air setelah seorang pejuang kesehatan gugur…
Stephen Thompson3 weeks ago
Penyebab Nyeri Tengkuk Kolesterol atau Masalah Otot?
Kesehatan

Penyebab Nyeri Tengkuk Kolesterol atau Masalah Otot?

retconomynow.com – Masyarakat Indonesia sering kali langsung merasa khawatir saat merasakan ketegangan pada bagian leher…
Stephen Thompson3 weeks ago
Beda Gagal Jantung Henti Jantung: Jangan Sampai Keliru!
Kesehatan

Beda Gagal Jantung Henti Jantung: Jangan Sampai Keliru!

retconomynow.com – Dunia kesehatan kini sedang menghadapi tantangan besar akibat maraknya kesalahpahaman informasi di media…
Stephen Thompson3 weeks ago
Waspada Gejala Post-Holiday Blues Setelah Libur Lebaran
Kesehatan

Waspada Gejala Post-Holiday Blues Setelah Libur Lebaran

retconomynow.com – Masa libur Lebaran yang penuh dengan kehangatan keluarga kini telah resmi berakhir bagi…
Stephen Thompson3 weeks ago
Kemenkes Ungkap 3 Keluhan Sakit Pasca-Lebaran Terbanyak
Kesehatan

Kemenkes Ungkap 3 Keluhan Sakit Pasca-Lebaran Terbanyak

retconomynow.com – Media sosial kini sedang ramai dengan keluhan masyarakat mengenai kondisi kesehatan mereka. Banyak…
Stephen Thompson3 weeks ago
Krisis Lansia Kesepian Singapura di Era Aging Population
Kesehatan

Krisis Lansia Kesepian Singapura di Era Aging Population

retconomynow.com – Negara Singapura kini memasuki fase demografi yang sangat menantang. Ledakan jumlah penduduk lansia…
Stephen Thompson3 weeks ago
Tips Menghindari Beser di Tol Saat Terjebak Macet
Kesehatan

Tips Menghindari Beser di Tol Saat Terjebak Macet

Situasi kemacetan panjang di jalan bebas hambatan sering kali menjadi ujian kesabaran sekaligus tantangan fisik…
Stephen Thompson3 weeks ago
Bahaya Nitrogen Cair Pada Makanan: Kasus Lambung Meledak
Kesehatan

Bahaya Nitrogen Cair Pada Makanan: Kasus Lambung Meledak

retconomynow.com – Tren kuliner unik yang menawarkan sensasi “napas naga” atau kepulan asap dingin kini…
Stephen Thompson3 weeks ago
Dampak Pernikahan Antar Sepupu di Desa Terpencil Brasil
Kesehatan

Dampak Pernikahan Antar Sepupu di Desa Terpencil Brasil

retconomynow.com – Sebuah komunitas kecil di wilayah terisolasi Brasil kini menjadi pusat perhatian para peneliti…
Stephen Thompson3 weeks ago
Pakar FKUI Ungkap Penyebab Sakit Pasca Lebaran
Kesehatan

Pakar FKUI Ungkap Penyebab Sakit Pasca Lebaran

retconomynow.com – Momen libur panjang hari raya sering kali berakhir dengan keluhan kesehatan yang serupa…
Stephen Thompson3 weeks ago
Penarikan Nanas Kering Singapura Akibat Alergen
Kesehatan

Penarikan Nanas Kering Singapura Akibat Alergen

Otoritas pangan di Negeri Singa kembali memperketat pengawasan terhadap produk camilan impor yang beredar di…
Stephen Thompson3 weeks ago
Batas Aman Makan Kue Kering Saat Libur Lebaran
Kesehatan

Batas Aman Makan Kue Kering Saat Libur Lebaran

retconomynow.com – Momen silaturahmi saat Lebaran tidak lengkap rasanya tanpa sajian aneka kudapan manis di…
Stephen Thompson3 weeks ago
Waktu Terbaik Minum Simvastatin Setelah Lebaran
Kesehatan

Waktu Terbaik Minum Simvastatin Setelah Lebaran

retconomynow.com – Momen Lebaran identik dengan sajian kuliner lezat yang kaya akan santan dan lemak…
Stephen Thompson3 weeks ago
Bahaya! Makan Manis Saat Lebaran Bisa Bikin Mood Amburadul
Kesehatan

Bahaya! Makan Manis Saat Lebaran Bisa Bikin Mood Amburadul

retconomynow.com – Perayaan hari raya sering kali menjadi ajang balas dendam bagi banyak orang guna…
Stephen Thompson4 weeks ago
Tekanan Mental! Alasan Banyak Orang Ingin Tampil Sukses Saat Lebaran
Kesehatan

Tekanan Mental! Alasan Banyak Orang Ingin Tampil Sukses Saat Lebaran

Momen mudik dan silaturahmi ke kampung halaman sering kali memicu fenomena psikologis yang sangat sangat…
Stephen Thompson4 weeks ago
Fakta Baru! Ini Daftar Penyumbang Kolesterol Lebaran Paling Utama
Kesehatan

Fakta Baru! Ini Daftar Penyumbang Kolesterol Lebaran Paling Utama

Banyak orang sering kali menyalahkan santan sebagai penyebab utama lonjakan lemak darah setelah merayakan hari…
Stephen Thompson4 weeks ago
Waspada! Gejala Campak pada Anak Meningkat, Simak Cara Mencegahnya
Kesehatan

Waspada! Gejala Campak pada Anak Meningkat, Simak Cara Mencegahnya

retconomynow.com – Kesehatan masyarakat kini sedang menghadapi tantangan yang sangat sangat serius terkait munculnya kembali…
Stephen Thompson4 weeks ago
Benarkah Kalori Ketupat dan Nasi Berbeda Jauh? Ini Kata Dokter Gizi
Kesehatan

Benarkah Kalori Ketupat dan Nasi Berbeda Jauh? Ini Kata Dokter Gizi

Momen Lebaran selalu identik dengan kehadiran hidangan ketupat yang sangat sangat menggugah selera makan keluarga.…
Stephen Thompson4 weeks ago
Tips Jitu! Cara Masak Sehat Saat Lebaran Agar Bebas Kolesterol
Kesehatan

Tips Jitu! Cara Masak Sehat Saat Lebaran Agar Bebas Kolesterol

Momen hari raya Idul Fitri identik dengan sajian makanan lezat yang kaya akan santan dan…
Stephen Thompson4 weeks ago
Ngeri! Inggris Hadapi Wabah Penyakit Otak, 2 Tewas dan 20 Suspek
Kesehatan

Ngeri! Inggris Hadapi Wabah Penyakit Otak, 2 Tewas dan 20 Suspek

retconomynow.com – Dunia kesehatan internasional kini sedang memberikan perhatian penuh pada situasi medis yang sangat…
Stephen Thompson4 weeks ago
Ternyata Ini Alasan Masak dengan Stainless Steel Jauh Lebih Aman
Kesehatan

Ternyata Ini Alasan Masak dengan Stainless Steel Jauh Lebih Aman

retconomynow.com – Pemilihan alat dapur yang tepat menjadi kunci utama dalam menjaga kesehatan seluruh anggota…
Stephen Thompson4 weeks ago
Jangan Keliru! Cara Simpan Daging Ayam di Kulkas Agar Tetap Segar
Kesehatan

Jangan Keliru! Cara Simpan Daging Ayam di Kulkas Agar Tetap Segar

retconomynow.com – Menjaga kualitas bahan makanan di rumah merupakan langkah yang sangat sangat penting bagi…
Stephen Thompson4 weeks ago
Waspada! Bahaya Kelebihan Vitamin D Sebabkan Pria Ini Alami Gagal Ginjal
Kesehatan

Waspada! Bahaya Kelebihan Vitamin D Sebabkan Pria Ini Alami Gagal Ginjal

retconomynow.com – Sebuah kasus medis yang mengejutkan kini sedang menjadi pusat perhatian masyarakat luas di…
Stephen Thompson1 month ago
Viral! Pegawai SPPG Dipecat Usai Sindir Rakyat Jelata Kurang Bersyukur
Kesehatan

Viral! Pegawai SPPG Dipecat Usai Sindir Rakyat Jelata Kurang Bersyukur

retconomynow.com – Dunia maya kembali heboh dengan tindakan tegas sebuah perusahaan terhadap salah satu karyawannya…
Stephen Thompson1 month ago
Polemik Usai! MA dan MK Beri Kepastian Hukum Bagi Kolegium Kesehatan
Kesehatan

Polemik Usai! MA dan MK Beri Kepastian Hukum Bagi Kolegium Kesehatan

Debat panjang mengenai status hukum para tenaga ahli di bidang medis akhirnya menemui titik terang…
Stephen Thompson1 month ago
Solusi Gigi Putih! Keunggulan Pasta Gigi Metoo MW-3 Advanced
Kesehatan

Solusi Gigi Putih! Keunggulan Pasta Gigi Metoo MW-3 Advanced

retconomynow.com – Menjaga kebersihan mulut kini menjadi jauh lebih mudah dengan kehadiran inovasi terbaru dari…
Stephen Thompson1 month ago
Ngeri! Dokter Tangani Pria Alami Ginjal Rusak Akibat Overdosis Vitamin D
Kesehatan

Ngeri! Dokter Tangani Pria Alami Ginjal Rusak Akibat Overdosis Vitamin D

retconomynow.com – Seorang dokter spesialis penyakit dalam baru saja menangani kasus medis yang sangat sangat…
Stephen Thompson1 month ago
Bahaya! Wamenkes Temukan Banyak Pemudik Idap Hipertensi & Diabetes
Kesehatan

Bahaya! Wamenkes Temukan Banyak Pemudik Idap Hipertensi & Diabetes

retconomynow.com – Wakil Menteri Kesehatan (Wamenkes) meninjau langsung kondisi kesehatan masyarakat di berbagai posko mudik…
Stephen Thompson1 month ago
Bukan Mistis! Ini Penjelasan Penyebab Medis Ketindihan Saat Tidur
Kesehatan

Bukan Mistis! Ini Penjelasan Penyebab Medis Ketindihan Saat Tidur

retconomynow.com – Masyarakat sering kali mengaitkan fenomena tubuh yang tidak bisa bergerak saat bangun tidur…
Stephen Thompson1 month ago
Bahaya Toksin! Singapura Lakukan Penarikan Susu Formula Nestle
Kesehatan

Bahaya Toksin! Singapura Lakukan Penarikan Susu Formula Nestle

retconomynow.com – Otoritas Pangan Singapura (SFA) secara resmi mengumumkan penarikan susu formula Nestle dari pasar…
Stephen Thompson1 month ago
Ginjal Rusak! Cerita Pria Alami Bahaya Kelebihan Vitamin D
Kesehatan

Ginjal Rusak! Cerita Pria Alami Bahaya Kelebihan Vitamin D

retconomynow.com – Kisah memilukan seorang pria yang menderita kerusakan ginjal permanen kini menjadi peringatan keras…
Stephen Thompson1 month ago
Diklaim Sembuhkan Stroke, Manfaat Batu Empedu Sapi Kini Diincar Dunia
Kesehatan

Diklaim Sembuhkan Stroke, Manfaat Batu Empedu Sapi Kini Diincar Dunia

retconomynow.com – Dunia kesehatan internasional kini sedang gempar oleh perburuan bahan alami yang berasal dari…
Stephen Thompson1 month ago
Heroik! Perawat Jember Saudia Airlines Bantu Persalinan di Pesawat
Kesehatan

Heroik! Perawat Jember Saudia Airlines Bantu Persalinan di Pesawat

retconomynow.com – Seorang perawat Jember Saudia Airlines mendadak viral setelah melakukan aksi penyelamatan nyawa yang…
Stephen Thompson1 month ago
Viral untuk Diet & Gym! Dokter Wanti-wanti Bahaya Obat Retatrutide
Kesehatan

Viral untuk Diet & Gym! Dokter Wanti-wanti Bahaya Obat Retatrutide

retconomynow.com – Fenomena penggunaan obat Retatrutide untuk program diet dan kebugaran kini tengah viral di…
Stephen Thompson1 month ago
Waspada! Nyeri Punggung Seperti Ini Bisa Jadi Gejala Kanker Ginjal
Kesehatan

Waspada! Nyeri Punggung Seperti Ini Bisa Jadi Gejala Kanker Ginjal

retconomynow.com – Banyak orang sering menganggap remeh rasa sakit pada bagian belakang tubuh sebagai akibat…
Stephen Thompson1 month ago
Kabar Baik! Kemenkes Sebut Kasus Campak RI Mulai Turun Sepekan Terakhir
Kesehatan

Kabar Baik! Kemenkes Sebut Kasus Campak RI Mulai Turun Sepekan Terakhir

retconomynow.com – Kasus campak RI akhirnya mulai menunjukkan tren penurunan setelah sempat mengalami lonjakan signifikan…
Stephen Thompson1 month ago
Anak Dilarang Main IG & TikTok? Kemenkes Soroti Efek Candu Medsos
Kesehatan

Anak Dilarang Main IG & TikTok? Kemenkes Soroti Efek Candu Medsos

retconomynow.com – Kementerian Kesehatan (Kemenkes) mengeluarkan peringatan tegas mengenai penggunaan media sosial seperti Instagram dan…
Stephen Thompson1 month ago
Kenali Sejak Dini! Ini Tanda Masalah Ginjal Anak Muda Menurut Dokter
Kesehatan

Kenali Sejak Dini! Ini Tanda Masalah Ginjal Anak Muda Menurut Dokter

retconomynow.com – Kesadaran akan kesehatan organ dalam kini menjadi sangat penting bagi generasi muda yang…
Stephen Thompson1 month ago
Pakar UGM: Manfaat Puasa Bagi Sel Melalui Proses Autofagi Selama 14 Jam
Kesehatan

Pakar UGM: Manfaat Puasa Bagi Sel Melalui Proses Autofagi Selama 14 Jam

retconomynow.com – Manfaat puasa bagi sel tubuh manusia kini mendapatkan penjelasan ilmiah yang sangat mendalam…
Stephen Thompson1 month ago
Musim Campak! Kemenkes Bagikan Tips Mudik Aman Anak untuk Orang Tua
Kesehatan

Musim Campak! Kemenkes Bagikan Tips Mudik Aman Anak untuk Orang Tua

Kementerian Kesehatan (Kemenkes) mengimbau para orang tua untuk meningkatkan kewaspadaan terhadap risiko penularan penyakit menular…
Stephen Thompson1 month ago
Waspada! Gaya Hidup dan Pola Makan Ini Picu Risiko Kanker Ginjal
Kesehatan

Waspada! Gaya Hidup dan Pola Makan Ini Picu Risiko Kanker Ginjal

retconomynow.com – Menjaga kesehatan organ dalam kini menjadi tantangan berat di tengah kepungan gaya hidup…
Stephen Thompson1 month ago
Waspada! Dokter Ungkap Pola Makan Gen Z yang Picu Risiko Gagal Ginjal
Kesehatan

Waspada! Dokter Ungkap Pola Makan Gen Z yang Picu Risiko Gagal Ginjal

retconomynow.com – Para ahli medis kini menaruh perhatian sangat besar terhadap tren kesehatan di kalangan…
Stephen Thompson1 month ago
Kenali Sel Karsinoma Renal, Jenis Penyakit Kanker Ginjal Terpopuler
Kesehatan

Kenali Sel Karsinoma Renal, Jenis Penyakit Kanker Ginjal Terpopuler

retconomynow.com – Kesadaran masyarakat terhadap kesehatan organ dalam kini menjadi perhatian utama para praktisi medis…
Stephen Thompson1 month ago
Benarkah Rumah Sakit Sepi Saat Bulan Puasa? Ini Penjelasan Dokter
Kesehatan

Benarkah Rumah Sakit Sepi Saat Bulan Puasa? Ini Penjelasan Dokter

retconomynow.com – Banyak masyarakat menyadari adanya fenomena unik yang terjadi pada fasilitas kesehatan selama bulan…
Stephen Thompson1 month ago
Waspada! BPOM Temukan Ratusan Takjil Berbahaya, Ini Wilayah Terbanyak
Kesehatan

Waspada! BPOM Temukan Ratusan Takjil Berbahaya, Ini Wilayah Terbanyak

retconomynow.com – Memasuki bulan suci Ramadan, antusiasme masyarakat dalam memburu penganan berbuka puasa semakin meningkat…
Stephen Thompson1 month ago
Miris! Kasus Kusta di Indonesia Juara 3 Dunia, Stigma Jadi Penghambat
Kesehatan

Miris! Kasus Kusta di Indonesia Juara 3 Dunia, Stigma Jadi Penghambat

retconomynow.com – Indonesia kembali menghadapi tantangan besar dalam bidang kesehatan masyarakat yang sangat serius. Berdasarkan…
Stephen Thompson1 month ago
Waspada! Ciri Perut Anak Membesar yang Bisa Jadi Gejala Kanker Ginjal
Kesehatan

Waspada! Ciri Perut Anak Membesar yang Bisa Jadi Gejala Kanker Ginjal

Orang tua sering kali menganggap perut buncit pada balita sebagai tanda bahwa anak tersebut tumbuh…
Stephen Thompson1 month ago
Waspada! Tren Kanker Ginjal Usia Muda Naik, Kenali Red Flag Ini
Kesehatan

Waspada! Tren Kanker Ginjal Usia Muda Naik, Kenali Red Flag Ini

retconomynow.com – Dunia medis saat ini tengah menyoroti fenomena kesehatan yang cukup mengkhawatirkan di kalangan…
Stephen Thompson1 month ago
Orang Tua Wajib Tahu! Ini Ciri Urine Tanda Kanker Ginjal pada Anak
Kesehatan

Orang Tua Wajib Tahu! Ini Ciri Urine Tanda Kanker Ginjal pada Anak

Kesehatan anak merupakan prioritas utama bagi setiap orang tua di seluruh penjuru dunia. Namun, terkadang…
Stephen Thompson1 month ago
Waspada! Kenali Gejala Kanker Ginjal yang Terlihat dari Warna Urine
Kesehatan

Waspada! Kenali Gejala Kanker Ginjal yang Terlihat dari Warna Urine

Kesehatan organ dalam sering kali memberikan sinyal-sinyal penting melalui sisa pembuangan metabolisme tubuh kita sehari-hari.…
Stephen Thompson1 month ago
Waspada! Kasus Kanker Ginjal Prediksinya Bakal Naik Dua Kali Lipat
Kesehatan

Waspada! Kasus Kanker Ginjal Prediksinya Bakal Naik Dua Kali Lipat

retconomynow.com – Laporan kesehatan global terbaru membawa kabar yang sangat mengejutkan bagi sistem medis di…
Stephen Thompson1 month ago
Es Teh Manis vs Hangat: Mana Minuman Buka Puasa yang Lebih Baik?
Kesehatan

Es Teh Manis vs Hangat: Mana Minuman Buka Puasa yang Lebih Baik?

Momen berbuka puasa sering kali memicu keinginan seseorang untuk segera meneguk minuman yang menyegarkan tenggorokan.…
Stephen Thompson1 month ago
Cek Fakta: Benarkah Vidi Aldiano Meninggal Dunia? Ini Kondisi Terbarunya
Kesehatan

Cek Fakta: Benarkah Vidi Aldiano Meninggal Dunia? Ini Kondisi Terbarunya

retconomynow.com – Dunia maya baru-baru ini dikejutkan oleh penyebaran narasi bohong mengenai wafatnya salah satu…
Stephen Thompson1 month ago
Bahaya! Dokter Wanti-Wanti Efek Melewatkan Sahur Bagi Kesehatan
Kesehatan

Bahaya! Dokter Wanti-Wanti Efek Melewatkan Sahur Bagi Kesehatan

retconomynow.com – Menjalankan ibadah puasa Ramadan memerlukan persiapan fisik yang sangat matang agar tubuh tetap…
Stephen Thompson1 month ago
Penting! Aturan Sosmed untuk Anak di Bawah 16 Tahun Akan Berlaku
Kesehatan

Penting! Aturan Sosmed untuk Anak di Bawah 16 Tahun Akan Berlaku

retconomynow.com – Wacana pembatasan akses dunia maya bagi generasi muda kini tengah memasuki babak baru…
Stephen Thompson1 month ago
Bahaya! Kemenkes Larang Sembarang Sentuh Bayi Saat Lebaran 2026
Kesehatan

Bahaya! Kemenkes Larang Sembarang Sentuh Bayi Saat Lebaran 2026

retconomynow.com – Kementerian Kesehatan (Kemenkes RI) mengeluarkan peringatan tegas bagi seluruh masyarakat yang akan merayakan…
Stephen Thompson1 month ago
Viral! Hoaks Vaksin Campak Disebut Senjata Pemusnah, Ini Faktanya
Kesehatan

Viral! Hoaks Vaksin Campak Disebut Senjata Pemusnah, Ini Faktanya

retconomynow.com – Media sosial baru-baru ini kembali menjadi sarang penyebaran informasi menyesatkan yang sangat meresahkan…
Stephen Thompson1 month ago
Tips Mengatur Asupan Protein Saat Puasa Agar Otot Tidak Menyusut
Kesehatan

Tips Mengatur Asupan Protein Saat Puasa Agar Otot Tidak Menyusut

retconomynow.com – Menjaga kondisi fisik tetap prima selama bulan Ramadan menjadi tantangan tersendiri bagi para…
Stephen Thompson1 month ago
Mitos atau Fakta? Simak Manfaat Kurma untuk Kesehatan Saat Puasa
Kesehatan

Mitos atau Fakta? Simak Manfaat Kurma untuk Kesehatan Saat Puasa

retconomynow.com – Buah kurma selalu menjadi primadona setiap kali bulan Ramadan tiba di tanah air.…
Stephen Thompson1 month ago
Kemenkes Tegas: Suspek Campak Jangan Mudik Dulu Jelang Lebaran!
Kesehatan

Kemenkes Tegas: Suspek Campak Jangan Mudik Dulu Jelang Lebaran!

retconomynow.com – Kementerian Kesehatan (Kemenkes RI) mengeluarkan peringatan serius menyambut masa mudik Lebaran yang akan…
Stephen Thompson1 month ago
Gaduh! Selebgram Sakit Campak Keluyuran, Kemenkes Beri Teguran Keras
Kesehatan

Gaduh! Selebgram Sakit Campak Keluyuran, Kemenkes Beri Teguran Keras

retconomynow.com – Dunia maya baru-baru ini diguncang oleh aksi kontroversial seorang pemengaruh media sosial yang…
Stephen Thompson1 month ago
Ternyata Ini Alasan Perut Begah Setelah Berbuka Puasa dan Solusinya
Kesehatan

Ternyata Ini Alasan Perut Begah Setelah Berbuka Puasa dan Solusinya

retconomynow.com – Banyak orang mengeluhkan kondisi pencernaan yang tidak nyaman sesaat setelah membatalkan puasa. Rasa…
Stephen Thompson1 month ago
Kemenkes: Mayoritas Warga 62 Mager, Jauh Tertinggal dari Singapura
Kesehatan

Kemenkes: Mayoritas Warga 62 Mager, Jauh Tertinggal dari Singapura

retconomynow.com – Kementerian Kesehatan (Kemenkes RI) baru saja merilis data mengejutkan mengenai kebiasaan masyarakat dalam…
Stephen Thompson1 month ago
Tragis! Klinik Bayi Tabung Iran Hancur Total Akibat Gempuran Udara
Kesehatan

Tragis! Klinik Bayi Tabung Iran Hancur Total Akibat Gempuran Udara

Dunia kedokteran internasional kini tengah berduka atas hancurnya salah satu pusat kesuburan ternama di Timur…
Stephen Thompson1 month ago
Momen Haru Evakuasi Bayi dari Rumah Sakit Iran Pasca Serangan
Kesehatan

Momen Haru Evakuasi Bayi dari Rumah Sakit Iran Pasca Serangan

Dunia menyaksikan momen emosional dari sebuah rumah sakit di Iran. Tim medis mengevakuasi para bayi…
Stephen Thompson1 month ago
Hasil Cek Fisik Tzuyang Mengejutkan: Massa Otot Sangat Rendah
Kesehatan

Hasil Cek Fisik Tzuyang Mengejutkan: Massa Otot Sangat Rendah

retconomynow.com – Bintang mukbang populer asal Korea Selatan, Tzuyang, baru saja membagikan kabar mengenai kondisi…
Stephen Thompson1 month ago
Vitamin Penting Saat Puasa: Jenis dan Cara Konsumsi yang Benar
Kesehatan

Vitamin Penting Saat Puasa: Jenis dan Cara Konsumsi yang Benar

retconomynow.com – Menjaga kebugaran tubuh selama bulan Ramadan memerlukan perhatian ekstra pada asupan nutrisi. Perubahan…
Stephen Thompson1 month ago
Luar Biasa! Kisah Bayi Transplantasi Rahim Inggris dari Donor Jenazah
Kesehatan

Luar Biasa! Kisah Bayi Transplantasi Rahim Inggris dari Donor Jenazah

retconomynow.com – Dunia kedokteran Inggris baru saja merayakan sebuah pencapaian yang sangat monumental dan sangat…
Stephen Thompson1 month ago
Ahli Onkologi Soroti Fenomena Eksodus Medis Indonesia ke Malaysia
Kesehatan

Ahli Onkologi Soroti Fenomena Eksodus Medis Indonesia ke Malaysia

Seorang ahli onkologi terkemuka di Indonesia memberikan perhatian khusus terhadap tren masyarakat yang lebih memilih…
Stephen Thompson1 month ago
Ngeri! Dokter Temukan Cacing Parasit di Otak Wanita Australia
Kesehatan

Ngeri! Dokter Temukan Cacing Parasit di Otak Wanita Australia

retconomynow.com – Dunia medis internasional mendadak gempar oleh sebuah laporan kasus kesehatan yang sangat tidak…
Stephen Thompson1 month ago
Kasus Campak Indonesia Melonjak, IDAI Soroti Gerakan Antivaksin
Kesehatan

Kasus Campak Indonesia Melonjak, IDAI Soroti Gerakan Antivaksin

retconomynow.com – Ikatan Dokter Anak Indonesia (IDAI) mengeluarkan peringatan keras terkait tren kesehatan anak yang…
Stephen Thompson1 month ago
Kemenkes Soroti Masalah Kejiwaan Mahasiswa di Balik Kasus Pembacokan
Kesehatan

Kemenkes Soroti Masalah Kejiwaan Mahasiswa di Balik Kasus Pembacokan

retconomynow.com – Kementerian Kesehatan (Kemenkes) memberikan atensi serius terhadap peristiwa tragis yang menimpa seorang mahasiswa…
Stephen Thompson1 month ago
RS Israel Siaga Rudal: Evakuasi Pasien ke Ruang Bawah Tanah
Kesehatan

RS Israel Siaga Rudal: Evakuasi Pasien ke Ruang Bawah Tanah

retconomynow.com – Eskalasi konflik di Timur Tengah mencapai titik puncaknya setelah Iran melepaskan rentetan rudal…
Stephen Thompson1 month ago
Batas Makan Gorengan Saat Buka Puasa Agar Jantung Tetap Aman
Kesehatan

Batas Makan Gorengan Saat Buka Puasa Agar Jantung Tetap Aman

retconomynow.com – Menu gorengan hampir tidak pernah absen dari meja makan masyarakat Indonesia saat waktu…
Stephen Thompson1 month ago
Olahraga Malam Saat Puasa Ramadan: Amankah Buat Jantung?
Kesehatan

Olahraga Malam Saat Puasa Ramadan: Amankah Buat Jantung?

retconomynow.com – Banyak umat Muslim memilih waktu setelah berbuka puasa untuk membakar kalori dan menjaga…
Stephen Thompson1 month ago
Waspada! 5 Gejala Hipertensi Terabaikan yang Picu Serangan Jantung
Outdoors

Waspada! 5 Gejala Hipertensi Terabaikan yang Picu Serangan Jantung

retconomynow.com – Penyakit tekanan darah tinggi atau hipertensi sering kali mendapat julukan sebagai “pembunuh senyap”…
Stephen Thompson1 month ago
Waspada! BPOM Ungkap Ciri Takjil Berbahaya yang Picu Kerusakan Ginjal
Kesehatan

Waspada! BPOM Ungkap Ciri Takjil Berbahaya yang Picu Kerusakan Ginjal

retconomynow.com – Badan Pengawas Obat dan Makanan (BPOM) kembali mengeluarkan peringatan keras bagi masyarakat yang…
Stephen Thompson1 month ago
Efek Sahur Pakai Susu: Bikin Awet Kenyang atau Malah Sakit Perut?
Kesehatan

Efek Sahur Pakai Susu: Bikin Awet Kenyang atau Malah Sakit Perut?

retconomynow.com – Banyak masyarakat sering kali menambahkan segelas susu ke dalam menu sahur mereka guna…
Stephen Thompson1 month ago
Viral Makan Bergizi Gratis Ramadan Tak Layak: BGN Ganti Menu!
Kesehatan

Viral Makan Bergizi Gratis Ramadan Tak Layak: BGN Ganti Menu!

retconomynow.com – Program unggulan pemerintah kembali menjadi sorotan publik setelah sebuah unggahan di media sosial…
Stephen Thompson1 month ago
Istana Klarifikasi Gaduh Obat AS Tanpa Standar BPOM: Cek Faktanya!
Outdoors

Istana Klarifikasi Gaduh Obat AS Tanpa Standar BPOM: Cek Faktanya!

retconomynow.com – Pihak Istana Kepresidenan akhirnya memberikan tanggapan resmi terkait kegaduhan publik mengenai masuknya produk…
Stephen Thompson1 month ago
Waspada! Terlalu Sering Scroll Medsos Picu Masalah Jantung Serius
Kesehatan

Waspada! Terlalu Sering Scroll Medsos Picu Masalah Jantung Serius

retconomynow.com – Gaya hidup digital yang berlebihan kini mulai menunjukkan dampak negatif yang cukup mengkhawatirkan…
Stephen Thompson1 month ago
Tips Pakar IPB: Pilih Buah untuk Berbuka Puasa yang Tepat!
Kesehatan

Tips Pakar IPB: Pilih Buah untuk Berbuka Puasa yang Tepat!

retconomynow.com – Memilih menu takjil yang sehat menjadi kunci utama agar tubuh tetap bugar selama…
Stephen Thompson1 month ago
Bahaya! Dermatolog Ingatkan Tak Asal Beli Skincare Etiket Biru
Kesehatan

Bahaya! Dermatolog Ingatkan Tak Asal Beli Skincare Etiket Biru

retconomynow.com – Tren kecantikan yang berkembang pesat sering kali membuat masyarakat terjebak pada penggunaan produk…
Stephen Thompson1 month ago
Pentingnya Jaga Kesehatan Sejak Dini demi Momen Kebersamaan Keluarga
Kesehatan

Pentingnya Jaga Kesehatan Sejak Dini demi Momen Kebersamaan Keluarga

Setiap orang tentu mendambakan masa tua yang bahagia dan penuh dengan kenangan indah bersama keluarga…
Stephen Thompson1 month ago
Thailand Tetapkan Aturan Baru: Level Manis Normal Hanya Gula 50%
Kesehatan

Thailand Tetapkan Aturan Baru: Level Manis Normal Hanya Gula 50%

retconomynow.com – Pemerintah Thailand baru saja mengambil langkah revolusioner dalam upaya memerangi masalah obesitas dan…
Stephen Thompson1 month ago
Program Sejuta Vaksin HPV: Lindungi Kesehatan ASN dan Keluarga
Kesehatan

Program Sejuta Vaksin HPV: Lindungi Kesehatan ASN dan Keluarga

retconomynow.com – Pemerintah Indonesia kembali menunjukkan komitmen kuat dalam memperkuat ketahanan kesehatan nasional melalui langkah…
Stephen Thompson1 month ago
Viral MBG Sunat Porsi Makan: Badan Gizi Nasional Beri Penjelasan
Kesehatan

Viral MBG Sunat Porsi Makan: Badan Gizi Nasional Beri Penjelasan

retconomynow.com – Badan Gizi Nasional (BGN) akhirnya memberikan tanggapan resmi terkait isu miring yang menerjang…
Stephen Thompson1 month ago
Berbuka dengan Gorengan Tetap Aman? Simak Saran Dokter Berikut!
Kesehatan

Berbuka dengan Gorengan Tetap Aman? Simak Saran Dokter Berikut!

Menu gorengan nampaknya sudah menjadi primadona yang sulit terpisahkan dari meja makan masyarakat Indonesia saat…
Stephen Thompson1 month ago
Kasus Campak di RI Disorot Eks Petinggi WHO: Dampak Temuan Australia
Kesehatan

Kasus Campak di RI Disorot Eks Petinggi WHO: Dampak Temuan Australia

retconomynow.com – Tjandra Yoga Aditama, mantan petinggi WHO Asia Tenggara, memberikan perhatian serius terhadap kondisi…
Stephen Thompson1 month ago
Alasan Ilmiah Bayi Monyet Punch Bikin Sedih: Simak Penjelasan Pakar
Kesehatan

Alasan Ilmiah Bayi Monyet Punch Bikin Sedih: Simak Penjelasan Pakar

retconomynow.com – Baru-baru ini, sebuah video yang menampilkan kisah bayi monyet Punch menjadi viral di…
Stephen Thompson1 month ago
Junk Food Picu Kista Ovarium? Simak Penjelasan Dokter Obgyn
Kesehatan

Junk Food Picu Kista Ovarium? Simak Penjelasan Dokter Obgyn

retconomynow.com – Gaya hidup modern sering kali membuat banyak wanita lebih memilih makanan cepat saji…
Stephen Thompson1 month ago
Australia Temukan Virus Campak dari Indonesia: Pakar Beri Peringatan
Kesehatan

Australia Temukan Virus Campak dari Indonesia: Pakar Beri Peringatan

retconomynow.com – Otoritas kesehatan Australia baru saja merilis laporan mengenai temuan kasus penyakit menular pada…
Stephen Thompson1 month ago
Kasus Pemecatan dr Piprim: Alumni Kedokteran UGM Titip Pesan ke Menkes
Kesehatan

Kasus Pemecatan dr Piprim: Alumni Kedokteran UGM Titip Pesan ke Menkes

retconomynow.com – Dunia kedokteran Indonesia saat ini tengah dihebohkan oleh kabar pemberhentian salah satu tokoh…
Stephen Thompson1 month ago
Sahur Kilat Awet Kenyang: Tips Ampuh Saat Telat Bangun
Kesehatan

Sahur Kilat Awet Kenyang: Tips Ampuh Saat Telat Bangun

retconomynow.com – Bangun kesiangan saat waktu imsak sudah mendekat sering kali memicu kepanikan bagi orang…
Stephen Thompson1 month ago
Ngopi Saat Buka Puasa? Simak Saran Dokter Agar Lambung Aman
Kesehatan

Ngopi Saat Buka Puasa? Simak Saran Dokter Agar Lambung Aman

retconomynow.com – Bagi para pencinta kafein, aroma kopi sering kali menjadi hal yang paling mereka…
Stephen Thompson1 month ago
Perut Buncit Kista Ovarium atau Lemak? Ini Kata Dokter Obgyn
Kesehatan

Perut Buncit Kista Ovarium atau Lemak? Ini Kata Dokter Obgyn

retconomynow.com – Banyak wanita merasa khawatir saat melihat lingkar pinggang mereka yang semakin melebar secara…
Stephen Thompson1 month ago
Sahur Cukup Kurma Saja? Ini Jawaban Ahli untuk Puasa 14 Jam
Kesehatan

Sahur Cukup Kurma Saja? Ini Jawaban Ahli untuk Puasa 14 Jam

retconomynow.com – Banyak umat Muslim memilih menu praktis saat waktu sahur tiba karena terbatasnya waktu.…
Stephen Thompson1 month ago
Tips Sehat Saat Puasa: Hindari Balas Dendam Gorengan Saat Buka
Kesehatan

Tips Sehat Saat Puasa: Hindari Balas Dendam Gorengan Saat Buka

retconomynow.com – Momen berbuka puasa sering kali menjadi ajang makan berlebihan bagi sebagian besar masyarakat.…
Stephen Thompson1 month ago
Makanan Pencegah Kanker: Menu Wajib di Piring Anda
Kesehatan

Makanan Pencegah Kanker: Menu Wajib di Piring Anda

retconomynow.com – Kanker masih menjadi ancaman kesehatan yang sangat menakutkan bagi masyarakat. Namun, Anda bisa…
Stephen Thompson2 months ago
3 Cara Simpel Hidup Sehat Tanpa Ribet dan Tetap Hemat
Kesehatan

3 Cara Simpel Hidup Sehat Tanpa Ribet dan Tetap Hemat

retconomynow.com – Banyak orang menunda hidup sehat karena alasan biaya. Mereka menganggap gaya hidup bugar…
Stephen Thompson2 months ago
Minum Kopi Saat Sahur dan Buka Puasa: Simak Aturan Aman dari Dokter
Kesehatan

Minum Kopi Saat Sahur dan Buka Puasa: Simak Aturan Aman dari Dokter

retconomynow.com – Banyak pecinta kafein merasa khawatir mengenai kebiasaan mereka mengonsumsi kopi saat memasuki bulan…
Stephen Thompson2 months ago
BPKN Tarik Galon Tua: Lindungi Konsumen dari Bahaya BPA
Kesehatan

BPKN Tarik Galon Tua: Lindungi Konsumen dari Bahaya BPA

retconomynow.com – Badan Perlindungan Konsumen Nasional (BPKN) mengambil langkah tegas guna merespons keresahan masyarakat terkait…
Stephen Thompson2 months ago
Risiko Obat Warung Jangka Panjang: Bahaya Bagi Ginjal dan Hati
Kesehatan

Risiko Obat Warung Jangka Panjang: Bahaya Bagi Ginjal dan Hati

retconomynow.com – Masyarakat sering kali memilih jalan pintas guna mengatasi keluhan kesehatan ringan dengan membeli…
Stephen Thompson2 months ago
Nyamuk Wolbachia Singapura: Sukses Tekan Kasus DBD Hingga 70 Persen
Kesehatan

Nyamuk Wolbachia Singapura: Sukses Tekan Kasus DBD Hingga 70 Persen

retconomynow.com – Singapura baru saja mengumumkan hasil yang sangat menggembirakan terkait upaya pengendalian penyakit demam…
Stephen Thompson2 months ago
Pelaporan Kasus TB Malaysia: Pakar Sarankan Indonesia Tiru Cara Ini
Kesehatan

Pelaporan Kasus TB Malaysia: Pakar Sarankan Indonesia Tiru Cara Ini

retconomynow.com – Kenaikan drastis jumlah penderita tuberkulosis di negara tetangga kini menjadi alarm serius bagi…
Stephen Thompson2 months ago
Pasien Cuci Darah Baru Menkes: 60 Ribu Kasus Tiap Tahun, Apa Sebabnya?
Kesehatan

Pasien Cuci Darah Baru Menkes: 60 Ribu Kasus Tiap Tahun, Apa Sebabnya?

retconomynow.com – Menteri Kesehatan Republik Indonesia baru saja merilis data yang sangat mengejutkan terkait kondisi…
Stephen Thompson2 months ago
Disfungsi Ereksi Patah Hati: Mengapa Galau Brutal Picu Masalah Vital?
Kesehatan

Disfungsi Ereksi Patah Hati: Mengapa Galau Brutal Picu Masalah Vital?

retconomynow.com – Kondisi patah hati yang sangat mendalam ternyata tidak hanya menyakiti perasaan atau kondisi…
Stephen Thompson2 months ago
Gejala Kanker Usus Muda: Waspadai Tanda yang Sering Anda Abaikan
Kesehatan

Gejala Kanker Usus Muda: Waspadai Tanda yang Sering Anda Abaikan

retconomynow.com – Tren penyakit mematikan kini menunjukkan pergeseran usia yang sangat mengkhawatirkan bagi dunia kesehatan…
Stephen Thompson2 months ago
Risiko Serangan Jantung Pria Lebih Tinggi: Kenali Faktor Pemicunya
Kesehatan

Risiko Serangan Jantung Pria Lebih Tinggi: Kenali Faktor Pemicunya

retconomynow.com – Dunia medis memberikan perhatian khusus pada perbedaan tingkat kesehatan antara pria dan wanita.…
Stephen Thompson2 months ago
Manfaat Minum Air Hangat untuk Diet: Mitos atau Fakta Medis?
Kesehatan

Manfaat Minum Air Hangat untuk Diet: Mitos atau Fakta Medis?

retconomynow.com – Banyak orang meyakini bahwa suhu air minum berpengaruh besar terhadap proses peluruhan lemak…
Stephen Thompson2 months ago
Virus Nipah di India: Kronologi Perawat Meninggal Usai Terinfeksi
Kesehatan

Virus Nipah di India: Kronologi Perawat Meninggal Usai Terinfeksi

retconomynow.com – Dunia medis kembali berduka setelah seorang tenaga kesehatan gugur dalam tugasnya menangani wabah…
Stephen Thompson2 months ago
Bahaya Penularan TBC Diam-Diam: Pakar Peringatkan Epidemi di Malaysia
Kesehatan

Bahaya Penularan TBC Diam-Diam: Pakar Peringatkan Epidemi di Malaysia

retconomynow.com – Dunia kesehatan kini sedang menaruh perhatian serius pada ancaman penyakit menular di kawasan…
Stephen Thompson2 months ago
Wabah TBC Malaysia Meningkat: Warga Wajib Pakai Masker Lagi?
Kesehatan

Wabah TBC Malaysia Meningkat: Warga Wajib Pakai Masker Lagi?

retconomynow.com – Lonjakan kasus penyakit menular kini sedang menciptakan kekhawatiran besar bagi otoritas kesehatan di…
Stephen Thompson2 months ago
Dampak Bullying Jangka Panjang: Kapan Anda Harus Cari Bantuan?
Kesehatan

Dampak Bullying Jangka Panjang: Kapan Anda Harus Cari Bantuan?

retconomynow.com – Kasus perundungan masih menjadi masalah serius di tengah masyarakat. Sebab, tindakan ini meninggalkan…
Stephen Thompson2 months ago
Penelitian Ungkap IQ Gen Z Lebih Rendah: Apakah Teknologi Pemicunya?
Kesehatan

Penelitian Ungkap IQ Gen Z Lebih Rendah: Apakah Teknologi Pemicunya?

retconomynow.com – Sebuah riset kognitif terbaru memicu perdebatan besar di dunia pendidikan. Sebab, hasil data…
Stephen Thompson2 months ago
Urutan Indra Menurun Menjelang Ajal: Mana yang Bertahan Paling Lama?
Kesehatan

Urutan Indra Menurun Menjelang Ajal: Mana yang Bertahan Paling Lama?

retconomynow.com – Proses biologis tubuh manusia saat mendekati akhir kehidupan merupakan fenomena medis yang sangat…
Stephen Thompson2 months ago
10 Manfaat Kolagen untuk Wajah dan Tubuh: Rahasia Awet Muda!
Outdoors

10 Manfaat Kolagen untuk Wajah dan Tubuh: Rahasia Awet Muda!

retconomynow.com – Menjaga penampilan agar tetap segar dan sehat menjadi dambaan setiap orang, terutama bagi…
Stephen Thompson2 months ago
Bahaya! 9 Obat Herbal Ilegal BPOM Ini Bisa Rusak Ginjal dan Liver
Kesehatan

Bahaya! 9 Obat Herbal Ilegal BPOM Ini Bisa Rusak Ginjal dan Liver

retconomynow.com – Badan Pengawas Obat dan Makanan (BPOM RI) kembali memberikan peringatan keras kepada seluruh…
Stephen Thompson2 months ago
Kasus Bunuh Diri Anak Indonesia Tertinggi di Asia Tenggara: Alarm Darurat!
Kesehatan

Kasus Bunuh Diri Anak Indonesia Tertinggi di Asia Tenggara: Alarm Darurat!

retconomynow.com – Sebuah laporan kesehatan terbaru mengungkapkan fakta yang sangat memprihatinkan mengenai kondisi mental generasi…
Stephen Thompson2 months ago
Bahaya Olahraga Hyrox Jika Asal Ikut: Dokter Ingatkan Risiko Jantung!
Kesehatan

Bahaya Olahraga Hyrox Jika Asal Ikut: Dokter Ingatkan Risiko Jantung!

retconomynow.com – Dunia kebugaran tanah air kini tengah diramaikan oleh kemunculan jenis latihan fisik baru…
Stephen Thompson2 months ago
Penanganan Kanker Anak Indonesia: Tantangan SDM dan Fasilitas Medis
Kesehatan

Penanganan Kanker Anak Indonesia: Tantangan SDM dan Fasilitas Medis

retconomynow.com – Pemerintah Indonesia kini tengah menghadapi tantangan serius dalam upaya menurunkan angka kematian pada…
Stephen Thompson2 months ago
Penanganan Retinoblastoma di RI: Kanker Mata Anak Bisa Sembuh!
Kesehatan

Penanganan Retinoblastoma di RI: Kanker Mata Anak Bisa Sembuh!

retconomynow.com – Upaya medis dalam melawan penyakit ganas pada kelompok usia dini kini menunjukkan titik…
Stephen Thompson2 months ago
Waktu Terbaik Konsumsi Kolagen untuk Hasil Kulit Cantik Maksimal
Kesehatan

Waktu Terbaik Konsumsi Kolagen untuk Hasil Kulit Cantik Maksimal

retconomynow.com – Tren suplemen kecantikan kini semakin menjamur seiring dengan meningkatnya kesadaran masyarakat akan kesehatan…
Stephen Thompson2 months ago
Menu Makan Kulit Kencang: Rahasia Wajah Awet Muda Tanpa Kerutan
Kesehatan

Menu Makan Kulit Kencang: Rahasia Wajah Awet Muda Tanpa Kerutan

retconomynow.com – Mendapatkan kulit yang tetap elastis dan awet muda tidak harus selalu melalui prosedur…
Stephen Thompson2 months ago
Pentingnya Deteksi Dini Kanker Anak: Kunci Kesembuhan Buah Hati
Kesehatan

Pentingnya Deteksi Dini Kanker Anak: Kunci Kesembuhan Buah Hati

retconomynow.com – Dunia kedokteran terus menekankan betapa krusialnya peran orang tua dalam memantau kondisi kesehatan…
Stephen Thompson2 months ago
Anak Susah Makan Sayur? Tak Perlu Dipaksa, Simak Tips Dokter Gizi
Kesehatan

Anak Susah Makan Sayur? Tak Perlu Dipaksa, Simak Tips Dokter Gizi

retconomynow.com – Menghadapi buah hati yang menolak menu sehat sering kali memicu rasa stres bagi…
Stephen Thompson2 months ago
Cairan Sendi Tubuh: Pelumas Alami yang Ampuh Cegah Sendi Kaku
Kesehatan

Cairan Sendi Tubuh: Pelumas Alami yang Ampuh Cegah Sendi Kaku

retconomynow.com – Banyak orang sering kali mengabaikan kesehatan persendian hingga rasa nyeri muncul secara tiba-tiba.…
Stephen Thompson2 months ago
Manfaat Ceker Ayam untuk Kulit: Rahasia Alami Bikin Lembap & Awet Muda
Kesehatan

Manfaat Ceker Ayam untuk Kulit: Rahasia Alami Bikin Lembap & Awet Muda

retconomynow.com – Banyak orang mungkin belum menyadari bahwa bahan makanan sederhana ini memiliki khasiat luar…
Stephen Thompson2 months ago
RS Wajib Layani Pasien BPJS Nonaktif Sementara Selama 3 Bulan
Kesehatan

RS Wajib Layani Pasien BPJS Nonaktif Sementara Selama 3 Bulan

retconomynow.com – Kementerian Kesehatan (Kemenkes) RI baru saja mengeluarkan instruksi tegas bagi seluruh fasilitas kesehatan…
Stephen Thompson2 months ago
Vertigo Hedi Yunus: Gejala, Penyebab, dan Alasan Harus Masuk ICU
Kesehatan

Vertigo Hedi Yunus: Gejala, Penyebab, dan Alasan Harus Masuk ICU

retconomynow.com – Kabar mengejutkan datang dari dunia hiburan tanah air mengenai kesehatan salah satu penyanyi…
Stephen Thompson2 months ago
Ramai dr. Tirta Soroti Pentingnya Berada di Pihak Korban Pelecehan
Kesehatan

Ramai dr. Tirta Soroti Pentingnya Berada di Pihak Korban Pelecehan

retconomynow.com – Isu mengenai penanganan kasus dugaan pelecehan seksual kini nampak kembali mencuat dan menjadi…
Stephen Thompson2 months ago
Jangan Salah Kaprah! Ini 5 Mitos Seputar Kolagen yang Perlu Diketahui
Kesehatan

Jangan Salah Kaprah! Ini 5 Mitos Seputar Kolagen yang Perlu Diketahui

retconomynow.com – Tren penggunaan suplemen kolagen nampak semakin menjamur di kalangan pencinta kecantikan saat ini.…
Stephen Thompson2 months ago
Golden Age Anak: Rahasia Tinggi Badan dan Anak Cepat Tanggap
Kesehatan

Golden Age Anak: Rahasia Tinggi Badan dan Anak Cepat Tanggap

retconomynow.com – Masa lima tahun pertama kehidupan seorang anak merupakan periode yang sangat sangat istimewa.…
Stephen Thompson2 months ago
Sungai Cisadane Tercemar: Waspadai Efek Paparan Pestisida Bagi Tubuh
Kesehatan

Sungai Cisadane Tercemar: Waspadai Efek Paparan Pestisida Bagi Tubuh

retconomynow.com – Kondisi kualitas air di Sungai Cisadane kini tengah menjadi sorotan tajam para pakar…
Stephen Thompson2 months ago
Berapa Takaran Kopi per Hari untuk Cegah Otak Menciut? Ini Jawabannya
Kesehatan

Berapa Takaran Kopi per Hari untuk Cegah Otak Menciut? Ini Jawabannya

retconomynow.com – Menyeruput kopi nampak sudah menjadi gaya hidup wajib bagi banyak masyarakat perkotaan saat…
Stephen Thompson2 months ago
Second Opinion Siloam: Perkuat Keputusan Medis demi Keselamatan Pasien
Kesehatan

Second Opinion Siloam: Perkuat Keputusan Medis demi Keselamatan Pasien

retconomynow.com – Kepercayaan pasien terhadap diagnosis dokter menjadi fondasi utama dalam proses penyembuhan yang efektif.…
Stephen Thompson2 months ago
Putusan MK Soal Kolegium: Kemenkes Kaji Tindak Lanjut Aturan Terbaru
Kesehatan

Putusan MK Soal Kolegium: Kemenkes Kaji Tindak Lanjut Aturan Terbaru

retconomynow.com – Kementerian Kesehatan (Kemenkes) kini bergerak cepat merespons dinamika hukum terbaru di sektor kesehatan.…
Stephen Thompson2 months ago
Marak Fenomena Dokter Ngonten: Konsil Kesehatan Ingatkan Etika Dokter di Media Sosial
Kesehatan

Marak Fenomena Dokter Ngonten: Konsil Kesehatan Ingatkan Etika Dokter di Media Sosial

retconomynow.com – Tenaga medis kini aktif memberikan edukasi di platform digital. Saat ini, banyak masyarakat…
Stephen Thompson2 months ago
Bahaya Menahan Pipis Terlalu Sering: Urolog Beri Peringatan Keras!
Kesehatan

Bahaya Menahan Pipis Terlalu Sering: Urolog Beri Peringatan Keras!

retconomynow.com – Banyak orang sering kali mengabaikan sinyal alami tubuh karena alasan kesibukan pekerjaan atau…
Stephen Thompson2 months ago
Pertama di ASEAN! CT Linac MRCCC Siloam Ubah Cara Pengobatan Kanker
Kesehatan

Pertama di ASEAN! CT Linac MRCCC Siloam Ubah Cara Pengobatan Kanker

retconomynow.com – Dunia kedokteran Indonesia kembali mencetak prestasi yang sangat sangat membanggakan di tingkat regional.…
Stephen Thompson2 months ago
Putusan MK Tegas: Tak Ada Dualisme Kolegium Kemenkes, Selain Itu Ilegal!
Kesehatan

Putusan MK Tegas: Tak Ada Dualisme Kolegium Kemenkes, Selain Itu Ilegal!

retconomynow.com – Dunia kedokteran dan tenaga kesehatan di Indonesia kini mendapatkan kepastian hukum yang sangat…
Stephen Thompson2 months ago
Diet Rendah Gula Atasi Jerawat: Simak Fakta Medis dan Manfaatnya!
Kesehatan

Diet Rendah Gula Atasi Jerawat: Simak Fakta Medis dan Manfaatnya!

retconomynow.com – Masalah kulit wajah sering kali berkaitan erat dengan pola makan yang kita jalani…
Stephen Thompson2 months ago
Kronologi Korban Virus Nipah di Bangladesh Meninggal Setelah Demam
Kesehatan

Kronologi Korban Virus Nipah di Bangladesh Meninggal Setelah Demam

retconomynow.com – Kabar duka kembali datang dari wilayah Asia Selatan terkait ancaman penyakit menular yang…
Stephen Thompson2 months ago
Bahaya Makan Durian Setelah Sate Kambing Bisa Stroke? Ini Kata Menkes!
Kesehatan

Bahaya Makan Durian Setelah Sate Kambing Bisa Stroke? Ini Kata Menkes!

retconomynow.com – Masyarakat baru-baru ini dikejutkan oleh pesan berantai mengenai bahaya mengonsumsi durian dan daging…
Stephen Thompson2 months ago
Perbedaan Dokter SpKFR dan Fisioterapis: Simak Aturan Resminya di Sini!
Kesehatan

Perbedaan Dokter SpKFR dan Fisioterapis: Simak Aturan Resminya di Sini!

retconomynow.com – Dunia medis baru-baru ini sedang mengalami kegaduhan terkait peran tenaga kesehatan dalam proses…
Stephen Thompson2 months ago
Waspada! Ahli Ungkap 2 Gejala Silent Heart Attack yang Sering Diabaikan
Kesehatan

Waspada! Ahli Ungkap 2 Gejala Silent Heart Attack yang Sering Diabaikan

Penyakit jantung sering kali datang tanpa memberikan tanda peringatan yang sangat jelas bagi penderitanya. Saat…
Stephen Thompson2 months ago
Waspada! Gejala Kanker Buta Warna Ini Sering Kali Terabaikan Pasien
Kesehatan

Waspada! Gejala Kanker Buta Warna Ini Sering Kali Terabaikan Pasien

retconomynow.com – Kondisi fisik seseorang nampaknya dapat memengaruhi kecepatan deteksi dini terhadap penyakit mematikan seperti…
Stephen Thompson2 months ago
Waspada! 5 Kebiasaan Makan Pemicu Penuaan Dini pada Wanita
Kesehatan

Waspada! 5 Kebiasaan Makan Pemicu Penuaan Dini pada Wanita

retconomynow.com – Penampilan awet muda nampaknya menjadi impian bagi hampir setiap wanita di seluruh dunia.…
Stephen Thompson2 months ago
Cek Fakta: Benarkah Manfaat Kolang-Kaling untuk Tulang Itu Nyata?
Kesehatan

Cek Fakta: Benarkah Manfaat Kolang-Kaling untuk Tulang Itu Nyata?

retconomynow.com – Banyak masyarakat Indonesia nampaknya sangat percaya bahwa konsumsi camilan kenyal ini nampaknya mampu…
Stephen Thompson2 months ago
Awas Keracunan! Ini Cara Menyimpan Susu dan Arti Label Kedaluwarsa
Kesehatan

Awas Keracunan! Ini Cara Menyimpan Susu dan Arti Label Kedaluwarsa

retconomynow.com – Susu merupakan sumber nutrisi yang sangat sangat baik namun juga nampak sangat sangat…
Stephen Thompson2 months ago
Waspada! Bahaya Gula Pembuluh Darah Picu Sumbatan Seperti Kolesterol
Kesehatan

Waspada! Bahaya Gula Pembuluh Darah Picu Sumbatan Seperti Kolesterol

retconomynow.com – Selama ini masyarakat nampaknya hanya sangat mewaspadai lemak serta kolesterol sebagai musuh utama…
Stephen Thompson2 months ago
Dokter Respons Kasus BPJS Pasien Cuci Darah Nonaktif: Ini Sangat Berisiko!
Kesehatan

Dokter Respons Kasus BPJS Pasien Cuci Darah Nonaktif: Ini Sangat Berisiko!

retconomynow.com – Dunia medis tanah air nampaknya tengah memberikan perhatian serius terhadap masalah administrasi jaminan…
Stephen Thompson2 months ago
Menkes Bangun 66 RS Canggih BPJS Kemenkes di Daerah Terpencil
Kesehatan

Menkes Bangun 66 RS Canggih BPJS Kemenkes di Daerah Terpencil

retconomynow.com – Menteri Kesehatan (Menkes) Budi Gunadi Sadikin kembali meluncurkan program strategis guna memeratakan layanan…
Stephen Thompson2 months ago
Tragis! Bayi Meninggal Diduga Karena Bahaya Susu Mentah Ibu Hamil
Outdoors

Tragis! Bayi Meninggal Diduga Karena Bahaya Susu Mentah Ibu Hamil

retconomynow.com – Sebuah peristiwa tragis baru saja menimpa seorang ibu yang kehilangan bayi baru lahirnya…
Stephen Thompson2 months ago
Bahaya! Kemenkes Ungkap 65 Juta Kasus Hipertensi Warga Indonesia
Kesehatan

Bahaya! Kemenkes Ungkap 65 Juta Kasus Hipertensi Warga Indonesia

retconomynow.com – Kementerian Kesehatan (Kemenkes) baru saja merilis data kesehatan nasional yang sangat mengejutkan publik.…
Stephen Thompson2 months ago
Terbongkar! Catatan Medis Jeffrey Epstein Sebut Ia Idap Penyakit Menular
Kesehatan

Terbongkar! Catatan Medis Jeffrey Epstein Sebut Ia Idap Penyakit Menular

retconomynow.com – Rahasia gelap mendiang miliarder Jeffrey Epstein nampaknya terus terungkap satu per satu ke…
Stephen Thompson2 months ago
Kabar Baik! Wamensos Percepat Reaktivasi PBI BPJS Pasien Cuci Darah
Kesehatan

Kabar Baik! Wamensos Percepat Reaktivasi PBI BPJS Pasien Cuci Darah

retconomynow.com – Pemerintah melalui Kementerian Sosial bergerak cepat guna mengatasi kendala layanan kesehatan bagi masyarakat…
Stephen Thompson2 months ago
Kasus Bocah 10 Tahun Gantung Diri: Psikolog Ungkap Pemicu Anak Akhiri Hidup
Kesehatan

Kasus Bocah 10 Tahun Gantung Diri: Psikolog Ungkap Pemicu Anak Akhiri Hidup

retconomynow.com – Sebuah peristiwa memilukan baru-baru ini mengguncang kesadaran publik mengenai pentingnya kesehatan mental pada…
Stephen Thompson2 months ago
Bahaya Galon Tua Masih Beredar Luas: Bisa Lepas Zat Kimia Berbahaya!
Kesehatan

Bahaya Galon Tua Masih Beredar Luas: Bisa Lepas Zat Kimia Berbahaya!

retconomynow.com –. Masyarakat kini harus semakin waspada saat membeli air minum dalam kemasan galon isi…
Stephen Thompson2 months ago
Miris! 160 Pasien Gagal Ginjal Tak Bisa Berobat Akibat PBI BPJS Non-aktif
Outdoors

Miris! 160 Pasien Gagal Ginjal Tak Bisa Berobat Akibat PBI BPJS Non-aktif

Krisis layanan kesehatan kini sedang menimpa ratusan warga kurang mampu di berbagai wilayah Indonesia. Saat…
Stephen Thompson2 months ago
Lonjakan Kedua Infeksi Flu di Amerika Serikat: Bukan Akibat Subclade K!
Kesehatan

Lonjakan Kedua Infeksi Flu di Amerika Serikat: Bukan Akibat Subclade K!

retconomynow.com – Otoritas kesehatan internasional kini memberikan perhatian khusus terhadap situasi medis di wilayah Amerika…
Stephen Thompson2 months ago
Dot Orthodontic: Solusi Dini Jaga Tumbuh Kembang Gigi Anak Anda
Kesehatan

Dot Orthodontic: Solusi Dini Jaga Tumbuh Kembang Gigi Anak Anda

retconomynow.com – Kesehatan rongga mulut sejak usia dini menjadi fondasi penting bagi kesehatan tubuh secara…
Stephen Thompson2 months ago
Menkes Soroti Kesehatan Mental Anak Usai Kasus Bunuh Diri di NTT
Kesehatan

Menkes Soroti Kesehatan Mental Anak Usai Kasus Bunuh Diri di NTT

retconomynow.com – Menteri Kesehatan Budi Gunadi Sadikin memberikan perhatian serius terhadap peristiwa tragis di Nusa…
Stephen Thompson2 months ago
Tes Asah Otak: Mampu Temukan Hewan Tersembunyi dalam Hitungan Detik?
Kesehatan

Tes Asah Otak: Mampu Temukan Hewan Tersembunyi dalam Hitungan Detik?

retconomynow.com – Melatih konsentrasi nampak menjadi hal yang sangat penting di tengah kesibukan harian yang…
Stephen Thompson2 months ago
Pasca Bencana: Puskesmas Darurat Aceh Tenggara Mulai Layani Warga
Kesehatan

Pasca Bencana: Puskesmas Darurat Aceh Tenggara Mulai Layani Warga

retconomynow.com – Warga terdampak bencana di Aceh Tenggara kini mulai mendapatkan akses pengobatan secara memadai.…
Stephen Thompson2 months ago
Waspada Sensasi Tak Enak di Dada: Ini Gejala Kanker yang Terabaikan!
Kesehatan

Waspada Sensasi Tak Enak di Dada: Ini Gejala Kanker yang Terabaikan!

retconomynow.com – Banyak orang sering menganggap remeh rasa tidak nyaman yang muncul pada area tubuh…
Stephen Thompson2 months ago
Kejadian Medis Unik: Peluru PD I Ada di Dubur Pria, RS Panggil Tim Bom!
Kesehatan

Kejadian Medis Unik: Peluru PD I Ada di Dubur Pria, RS Panggil Tim Bom!

retconomynow.com – Sebuah peristiwa medis yang sangat tidak biasa menggemparkan staf rumah sakit di Inggris.…
Stephen Thompson2 months ago
BGN: Siswi Kudus Meninggal Bukan Karena Program Makan Bergizi Gratis
Kesehatan

BGN: Siswi Kudus Meninggal Bukan Karena Program Makan Bergizi Gratis

retconomynow.com – Badan Gizi Nasional (BGN) memberikan klarifikasi resmi terkait kasus kematian siswi di Kudus.…
Stephen Thompson2 months ago
Wisata Medis Malaysia: Pilihan Cerdas Berobat Sambil Jalan-Jalan
Kesehatan

Wisata Medis Malaysia: Pilihan Cerdas Berobat Sambil Jalan-Jalan

retconomynow.com – Tren menjaga kesehatan kini semakin menyenangkan. Saat ini, konsep wisata medis Malaysia sangat…
Stephen Thompson2 months ago
Malpraktik Klinik Kesuburan: Pasangan Kulit Putih Lahirkan Bayi Ras Lain
Kesehatan

Malpraktik Klinik Kesuburan: Pasangan Kulit Putih Lahirkan Bayi Ras Lain

retconomynow.com – Sebuah peristiwa medis yang sangat mengejutkan baru saja menimpa sebuah keluarga di Amerika…
Stephen Thompson2 months ago
Kasus Kanker Usus Besar Gen Z Meningkat: Dokter Ungkap Pemicunya!
Kesehatan

Kasus Kanker Usus Besar Gen Z Meningkat: Dokter Ungkap Pemicunya!

retconomynow.com – Tren kesehatan masa kini menunjukkan fenomena yang cukup mengkhawatirkan bagi anak muda. Saat…
Stephen Thompson2 months ago
Bersila Usai Olahraga Jadi Penyebab Varises? Ini Fakta Medisnya
Kesehatan

Bersila Usai Olahraga Jadi Penyebab Varises? Ini Fakta Medisnya

retconomynow.com – Banyak orang percaya bahwa posisi duduk tertentu dapat merusak pembuluh darah kaki. Salah…
Stephen Thompson2 months ago
Picky Eating Anak: Kenali Tanda dan Risiko Kekurangan Gizi Kronis
Kesehatan

Picky Eating Anak: Kenali Tanda dan Risiko Kekurangan Gizi Kronis

retconomynow.com – Masalah pola makan balita sering membebani pikiran orang tua. Saat ini, fenomena picky…
Stephen Thompson2 months ago
Dr. Mariano Barbacid: Peneliti Kanker Pankreas yang Sukses Melumpuhkan Tumor
Kesehatan

Dr. Mariano Barbacid: Peneliti Kanker Pankreas yang Sukses Melumpuhkan Tumor

retconomynow.com – Dunia kedokteran baru saja merayakan pencapaian besar dalam upaya melawan penyakit paling mematikan.…
Stephen Thompson2 months ago
Bahaya Memijat Varises: Dokter Ingatkan Risiko Fatal ke Jantung
Kesehatan

Bahaya Memijat Varises: Dokter Ingatkan Risiko Fatal ke Jantung

retconomynow.com – Banyak orang sering kali mengabaikan munculnya urat halus yang menonjol di area kaki…
Stephen Thompson2 months ago
Manfaat Matcha bagi Pecandu Kopi yang Sering Gemetaran
Kesehatan

Manfaat Matcha bagi Pecandu Kopi yang Sering Gemetaran

retconomynow.com – Banyak orang sangat bergantung pada asupan kafein guna memulai aktivitas harian yang padat.…
Stephen Thompson2 months ago
Gejala Virus Nipah dari Hari ke Hari yang Harus Anda Waspadai
Kesehatan

Gejala Virus Nipah dari Hari ke Hari yang Harus Anda Waspadai

retconomynow.com – Dunia kesehatan saat ini tengah menyoroti munculnya wabah penyakit mematikan dari hewan ke…
Stephen Thompson2 months ago
Harga Obat di RI Bisa Turun 40 Persen: Menkes Ungkap Strateginya
Kesehatan

Harga Obat di RI Bisa Turun 40 Persen: Menkes Ungkap Strateginya

retconomynow.com – Kabar gembira datang bagi masyarakat Indonesia terkait biaya layanan kesehatan nasional. Saat ini,…
Stephen Thompson2 months ago
Kerja Berlebihan Hantui Jutaan Pekerja: Menkes Beri Peringatan Keras
Kesehatan

Kerja Berlebihan Hantui Jutaan Pekerja: Menkes Beri Peringatan Keras

retconomynow.com – Menteri Kesehatan Republik Indonesia baru saja merilis data mengejutkan mengenai kondisi tenaga kerja…
Stephen Thompson2 months ago
Virus Nipah: Thailand Skrining Ribuan Penumpang Asal India
Kesehatan

Virus Nipah: Thailand Skrining Ribuan Penumpang Asal India

retconomynow.com – Pemerintah Thailand kini memperketat penjagaan di pintu masuk negara guna mencegah masuknya wabah…
Stephen Thompson2 months ago
Penyalahgunaan Whip Pink: BPOM dan BNN Perketat Pengawasan
Kesehatan

Penyalahgunaan Whip Pink: BPOM dan BNN Perketat Pengawasan

retconomynow.com – Badan Pengawas Obat dan Makanan (BPOM) kini memberikan perhatian serius terhadap tren berbahaya…
Stephen Thompson2 months ago
Rugi Rp 160 T! Wamenkes Sentil Warga Indonesia Berobat ke Luar Negeri
Kesehatan

Rugi Rp 160 T! Wamenkes Sentil Warga Indonesia Berobat ke Luar Negeri

retconomynow.com – Wakil Menteri Kesehatan (Wamenkes) baru saja mengungkap data mengejutkan terkait sektor kesehatan nasional.…
Stephen Thompson2 months ago
Bahaya! 400 Ribu Wanita Indonesia Terancam Risiko Kanker Serviks
Kesehatan

Bahaya! 400 Ribu Wanita Indonesia Terancam Risiko Kanker Serviks

retconomynow.com – Dunia kesehatan Indonesia kini menghadapi tantangan besar terkait penyakit mematikan bagi kaum perempuan.…
Stephen Thompson2 months ago
Kabar Baik! Pramono Gratiskan Biaya Berobat Warga DKI Terdampak Banjir
Kesehatan

Kabar Baik! Pramono Gratiskan Biaya Berobat Warga DKI Terdampak Banjir

retconomynow.com – Pramono Anung membawa angin segar bagi warga Jakarta yang sedang menghadapi musibah banjir.…
Stephen Thompson2 months ago
Kemenkes Perketat Pintu Masuk! Upaya Pencegahan Virus Nipah di Indonesia
Kesehatan

Kemenkes Perketat Pintu Masuk! Upaya Pencegahan Virus Nipah di Indonesia

retconomynow.com – Pemerintah Indonesia kini meningkatkan kewaspadaan tingkat tinggi. Hal ini menyasar ancaman wabah penyakit…
Stephen Thompson2 months ago
Bahaya! Ini Dampak Overwork Bagi Kesehatan Pekerja di Indonesia
Kesehatan

Bahaya! Ini Dampak Overwork Bagi Kesehatan Pekerja di Indonesia

retconomynow.com – Fenomena jam kerja berlebihan kini menjadi ancaman serius bagi produktivitas dan kesejahteraan masyarakat…
Stephen Thompson2 months ago
Waspada! Taiwan Pantau Penyebaran Virus Nipah dan Larang Makan Ini
Kesehatan

Waspada! Taiwan Pantau Penyebaran Virus Nipah dan Larang Makan Ini

retconomynow.com – Pemerintah Taiwan kini resmi mengeluarkan peringatan kesehatan bagi seluruh warganya yang berada di…
Stephen Thompson2 months ago
Penting! Label Batas Aman Waktu Konsumsi di Program Makan Bergizi Gratis
Kesehatan

Penting! Label Batas Aman Waktu Konsumsi di Program Makan Bergizi Gratis

retconomynow.com – Badan Gizi Nasional (BGN) kini mengeluarkan aturan baru terkait keamanan pangan nasional. Sebab,…
Stephen Thompson2 months ago
Waspada! Pakar Minta Pencegahan Virus Nipah Lewat Skrining Ketat
Kesehatan

Waspada! Pakar Minta Pencegahan Virus Nipah Lewat Skrining Ketat

retconomynow.com – Isu kesehatan mengenai penyebaran virus Nipah kini tengah menjadi perhatian serius pemerintah Indonesia.…
Stephen Thompson2 months ago
Jangan Panik! Kenali Beda Serangan Jantung dan GERD yang Mirip
Kesehatan

Jangan Panik! Kenali Beda Serangan Jantung dan GERD yang Mirip

retconomynow.com – Mengenali beda serangan jantung dan GERD sangat penting bagi keselamatan nyawa Anda. Sebab,…
Stephen Thompson2 months ago
Bahaya! Dua Perawat Terinfeksi Virus Nipah, Satu Orang Kondisi Kritis
Kesehatan

Bahaya! Dua Perawat Terinfeksi Virus Nipah, Satu Orang Kondisi Kritis

retconomynow.com – Kabar buruk mengenai krisis kesehatan kini kembali datang dari wilayah bagian selatan negara…
Stephen Thompson2 months ago
Ampuh! Inilah Cara Usir Kantuk Saat Kerja Selain Minum Kopi
Kesehatan

Ampuh! Inilah Cara Usir Kantuk Saat Kerja Selain Minum Kopi

retconomynow.com – Rasa kantuk yang menyerang pada siang hari seringkali nampaknya mengganggu produktivitas para pekerja…
Stephen Thompson2 months ago
Fatal! Dokter Jantung Ungkap Bahaya Gas N2O Whip Pink Bagi Tubuh
Kesehatan

Fatal! Dokter Jantung Ungkap Bahaya Gas N2O Whip Pink Bagi Tubuh

retconomynow.com – Tren penyalahgunaan gas Nitrous Oxide atau N2O kini memicu kekhawatiran serius di kalangan…
Stephen Thompson2 months ago
Bahaya! Dokter Ungkap Gejala Serangan Jantung Bisa Mirip dengan GERD
Kesehatan

Bahaya! Dokter Ungkap Gejala Serangan Jantung Bisa Mirip dengan GERD

retconomynow.com – Masyarakat seringkali terjebak dalam rasa bingung saat menghadapi nyeri dada yang muncul secara…
Stephen Thompson2 months ago
Viral! BNN Buka Suara Soal Bahaya Flying Choco yang Diklaim Bikin Terbang
Kesehatan

Viral! BNN Buka Suara Soal Bahaya Flying Choco yang Diklaim Bikin Terbang

retconomynow.com – Media sosial kini tengah heboh dengan kemunculan produk cokelat yang menjanjikan efek sensasi…
Stephen Thompson2 months ago
Viral di Media Sosial! Dokter Internis Beberkan Gejala Penyakit GERD
Kesehatan

Viral di Media Sosial! Dokter Internis Beberkan Gejala Penyakit GERD

retconomynow.com – Topik mengenai kesehatan lambung kini mendominasi percakapan warga net di berbagai platform media…
Stephen Thompson2 months ago
Kabar Duka! Selebgram Lula Lahfah Meninggal Dunia, Ini Riwayat Sakitnya
Kesehatan

Kabar Duka! Selebgram Lula Lahfah Meninggal Dunia, Ini Riwayat Sakitnya

retconomynow.com – Dunia hiburan tanah air kini nampaknya tengah berselimut duka yang sangat mendalam pada…
Stephen Thompson2 months ago
Apakah GERD Bisa Memicu Kematian Mendadak? Simak Penjelasan Dokter
Kesehatan

Apakah GERD Bisa Memicu Kematian Mendadak? Simak Penjelasan Dokter

retconomynow.com – Banyak masyarakat merasa khawatir terhadap isu kesehatan yang menghubungkan gangguan lambung dengan risiko…
Stephen Thompson2 months ago
WHO Soroti Minuman Manis Murah: Bahaya Konsumsi Gula Berlebih Mengancam
Kesehatan

WHO Soroti Minuman Manis Murah: Bahaya Konsumsi Gula Berlebih Mengancam

retconomynow.com – Organisasi Kesehatan Dunia (WHO) kini mengeluarkan peringatan keras bagi seluruh penduduk bumi mengenai…
Stephen Thompson2 months ago
Viral Pro Kontra Surrogacy, Dokter Obgyn Jelaskan Risiko Sewa Rahim
Kesehatan

Viral Pro Kontra Surrogacy, Dokter Obgyn Jelaskan Risiko Sewa Rahim

Media sosial kini tengah ramai memperdebatkan praktik pinjam rahim atau surrogacy yang menuai banyak pro…
Stephen Thompson2 months ago
Waspada! Perhatikan 2 Tanda di Kulit yang Bisa Jadi Gejala Sakit Ginjal
Kesehatan

Waspada! Perhatikan 2 Tanda di Kulit yang Bisa Jadi Gejala Sakit Ginjal

retconomynow.com – Masalah pada organ dalam seringkali menunjukkan tanda-tanda awal melalui perubahan kondisi fisik pada…
Stephen Thompson2 months ago
Waspada Cuaca Ekstrem Jabodetabek! Simak Cara Tekan Risiko Penyakit Flu
Kesehatan

Waspada Cuaca Ekstrem Jabodetabek! Simak Cara Tekan Risiko Penyakit Flu

retconomynow.com – Kondisi atmosfer di wilayah Jabodetabek kini nampaknya sedang menunjukkan perubahan yang sangat sangat…
Stephen Thompson2 months ago
Viral! Lebam di Tangan Donald Trump Disorot, Efek Aspirin Dosis Tinggi?
Kesehatan

Viral! Lebam di Tangan Donald Trump Disorot, Efek Aspirin Dosis Tinggi?

retconomynow.com – Kondisi fisik orang nomor satu di Amerika Serikat kini nampaknya kembali menjadi bahan…
Stephen Thompson2 months ago
Waspada! Menkes Ingatkan Bahaya Obesitas bagi Kesehatan dan Risiko Fatalnya
Kesehatan

Waspada! Menkes Ingatkan Bahaya Obesitas bagi Kesehatan dan Risiko Fatalnya

retconomynow.com – Masalah berat badan berlebih kini nampaknya bukan lagi sekadar persoalan penampilan fisik semata…
Stephen Thompson2 months ago
Viral! Bahaya Memencet Jerawat Berujung Kematian, Simak Penjelasan Dokter
Kesehatan

Viral! Bahaya Memencet Jerawat Berujung Kematian, Simak Penjelasan Dokter

retconomynow.com – Sebuah unggahan media sosial nampaknya kembali menggemparkan publik mengenai risiko kesehatan yang nampaknya…
Stephen Thompson2 months ago
Terungkap! Alasan Meghan Trainor Sewa Rahim untuk Anak Ketiga
Kesehatan

Terungkap! Alasan Meghan Trainor Sewa Rahim untuk Anak Ketiga

retconomynow.com – Kabar mengejutkan sekaligus mengharukan kini nampaknya datang dari panggung hiburan internasional mengenai kehidupan…
Stephen Thompson2 months ago
Menkes: Penyakit Jantung Beban Terbesar BPJS, Yuk Sadar Gaya Hidup Sehat!
Outdoors

Menkes: Penyakit Jantung Beban Terbesar BPJS, Yuk Sadar Gaya Hidup Sehat!

Tantangan besar kini nampaknya sedang melanda sistem jaminan kesehatan nasional akibat tingginya angka kasus penyakit…
Stephen Thompson2 months ago
Kisah Wanita 26 Tahun Kena Kanker Tiroid Usia Muda yang Tak Terduga
Kesehatan

Kisah Wanita 26 Tahun Kena Kanker Tiroid Usia Muda yang Tak Terduga

retconomynow.com – Kesehatan nampaknya tidak pernah memandang batasan usia seseorang dalam menghadapi ancaman penyakit yang…
Stephen Thompson2 months ago
Kabar Gembira! Menkes Pastikan Tidak Ada Kenaikan Iuran BPJS Kesehatan 2026
Kesehatan

Kabar Gembira! Menkes Pastikan Tidak Ada Kenaikan Iuran BPJS Kesehatan 2026

retconomynow.com – Pemerintah memberikan kepastian yang sangat sangat menenangkan bagi seluruh lapisan masyarakat Indonesia mengenai…
Stephen Thompson2 months ago
Waspada! Ahli Polimer Ingatkan Bahaya BPA Galon pada Wadah Lanjut Usia
Kesehatan

Waspada! Ahli Polimer Ingatkan Bahaya BPA Galon pada Wadah Lanjut Usia

retconomynow.com – Isu keamanan air minum dalam kemasan kini nampaknya kembali menjadi perhatian publik yang…
Stephen Thompson2 months ago
Kenali Tanda Gangguan Jiwa: 28 Juta Warga Indonesia Diduga Mengalaminya
Kesehatan

Kenali Tanda Gangguan Jiwa: 28 Juta Warga Indonesia Diduga Mengalaminya

retconomynow.com – Masalah kesehatan mental kini nampaknya sedang menjadi perhatian nasional yang sangat sangat serius…
Stephen Thompson2 months ago
Alasan Psikologis Ramalan Tarot Gen Z Jadi Pegangan Hidup Andalan
Kesehatan

Alasan Psikologis Ramalan Tarot Gen Z Jadi Pegangan Hidup Andalan

retconomynow.com – Fenomena spiritualitas modern kini nampaknya sedang menjadi tren yang sangat sangat kuat di…
Stephen Thompson2 months ago
Luar Biasa! Ini Deretan Manfaat Daun Kelor untuk Berbagai Jenis Penyakit
Kesehatan

Luar Biasa! Ini Deretan Manfaat Daun Kelor untuk Berbagai Jenis Penyakit

retconomynow.com – Kekayaan alam nusantara kini nampaknya kembali menjadi sorotan dunia medis internasional karena potensi…
Stephen Thompson2 months ago
Terbukti Riset! Ini Jenis Jalan Kaki Panjang Umur yang Wajib Anda Coba
Kesehatan

Terbukti Riset! Ini Jenis Jalan Kaki Panjang Umur yang Wajib Anda Coba

retconomynow.com – Menjaga kesehatan jantung dan kebugaran tubuh nampaknya dapat kita lakukan melalui aktivitas yang…
Stephen Thompson2 months ago
Pilu! Bayi di Gaza Meninggal Akibat Hipotermia di Tengah Suhu Ekstrem
Kesehatan

Pilu! Bayi di Gaza Meninggal Akibat Hipotermia di Tengah Suhu Ekstrem

retconomynow.com – Tragedi kemanusiaan yang sangat menyayat hati kini nampaknya sedang melanda wilayah kantong Palestina…
Stephen Thompson2 months ago
Menkes: 28 Juta Warga RI Alami Masalah Kesehatan Mental, Ini Faktanya!
Kesehatan

Menkes: 28 Juta Warga RI Alami Masalah Kesehatan Mental, Ini Faktanya!

retconomynow.com – Kondisi psikologis masyarakat Indonesia kini nampaknya sedang menghadapi tantangan yang sangat sangat besar…
Stephen Thompson3 months ago
Bahaya! Kasus Influenza di AS Meledak Hingga 18 Juta Akibat Super Flu
Kesehatan

Bahaya! Kasus Influenza di AS Meledak Hingga 18 Juta Akibat Super Flu

retconomynow.com – Krisis kesehatan baru nampaknya kini tengah melanda wilayah Amerika Serikat dengan tingkat penyebaran…
Stephen Thompson3 months ago
Ampuh! Ini 5 Manfaat Rebusan Kunyit Jahe yang Rutin Anda Minum
Kesehatan

Ampuh! Ini 5 Manfaat Rebusan Kunyit Jahe yang Rutin Anda Minum

retconomynow.com – Menjaga kesehatan tubuh tidak selalu membutuhkan biaya yang sangat sangat mahal atau suplemen…
Stephen Thompson3 months ago
Kisah Pasien AS: Usai Cangkok Ginjal Babi Kini Dapat Donor Ginjal Manusia
Kesehatan

Kisah Pasien AS: Usai Cangkok Ginjal Babi Kini Dapat Donor Ginjal Manusia

retconomynow.com – Sejarah baru dalam dunia medis kembali tercipta melalui perjuangan hidup seorang pria asal…
Stephen Thompson3 months ago
Ampuh! Cukup Jalan Kaki 5 Menit Lebih Lama Bisa Cegah Kematian Dini
Kesehatan

Ampuh! Cukup Jalan Kaki 5 Menit Lebih Lama Bisa Cegah Kematian Dini

retconomynow.com – Menjaga kebugaran tubuh sebenarnya tidak selalu membutuhkan durasi waktu olahraga yang sangat sangat…
Stephen Thompson3 months ago
Masih Muda Pasti Aman? Inilah Fakta Penyakit Jantung Usia Muda
Kesehatan

Masih Muda Pasti Aman? Inilah Fakta Penyakit Jantung Usia Muda

retconomynow.com – Banyak orang saat ini masih menganggap bahwa gangguan kesehatan organ vital hanya menyerang…
Stephen Thompson3 months ago
Waspada! Dokter Ungkap Kebiasaan Pemicu Gagal Ginjal Usia Muda
Kesehatan

Waspada! Dokter Ungkap Kebiasaan Pemicu Gagal Ginjal Usia Muda

retconomynow.com – Fenomena gangguan kesehatan organ dalam kini mulai menyerang kelompok usia produktif di Indonesia…
Stephen Thompson3 months ago
Waspada! Bahaya Hipotermia Juga Mengancam di Luar Area Pegunungan
Kesehatan

Waspada! Bahaya Hipotermia Juga Mengancam di Luar Area Pegunungan

retconomynow.com – Banyak orang selama ini menganggap bahwa gangguan suhu tubuh ekstrem hanya terjadi pada…
Stephen Thompson3 months ago
Viral! dr Tan Ingatkan Diet Karnivora Merusak Ginjal Secara Permanen
Kesehatan

Viral! dr Tan Ingatkan Diet Karnivora Merusak Ginjal Secara Permanen

Tren pola makan ekstrem kini sedang menjadi perbincangan hangat di berbagai platform media sosial tanah…
Stephen Thompson3 months ago
Waspada! BPOM Rilis Daftar 26 Kosmetik Berbahaya Termasuk Daviena
Kesehatan

Waspada! BPOM Rilis Daftar 26 Kosmetik Berbahaya Termasuk Daviena

retconomynow.com – Badan Pengawas Obat dan Makanan (BPOM) kembali memberikan peringatan keras kepada seluruh masyarakat…
Stephen Thompson3 months ago
Mitos atau Fakta? Dokter Obgyn Jawab Larangan Keramas Saat Menstruasi
Kesehatan

Mitos atau Fakta? Dokter Obgyn Jawab Larangan Keramas Saat Menstruasi

retconomynow.com – Banyak wanita di Indonesia hingga saat ini masih mempercayai berbagai pantangan turun-temurun saat…
Stephen Thompson3 months ago
Strategis! Kerja Sama BPOM HSA Singapura Beri Keuntungan Besar bagi RI
Kesehatan

Strategis! Kerja Sama BPOM HSA Singapura Beri Keuntungan Besar bagi RI

retconomynow.com – Lembaga pengawas obat dan makanan Indonesia baru saja memperkuat sinergi internasional guna meningkatkan…
Stephen Thompson3 months ago
Oprah Winfrey Jujur Pakai Obat Diet, Inilah Efek Samping yang Dialami
Kesehatan

Oprah Winfrey Jujur Pakai Obat Diet, Inilah Efek Samping yang Dialami

retconomynow.com – Pembawa acara legendaris Oprah Winfrey baru saja memberikan pengakuan yang sangat mengejutkan mengenai…
Stephen Thompson3 months ago
Miris! Ada Pungli PPDS UNSRI, Junior Wajib Bayar 15 Juta Per Bulan
Kesehatan

Miris! Ada Pungli PPDS UNSRI, Junior Wajib Bayar 15 Juta Per Bulan

retconomynow.com – Kementerian Kesehatan kembali mengungkap fakta yang sangat sangat mengejutkan terkait praktik perundungan di…
Stephen Thompson3 months ago
Alami dan Sehat! 6 Pilihan Minuman untuk Detoks Ginjal Anda
Kesehatan

Alami dan Sehat! 6 Pilihan Minuman untuk Detoks Ginjal Anda

retconomynow.com – Menjaga fungsi organ penyaring racun dalam tubuh merupakan investasi kesehatan jangka panjang yang…
Stephen Thompson3 months ago
Tegas! Kemenkes Setop PPDS Mata UNSRI Akibat Bullying, Sampai Kapan?
Kesehatan

Tegas! Kemenkes Setop PPDS Mata UNSRI Akibat Bullying, Sampai Kapan?

retconomynow.com – Kementerian Kesehatan (Kemenkes) baru saja mengambil tindakan yang sangat sangat tegas terhadap dunia…
Stephen Thompson3 months ago
Akhirnya! Pihak SPPG Sindang Sari Beri Klarifikasi MBG Busuk di Lampung
Kesehatan

Akhirnya! Pihak SPPG Sindang Sari Beri Klarifikasi MBG Busuk di Lampung

retconomynow.com – Pihak sekolah menengah di Lampung akhirnya angkat bicara guna menjernihkan suasana yang sedang…
Stephen Thompson3 months ago
Ahli Mikrobiologi RI Ungkap Fakta Super Flu yang Bikin Dunia Khawatir
Kesehatan

Ahli Mikrobiologi RI Ungkap Fakta Super Flu yang Bikin Dunia Khawatir

retconomynow.com – Dunia kedokteran saat ini sedang menaruh perhatian besar pada munculnya varian virus baru…
Stephen Thompson3 months ago
Saran BPOM: Segera Hentikan Penggunaan Produk Penarikan Sufor Nestle
Kesehatan

Saran BPOM: Segera Hentikan Penggunaan Produk Penarikan Sufor Nestle

retconomynow.com – Badan Pengawas Obat dan Makanan (BPOM) baru saja mengeluarkan pernyataan resmi terkait krisis…
Stephen Thompson3 months ago
Suspek Super Flu Muncul di Kepri, Menkes: Tak Perlu Khawatir Berlebihan
Kesehatan

Suspek Super Flu Muncul di Kepri, Menkes: Tak Perlu Khawatir Berlebihan

retconomynow.com – Kabar mengenai temuan kasus kesehatan baru di wilayah perbatasan Indonesia kini sedang menjadi…
Stephen Thompson3 months ago
Waspada! Dokter Tangani Pasien WNA dengan Gejala Super Flu di Jakarta
Kesehatan

Waspada! Dokter Tangani Pasien WNA dengan Gejala Super Flu di Jakarta

retconomynow.com – Dunia medis tanah air kembali meningkatkan kewaspadaan setelah muncul laporan kasus infeksi pernapasan…
Stephen Thompson3 months ago
Terungkap! Alasan Tubuh Gampang Kena Flu dan Batuk di Musim Hujan
Kesehatan

Terungkap! Alasan Tubuh Gampang Kena Flu dan Batuk di Musim Hujan

retconomynow.com- Memasuki bulan-bulan dengan intensitas hujan tinggi, banyak orang mulai mengeluhkan gangguan kesehatan pada saluran…
Stephen Thompson3 months ago
Bahaya Cereulide! Alasan Penarikan Produk Sufor Nestle di 49 Negara
Kesehatan

Bahaya Cereulide! Alasan Penarikan Produk Sufor Nestle di 49 Negara

retconomynow.com – Dunia kesehatan internasional kini sedang menyoroti kebijakan darurat dari salah satu produsen pangan…
Stephen Thompson3 months ago
Bahaya! Influencer Kena Kerusakan Ginjal Akibat Dampak Diet Karnivora
Kesehatan

Bahaya! Influencer Kena Kerusakan Ginjal Akibat Dampak Diet Karnivora

retconomynow.com – Tren pola makan yang viral di media sosial sering kali menjanjikan hasil penurunan…
Stephen Thompson3 months ago
Ampuh! Resep Herbal Penguat Imun ala Gen Z Lawan Super Flu
Kesehatan

Ampuh! Resep Herbal Penguat Imun ala Gen Z Lawan Super Flu

retconomynow.com – Tren gaya hidup sehat kini nampaknya sedang mengalami pergeseran yang sangat sangat menarik…
Stephen Thompson3 months ago
Bahaya! Pria Kena Gagal Ginjal Akibat Seduh Biji Kopi Berjamur
Kesehatan

Bahaya! Pria Kena Gagal Ginjal Akibat Seduh Biji Kopi Berjamur

retconomynow.com – Kebiasaan minum kopi setiap pagi nampaknya bisa berujung petaka jika kita tidak memperhatikan…
Stephen Thompson3 months ago
Mengapa Usia 19 Belum Cukup? Ini Usia Ideal untuk Hamil Menurut Obgyn
Kesehatan

Mengapa Usia 19 Belum Cukup? Ini Usia Ideal untuk Hamil Menurut Obgyn

retconomynow.com – Tren pernikahan dini di Indonesia masih menjadi sorotan tajam bagi para ahli kesehatan…
Stephen Thompson3 months ago
Miris! Harga Tiket ke Aceh Mahal, Relawan Kesehatan Transit Malaysia
Kesehatan

Miris! Harga Tiket ke Aceh Mahal, Relawan Kesehatan Transit Malaysia

retconomynow.com – Kenaikan ongkos transportasi udara di dalam negeri kini sedang memicu polemik yang sangat…
Stephen Thompson3 months ago
Bahaya! Ini Dampak Tidur Siang Lama yang Bisa Merusak Kesehatan
Kesehatan

Bahaya! Ini Dampak Tidur Siang Lama yang Bisa Merusak Kesehatan

retconomynow.com – Banyak orang menganggap tidur siang sebagai cara terbaik guna mengembalikan stamina tubuh yang…
Stephen Thompson3 months ago
Susu UHT Langka? BGN Minta Dapur MBG Pakai Sumber Gizi Lain
Kesehatan

Susu UHT Langka? BGN Minta Dapur MBG Pakai Sumber Gizi Lain

retconomynow.com – Kabar mengenai hilangnya produk susu kemasan di pasaran kini tengah menjadi perhatian serius…
Stephen Thompson3 months ago
Mudah! Konsultasi Kesehatan Online Gratis Bersama Dokter Ahli
Kesehatan

Mudah! Konsultasi Kesehatan Online Gratis Bersama Dokter Ahli

retconomynow.com – Menjaga kondisi tubuh tetap prima merupakan prioritas utama bagi setiap individu di era…
Stephen Thompson3 months ago
Tragis! Jari Wanita Ini Diamputasi Akibat Komplikasi Batu Ginjal
Kesehatan

Tragis! Jari Wanita Ini Diamputasi Akibat Komplikasi Batu Ginjal

retconomynow.com – Kisah memilukan baru saja menimpa seorang wanita yang awalnya hanya mengeluhkan sakit pinggang…
Stephen Thompson3 months ago
Ngeri! Penampakan Batu Kandung Kemih Raksasa Seberat 1 KG
Kesehatan

Ngeri! Penampakan Batu Kandung Kemih Raksasa Seberat 1 KG

retconomynow.com – Dunia medis baru saja dikejutkan oleh sebuah temuan kasus yang sangat langka serta…
Stephen Thompson3 months ago
Pramono Cek Langsung Layanan Puskesmas Kebayoran Lama, Ini Hasilnya
Kesehatan

Pramono Cek Langsung Layanan Puskesmas Kebayoran Lama, Ini Hasilnya

retconomynow.com – Peningkatan kualitas fasilitas kesehatan tingkat pertama kini menjadi fokus utama bagi jajaran pejabat…
Stephen Thompson3 months ago
Mengapa Bisa Terjadi? Ini Alasan Anak Benci Ibu Menurut Psikolog
Kesehatan

Mengapa Bisa Terjadi? Ini Alasan Anak Benci Ibu Menurut Psikolog

retconomynow.com – Hubungan antara orang tua dan anak idealnya penuh dengan kasih sayang serta rasa…
Stephen Thompson3 months ago
Bahaya! Ilmuwan Prediksi Kasus Kanker Meroket, Apa Saja Pemicunya?
Kesehatan

Bahaya! Ilmuwan Prediksi Kasus Kanker Meroket, Apa Saja Pemicunya?

retconomynow.com – Dunia medis saat ini sedang menghadapi ancaman serius mengenai kesehatan masyarakat global dalam…
Stephen Thompson3 months ago
Kisah Pilu Remaja 14 Tahun Harus Cuci Darah, Kenali Penyebab Gagal Ginjal
Kesehatan

Kisah Pilu Remaja 14 Tahun Harus Cuci Darah, Kenali Penyebab Gagal Ginjal

retconomynow.com – Dunia kesehatan kembali mendapatkan kabar yang sangat memprihatinkan sekaligus menjadi peringatan keras bagi…
Stephen Thompson3 months ago
Luar Biasa! 5 Perubahan Tubuh Jika Rutin Minum Air Kelapa Setiap Hari
Kesehatan

Luar Biasa! 5 Perubahan Tubuh Jika Rutin Minum Air Kelapa Setiap Hari

retconomynow.com – Alam menyimpan rahasia kesehatan yang sangat luar biasa melalui buah-buahan tropis yang mudah…
Stephen Thompson3 months ago
Kenali Sederet Penyebab Mata Mengantuk, Ternyata Bukan Hanya Ptosis
Kesehatan

Kenali Sederet Penyebab Mata Mengantuk, Ternyata Bukan Hanya Ptosis

retconomynow.com – Banyak orang sering merasa terganggu dengan tampilan wajah yang nampak lelah akibat kelopak…
Stephen Thompson3 months ago
Pilu! Pemuda 23 Tahun Kena Demensia, Meninggal Setahun Usai Diagnosis
Kesehatan

Pilu! Pemuda 23 Tahun Kena Demensia, Meninggal Setahun Usai Diagnosis

retconomynow.com – Sebuah kisah memilukan dari dunia kesehatan kini sedang menjadi peringatan serius bagi masyarakat…
Stephen Thompson3 months ago
Berani Coba? Tes Logika Soal Cerita Ini Ternyata Menjebak dan Sulit
Kesehatan

Berani Coba? Tes Logika Soal Cerita Ini Ternyata Menjebak dan Sulit

retconomynow.com – Banyak orang merasa memiliki kecerdasan intelektual yang tinggi sebelum mereka mencoba tantangan asah…
Stephen Thompson3 months ago
Heboh Lab Narkoba di Ancol: Kenali Efek Happy Water Etomidate ke Tubuh
Kesehatan

Heboh Lab Narkoba di Ancol: Kenali Efek Happy Water Etomidate ke Tubuh

retconomynow.com – Masyarakat Jakarta baru saja dikejutkan oleh penggerebekan sebuah laboratorium rahasia yang memproduksi narkotika…
Stephen Thompson3 months ago
Gaduh Larangan Tumbler di Restoran: Pakar Soroti Risiko Kontaminasi
Kesehatan

Gaduh Larangan Tumbler di Restoran: Pakar Soroti Risiko Kontaminasi

retconomynow.com – Kebijakan sejumlah restoran yang melarang pengunjung membawa botol minum sendiri atau tumbler kini…
Stephen Thompson3 months ago
Gaduh! Wabah Super Flu AS Bikin Rumah Sakit Kewalahan, Pasien Membludak
Kesehatan

Gaduh! Wabah Super Flu AS Bikin Rumah Sakit Kewalahan, Pasien Membludak

retconomynow.com – Kondisi darurat kesehatan kini sedang melanda beberapa wilayah di Amerika Serikat akibat serangan…
Stephen Thompson3 months ago
Kemenkes Targetkan Cakupan Cek Kesehatan Gratis 2026 Tembus 46 Persen
Kesehatan

Kemenkes Targetkan Cakupan Cek Kesehatan Gratis 2026 Tembus 46 Persen

retconomynow.com – Kementerian Kesehatan Republik Indonesia (Kemenkes RI) baru saja mengumumkan langkah strategis guna meningkatkan…
Stephen Thompson3 months ago
Kisah Pilu Wanita Inggris Kena Super Flu: Kenali Gejala yang Menyakitkan
Kesehatan

Kisah Pilu Wanita Inggris Kena Super Flu: Kenali Gejala yang Menyakitkan

retconomynow.com – Seorang wanita asal Inggris baru saja membagikan pengalaman medis yang sangat mengerikan melalui…
Stephen Thompson3 months ago
Waspada! Bocah 4 Tahun Alami Komplikasi Flu pada Anak yang Sangat Langka
Kesehatan

Waspada! Bocah 4 Tahun Alami Komplikasi Flu pada Anak yang Sangat Langka

retconomynow.com – Penyakit flu pada anak sering kali dianggap sebagai gangguan kesehatan ringan yang akan…
Stephen Thompson3 months ago
Kisah Susy Lawan Osteoartritis Grade 4: Dari Gym ke Meja Operasi
Kesehatan

Kisah Susy Lawan Osteoartritis Grade 4: Dari Gym ke Meja Operasi

retconomynow.com – Rasa nyeri pada bagian persendian sering kali menjadi penghambat utama bagi seseorang untuk…
Stephen Thompson3 months ago
Waspada! Gejala Berat Super Flu Bisa Berbahaya Jika Muncul Keluhan Ini
Kesehatan

Waspada! Gejala Berat Super Flu Bisa Berbahaya Jika Muncul Keluhan Ini

retconomynow.com – Ancaman penyebaran virus influenza jenis baru kini sedang menjadi perhatian serius bagi otoritas…
Stephen Thompson3 months ago
Studi Terbaru: Golongan Darah Ini Lebih Berisiko Kena Stroke di Usia Muda
Kesehatan

Studi Terbaru: Golongan Darah Ini Lebih Berisiko Kena Stroke di Usia Muda

retconomynow.com – Penelitian medis terbaru memberikan peringatan penting bagi generasi muda mengenai kondisi kesehatan jantung…
Stephen Thompson3 months ago
Antisipasi Super Flu: Pemeriksaan Dini Mulai Dilakukan di Puskesmas Bandung
Kesehatan

Antisipasi Super Flu: Pemeriksaan Dini Mulai Dilakukan di Puskesmas Bandung

retconomynow.com – Dinas Kesehatan Kota Bandung kini meningkatkan kewaspadaan terhadap ancaman virus baru yang sangat…
Stephen Thompson3 months ago
Kenapa Bakar-bakaran Tak Sehat? Ini Bahaya Makanan Bakar Bagi Tubuh
Kesehatan

Kenapa Bakar-bakaran Tak Sehat? Ini Bahaya Makanan Bakar Bagi Tubuh

retconomynow.com – Menu hidangan yang diolah dengan cara dibakar memang selalu menjadi favorit banyak orang…
Stephen Thompson3 months ago
Trump Buka-bukaan: Malas Olahraga Karena Bosan, Bagaimana Gaya Hidup Sehatnya?
Kesehatan

Trump Buka-bukaan: Malas Olahraga Karena Bosan, Bagaimana Gaya Hidup Sehatnya?

retconomynow.com – Menjaga kondisi fisik agar tetap prima merupakan tantangan yang sangat besar bagi setiap…
Stephen Thompson3 months ago
Kaki Nyeri? Ini 5 Cara Sederhana Mengatasi Nyeri Asam Urat di Rumah
Kesehatan

Kaki Nyeri? Ini 5 Cara Sederhana Mengatasi Nyeri Asam Urat di Rumah

retconomynow.com – Rasa nyeri yang menyerang persendian secara mendadak tentu sangat mengganggu aktivitas harian bagi…
Stephen Thompson3 months ago
Waspada Sindrom Brugada: Gangguan Jantung yang Menyerang Saat Tidur
Kesehatan

Waspada Sindrom Brugada: Gangguan Jantung yang Menyerang Saat Tidur

retconomynow.com – Masyarakat kini perlu meningkatkan kewaspadaan terhadap gangguan kesehatan yang bisa berakibat fatal secara…
Stephen Thompson3 months ago
Berapa Lama Pria Kuat? Ini Rata-rata Durasi Hubungan Intim Menurut Riset
Kesehatan

Berapa Lama Pria Kuat? Ini Rata-rata Durasi Hubungan Intim Menurut Riset

retconomynow.com – Banyak pasangan sering kali merasa penasaran mengenai standar waktu yang normal saat melakukan…
Stephen Thompson3 months ago
Rahasia Nenek Bugar: Cara Miliki Perut Sixpack di Usia 55 Tahun
Kesehatan

Rahasia Nenek Bugar: Cara Miliki Perut Sixpack di Usia 55 Tahun

retconomynow.com – Sebuah fenomena luar biasa baru saja menghebohkan jagat media sosial melalui potret seorang…
Stephen Thompson3 months ago
Pakar Ungkap Durasi Tidur dan Olahraga Terbaik Agar Panjang Umur
Kesehatan

Pakar Ungkap Durasi Tidur dan Olahraga Terbaik Agar Panjang Umur

retconomynow.com – Menjaga kesehatan tubuh memerlukan keseimbangan yang tepat antara waktu istirahat dan aktivitas fisik…
Stephen Thompson3 months ago
Cuaca Tak Menentu: Coba Ramuan Herbal untuk Flu dan Imun Tubuh
Kesehatan

Cuaca Tak Menentu: Coba Ramuan Herbal untuk Flu dan Imun Tubuh

retconomynow.com – Kondisi cuaca yang tidak menentu belakangan ini mulai mengancam kesehatan masyarakat di berbagai…
Stephen Thompson3 months ago
Kisah Pemuda 23 Tahun Harus Rutin Cuci Darah Akibat Gagal Ginjal
Kesehatan

Kisah Pemuda 23 Tahun Harus Rutin Cuci Darah Akibat Gagal Ginjal

retconomynow.com – Sebuah kisah pilu sekaligus inspiratif datang dari seorang pemuda yang harus menghadapi kenyataan…
Stephen Thompson3 months ago
Tren Operasi Plastik di AS: Gunakan Lemak Mayat untuk Filler
Kesehatan

Tren Operasi Plastik di AS: Gunakan Lemak Mayat untuk Filler

retconomynow.com – Dunia estetika medis di Amerika Serikat kini sedang gempar dengan munculnya sebuah prosedur…
Stephen Thompson3 months ago
Menakar Bahaya Influenza Subclade K: Mengapa Disebut Super Flu?
Kesehatan

Menakar Bahaya Influenza Subclade K: Mengapa Disebut Super Flu?

retconomynow.com – Istilah “Super Flu” kini sedang menjadi perbincangan hangat di tengah masyarakat karena kemunculan…
Stephen Thompson3 months ago
Mulai Aja Dulu: Cara Memulai Olahraga Rutin dari Tren Ikut-ikutan
Kesehatan

Mulai Aja Dulu: Cara Memulai Olahraga Rutin dari Tren Ikut-ikutan

retconomynow.com – Fenomena FOMO atau rasa takut ketinggalan tren kini merambah ke dunia kesehatan dan…
Stephen Thompson3 months ago
Bahaya Virus Super Flu vs COVID-19: Simak Penjelasan Menkes
Kesehatan

Bahaya Virus Super Flu vs COVID-19: Simak Penjelasan Menkes

retconomynow.com – Menteri Kesehatan Republik Indonesia baru saja memberikan pernyataan resmi guna menanggapi kekhawatiran masyarakat…
Stephen Thompson3 months ago
5 Minuman Sehat yang Membantu Membakar Lemak di Perut Secara Alami
Kesehatan

5 Minuman Sehat yang Membantu Membakar Lemak di Perut Secara Alami

retconomynow.com – Memiliki perut yang rata dan sehat merupakan dambaan bagi banyak orang dalam memulai…
Stephen Thompson3 months ago
Kebiasaan Makan Siang Ini Bisa Menurunkan Risiko Hipertensi
Kesehatan

Kebiasaan Makan Siang Ini Bisa Menurunkan Risiko Hipertensi

retconomynow.com – Sebuah studi kesehatan terbaru memberikan kabar baik bagi masyarakat yang ingin menjaga tekanan…
Stephen Thompson3 months ago
Virus Super Flu Masuk RI: Apakah Vaksin Masih Mempan?
Kesehatan

Virus Super Flu Masuk RI: Apakah Vaksin Masih Mempan?

retconomynow.com – Kementerian Kesehatan baru saja mengonfirmasi masuknya laporan kasus perdana varian pernapasan baru ke…
Stephen Thompson3 months ago
Tips Meluangkan Waktu Olahraga Bagi Orang Sibuk Menurut Dokter
Kesehatan

Tips Meluangkan Waktu Olahraga Bagi Orang Sibuk Menurut Dokter

retconomynow.com – Banyak pekerja kantoran mengeluh karena sulit menemukan jadwal yang pas untuk menjaga kebugaran…
Stephen Thompson3 months ago
Mengenal Diet Switch On: Tren Korea Pangkas Lemak dalam 3 Minggu
Kesehatan

Mengenal Diet Switch On: Tren Korea Pangkas Lemak dalam 3 Minggu

retconomynow.com – Dunia kesehatan dan kecantikan kembali menyoroti tren terbaru yang berasal dari negeri ginseng,…
Stephen Thompson3 months ago
Teka-Teki Asah Otak: Penangkal Jenuh di Hari Kejepit 2026
Kesehatan

Teka-Teki Asah Otak: Penangkal Jenuh di Hari Kejepit 2026

retconomynow.com – Momen hari kejepit seringkali membuat produktivitas kerja menurun karena rasa jenuh yang melanda…
Stephen Thompson3 months ago
Tips Membatasi Konsumsi Gula di 2026 Menurut Dokter Gizi
Kesehatan

Tips Membatasi Konsumsi Gula di 2026 Menurut Dokter Gizi

retconomynow.com – Memasuki tahun baru 2026, banyak orang mulai menyusun resolusi untuk memperbaiki kualitas kesehatan…
Stephen Thompson3 months ago
Bahaya Jebakan Gula: Cara Membaca Label Produk Minuman
Kesehatan

Bahaya Jebakan Gula: Cara Membaca Label Produk Minuman

retconomynow.com – Masyarakat harus lebih waspada terhadap berbagai produk minuman kemasan yang sekilas terlihat menyehatkan…
Stephen Thompson3 months ago
BGN Sentil Minuman Rasa Susu Impor China di Menu MBG
Kesehatan

BGN Sentil Minuman Rasa Susu Impor China di Menu MBG

retconomynow.com – Badan Gizi Nasional (BGN) memberikan respons tegas terhadap unggahan viral mengenai komposisi paket…
Stephen Thompson3 months ago
Temuan Kasus Super Flu di Indonesia: Waspada 3 Wilayah Ini
Kesehatan

Temuan Kasus Super Flu di Indonesia: Waspada 3 Wilayah Ini

retconomynow.com – Pemerintah melalui otoritas kesehatan nasional baru saja merilis data terbaru mengenai persebaran penyakit…
Stephen Thompson3 months ago
Tren Makanan Sehat 2026: Masihkah Kukusan dan Rebusan Populer?
Kesehatan

Tren Makanan Sehat 2026: Masihkah Kukusan dan Rebusan Populer?

retconomynow.com – Dunia kuliner dan kesehatan terus mengalami perubahan seiring dengan kesadaran masyarakat yang semakin…
Stephen Thompson3 months ago
5 Makanan Untuk Kesehatan Ginjal: Bantu Detoks Racun
Kesehatan

5 Makanan Untuk Kesehatan Ginjal: Bantu Detoks Racun

retconomynow.com – Menjaga fungsi organ penyaring darah merupakan langkah krusial untuk mencegah penumpukan limbah berbahaya…
Stephen Thompson3 months ago
Pelanggar HET Minyak Goreng: Mentan Sanksi Dua Produsen Besar
Ekonomi

Pelanggar HET Minyak Goreng: Mentan Sanksi Dua Produsen Besar

retconomynow.com – 22 Desember 2025 — Menteri Pertanian (Mentan) mengambil langkah hukum yang sangat tegas…
Stephen Thompson3 months ago
Bank Syariah Nasional Beroperasi: Era Baru Perbankan Syariah Indonesia
Ekonomi

Bank Syariah Nasional Beroperasi: Era Baru Perbankan Syariah Indonesia

retconomynow.com – 22 Desember 2025 — Industri perbankan syariah di tanah air hari ini mencatat…
Stephen Thompson3 months ago
Ketahanan Siber Perbankan Daerah: OJK Perketat Pengawasan Seluruh BPD
Ekonomi

Ketahanan Siber Perbankan Daerah: OJK Perketat Pengawasan Seluruh BPD

retconomynow.com – 21 Desember 2025 — Otoritas Jasa Keuangan (OJK) mengambil langkah tegas menyusul insiden…
Stephen Thompson3 months ago
Jenis Tabungan Tidak Dormant: Solusi Agar Rekening Tetap Aktif
Ekonomi

Jenis Tabungan Tidak Dormant: Solusi Agar Rekening Tetap Aktif

retconomynow.com – 21 Desember 2025 — Banyak nasabah perbankan sering kali merasa terkejut saat mendapati…
Stephen Thompson3 months ago
Konflik Perbatasan Kamboja Thailand: Upaya Diplomasi China di Tengah Ketegangan
Berita Nasional

Konflik Perbatasan Kamboja Thailand: Upaya Diplomasi China di Tengah Ketegangan

Retconomynow.com – 20 Desember 2025 — Ketegangan antara Kamboja dan Thailand di wilayah perbatasan laut…
Stephen Thompson3 months ago
Izin Polisi Jabat Instansi Luar: Pemerintah Siapkan Aturan Baru
Berita Nasional

Izin Polisi Jabat Instansi Luar: Pemerintah Siapkan Aturan Baru

Retconomynow.com – 20 Desember 2025 — Pemerintah Indonesia tengah mematangkan draf Peraturan Pemerintah (PP) terbaru…
Stephen Thompson3 months ago
Fase Kedua Gencatan Senjata: Langkah Diplomatik AS Gandeng Qatar-Turki
Berita Internasional

Fase Kedua Gencatan Senjata: Langkah Diplomatik AS Gandeng Qatar-Turki

Retconomynow.com – 19 Desember 2025 – Amerika Serikat (AS) kini mengambil langkah diplomasi proaktif dengan…
Stephen Thompson4 months ago
Operasi Lilin Pengamanan Nataru: Polri Gelar Apel Pasukan di Monas
Berita Nasional

Operasi Lilin Pengamanan Nataru: Polri Gelar Apel Pasukan di Monas

Retconomynow.com – 19 Desember 2025 – Kepolisian Negara Republik Indonesia (Polri) melaksanakan apel gelar pasukan…
Stephen Thompson4 months ago
AS Selidiki Pelanggaran Gencatan Senjata: Pembunuhan Pejabat Senior Hamas
Berita Internasional

AS Selidiki Pelanggaran Gencatan Senjata: Pembunuhan Pejabat Senior Hamas

Retconomynow.com – 16 Desember 2025 – Amerika Serikat (AS) kini tengah memeriksa apakah Israel melanggar…
Stephen Thompson4 months ago
Promo FOMO Bank Mandiri: Diskon Akhir Tahun Hingga Rp2,5 Juta
Ekonomi

Promo FOMO Bank Mandiri: Diskon Akhir Tahun Hingga Rp2,5 Juta

Retconomynow.com – 14 Desember 2025 – Jelang Natal 2025 dan Tahun Baru 2026 (Nataru), Bank…
Stephen Thompson4 months ago
Trump Balas Dendam Suriah: Janji Aksi Serius Setelah Tentara Tewas
Berita Internasional

Trump Balas Dendam Suriah: Janji Aksi Serius Setelah Tentara Tewas

Retconomynow.com – 14 Desember 2025 – Ketegangan di Timur Tengah meningkat setelah Presiden Donald Trump…
Stephen Thompson4 months ago
Masinton Tapteng: Listrik dan Internet Terbatas, Instalasi Air Bersih Rusak Total
Berita Nasional

Masinton Tapteng: Listrik dan Internet Terbatas, Instalasi Air Bersih Rusak Total

Retconomynow.com – 14 Desember 2025 – Bupati Tapanuli Tengah (Tapteng) Masinton Pasaribu menyampaikan kondisi wilayahnya…
Stephen Thompson4 months ago
Rusia Rusak Kapal Turki: Serangan di Pelabuhan Ukraina Mengancam Logistik Pangan
Berita Internasional

Rusia Rusak Kapal Turki: Serangan di Pelabuhan Ukraina Mengancam Logistik Pangan

Retconomynow.com – 13 Desember 2025 – Pasukan Rusia dilaporkan telah menyerang dua pelabuhan Ukraina. Serangan…
Stephen Thompson4 months ago
Thailand Tolak Gencatan Senjata Trump, Terus Serang Kamboja dengan F-16
Berita Internasional

Thailand Tolak Gencatan Senjata Trump, Terus Serang Kamboja dengan F-16

Retconomynow.com – 13 Desember 2025 – Konflik perbatasan antara Thailand dan Kamboja semakin memanas. Perdana…
Stephen Thompson4 months ago
Prabowo ke Pengungsi Langkat: “Kalian Keluarga Kami”, Presiden Pastikan Bantuan
Berita Nasional

Prabowo ke Pengungsi Langkat: “Kalian Keluarga Kami”, Presiden Pastikan Bantuan

Retconomynow.com – 13 Desember 2025 – Presiden Prabowo Subianto menegaskan komitmen penuh pemerintah untuk selalu…
Stephen Thompson4 months ago
Prabowo Listrik Bencana: Penanganan Jaringan Listrik di Sumatera Terkendala
Berita Nasional

Prabowo Listrik Bencana: Penanganan Jaringan Listrik di Sumatera Terkendala

Retconomynow.com – 13 Desember 2025 – Presiden Prabowo Subianto menyampaikan masalah penanganan penyaluran listrik ke…
Stephen Thompson4 months ago
Thailand Bombardir Kasino Kamboja: Serangan Udara Target Markas Scam
Berita Internasional

Thailand Bombardir Kasino Kamboja: Serangan Udara Target Markas Scam

Retconomynow.com – 12 Desember 2025 – Konflik bersenjata antara Thailand dan Kamboja di perbatasan mengambil…
Stephen Thompson4 months ago
BGN Dampingi Pemulihan Psikologis Korban Tabrakan Mobil MBG di SD Cilincing
Berita Nasional

BGN Dampingi Pemulihan Psikologis Korban Tabrakan Mobil MBG di SD Cilincing

Retconomynow.com – 12 Desember 2025 – Badan Gizi Nasional (BGN) memastikan mereka akan memberikan pendampingan…
Stephen Thompson4 months ago
Perang Thailand Kamboja Korban: Korban Sipil Terus Meningkat di Hari Keempat
Berita Internasional

Perang Thailand Kamboja Korban: Korban Sipil Terus Meningkat di Hari Keempat

Retconomynow.com – 11 Desember 2025 – Pertempuran yang kembali memanas antara Thailand dan Kamboja telah…
Stephen Thompson4 months ago
KPK Tahan Bupati Ardito: Suap Proyek Infrastruktur Lampung Tengah
Berita Nasional

KPK Tahan Bupati Ardito: Suap Proyek Infrastruktur Lampung Tengah

Retconomynow.com – 11 Desember 2025 – Komisi Pemberantasan Korupsi (KPK) mengambil langkah cepat dengan menahan…
Stephen Thompson4 months ago
Ruang Publik Damai Natal: Kunci Keharmonisan Kota Menjelang Akhir Tahun
Berita Nasional

Ruang Publik Damai Natal: Kunci Keharmonisan Kota Menjelang Akhir Tahun

Retconomynow.com – 10 Desember 2025 – Lampu berwarna-warni mulai menghiasi pohon-pohon kota sejak awal Desember.…
Stephen Thompson4 months ago
Prabowo Putin Kemitraan Rusia: Memperkuat Hubungan Strategis Dua Negara
Berita Nasional

Prabowo Putin Kemitraan Rusia: Memperkuat Hubungan Strategis Dua Negara

Retconomynow.com – 10 Desember 2025 – Agenda diplomatik Presiden RI Prabowo Subianto terus berlanjut. Hari…
Stephen Thompson4 months ago
Thailand Bombardir Kamboja Roket: Intelijen Ungkap Target Sipil
Berita Internasional

Thailand Bombardir Kamboja Roket: Intelijen Ungkap Target Sipil

Retconomynow.com – 9 Desember 2025 – Ketegangan di perbatasan Thailand dan Kamboja meningkat tajam setelah…
Stephen Thompson4 months ago
Bupati Aceh Selatan Desersi: Prabowo Minta Mendagri Proses
Berita Nasional

Bupati Aceh Selatan Desersi: Prabowo Minta Mendagri Proses

Retconomynow.com – 9 Desember 2025 – Dunia politik nasional sedang menyoroti isu serius terkait kesiapsiagaan…
Stephen Thompson4 months ago
Kapal Induk China Jepang: Tokyo Kerahkan Jet Tempur Merespons Ancaman Armada Beijing di Pasifik Barat
Berita Internasional

Kapal Induk China Jepang: Tokyo Kerahkan Jet Tempur Merespons Ancaman Armada Beijing di Pasifik Barat

Retconomynow.com – Jakarta, 7 Desember 2025 — Kapal Induk China Jepang kini menjadi fokus utama…
Stephen Thompson4 months ago
TNI Kerahkan Alutsista Banjir: Mobilisasi 30.864 Prajurit dan 70 Alutsista Tangani Dampak Bencana Sumatra
Berita Nasional

TNI Kerahkan Alutsista Banjir: Mobilisasi 30.864 Prajurit dan 70 Alutsista Tangani Dampak Bencana Sumatra

Retconomynow.com – Jakarta, 7 Desember 2025 — Komitmen Tentara Nasional Indonesia (TNI) dalam penanggulangan bencana…
Stephen Thompson4 months ago
Distribusi BBM Pertamina Aceh: 105 KL Dikirim, Imbau Warga Beli Sesuai Kebutuhan
Ekonomi

Distribusi BBM Pertamina Aceh: 105 KL Dikirim, Imbau Warga Beli Sesuai Kebutuhan

Retconomynow.com – Jakarta, 6 Desember 2025 — Distribusi BBM Pertamina Aceh menjadi sangat penting pascabencana…
Stephen Thompson4 months ago
Militer China Siap Perang Lawan AS: Enam Bukti Kesiapan di Tengah Ketegangan Taiwan
Berita Internasional

Militer China Siap Perang Lawan AS: Enam Bukti Kesiapan di Tengah Ketegangan Taiwan

Retconomynow.com – Jakarta, 6 Desember 2025 — Gejolak geopolitik, terutama di sekitar Selat Taiwan dan…
Stephen Thompson4 months ago
Bantuan Internasional Sri Lanka: Mengerahkan Dukungan Global Atasi Bencana Banjir dan Tanah Longsor
Berita Internasional

Bantuan Internasional Sri Lanka: Mengerahkan Dukungan Global Atasi Bencana Banjir dan Tanah Longsor

Retconomynow.com – Kolombo, 4 Desember 2025 — Sri Lanka menghadapi krisis kemanusiaan setelah negara tersebut…
Stephen Thompson4 months ago
Warga Korsel Ditahan Korut: Dituduh Mata-mata, Enam Individu Terancam Hukuman Mati
Berita Internasional

Warga Korsel Ditahan Korut: Dituduh Mata-mata, Enam Individu Terancam Hukuman Mati

Retconomynow.com – Jakarta, 4 Desember 2025 — Ketegangan di Semenanjung Korea kembali memanas. Laporan terbaru…
Stephen Thompson4 months ago
Perang Rusia dan NATO: 4 Bukti Sinyal Konflik Menguat, Eropa Bersiap untuk Tahun 2029
Berita Internasional

Perang Rusia dan NATO: 4 Bukti Sinyal Konflik Menguat, Eropa Bersiap untuk Tahun 2029

Retconomynow.com – Jakarta, 3 Desember 2025 — Ancaman konflik skala besar di Eropa kembali mencuat.…
Stephen Thompson4 months ago
Akses Aceh Tamiang Pulih: Seskab Perintahkan Percepatan Distribusi Logistik
Berita Nasional

Akses Aceh Tamiang Pulih: Seskab Perintahkan Percepatan Distribusi Logistik

Retconomynow.com – Jakarta, 3 Desember 2025 — Kabar baik dan optimisme muncul dari penanganan bencana…
Stephen Thompson4 months ago
Kayu Gelondongan Banjir Sumatra: Ketua MPR Duga Penebangan Liar
Berita Nasional

Kayu Gelondongan Banjir Sumatra: Ketua MPR Duga Penebangan Liar

Retconomynow.com – Jakarta, 2 Desember 2025 — Bencana banjir besar yang melanda sejumlah wilayah di…
Stephen Thompson4 months ago
Kecurangan Kasino Australia: Pasutri Ditangkap Usai Menang Rp13 Miliar dengan Kamera Tersembunyi
Berita Internasional

Kecurangan Kasino Australia: Pasutri Ditangkap Usai Menang Rp13 Miliar dengan Kamera Tersembunyi

Retconomynow.com – Sydney, 2 Desember 2025 — Sebuah kasus kejahatan terorganisir yang melibatkan teknologi canggih…
Stephen Thompson4 months ago
Korupsi Satelit Kemhan: Tersangka Purnawirawan Klaim Jalankan Perintah Atasan
Berita Nasional

Korupsi Satelit Kemhan: Tersangka Purnawirawan Klaim Jalankan Perintah Atasan

Retconomynow.com – Jakarta Selatan, 1 Desember 2025 — Kasus dugaan Korupsi Satelit Kemhan slot orbit…
Stephen Thompson4 months ago
KUHAP Baru Gen Z: Analisis Was-Was Aturan Digital dan Risiko Rule of Law
Berita Nasional

KUHAP Baru Gen Z: Analisis Was-Was Aturan Digital dan Risiko Rule of Law

Retconomynow.com – Jakarta, 1 Desember 2025 — Pengesahan KUHAP baru di penghujung tahun memicu gelombang…
Stephen Thompson4 months ago
Korban Bencana Sumatera: Total 442 Orang Meninggal, Sumatera Utara Terparah
Berita Nasional

Korban Bencana Sumatera: Total 442 Orang Meninggal, Sumatera Utara Terparah

Retconomynow.com – Jakarta, 30 November 2025 — Korban Bencana Sumatera, Bencana banjir dan tanah longsor…
Stephen Thompson4 months ago
Bantuan Logistik Banjir Aceh: BNPB Kerahkan Helikopter dan Pesawat Akibat Akses Darat Terputus Total
Berita Nasional

Bantuan Logistik Banjir Aceh: BNPB Kerahkan Helikopter dan Pesawat Akibat Akses Darat Terputus Total

Retconomynow.com – Jakarta, 29 November 2025 — Bantuan Logistik Banjir Aceh menjadi prioritas utama penanganan…
Stephen Thompson4 months ago
Banjir Meluas di Aceh: 20 Ribu Jiwa Mengungsi, Pemerintah Tetapkan Status Tanggap Darurat
Berita Nasional

Banjir Meluas di Aceh: 20 Ribu Jiwa Mengungsi, Pemerintah Tetapkan Status Tanggap Darurat

Retconomynow.com – Banda Aceh, 27 November 2025 — Bencana hidrometeorologi melanda hampir seluruh wilayah Aceh.…
Stephen Thompson4 months ago
Kebakaran Hong Kong: Bencana Gedung Tinggi Tewaskan 55, Petugas Pemadam Diutus
Berita Internasional

Kebakaran Hong Kong: Bencana Gedung Tinggi Tewaskan 55, Petugas Pemadam Diutus

Retconomynow.com – Hong Kong, 27 November 2025 — Bencana tragis melanda distrik Tai Po, Hong…
Stephen Thompson4 months ago
Banjir Thailand Selatan: Curah Hujan Historis Tewaskan 13 Orang dan Mengungsikan Jutaan
Berita Internasional

Banjir Thailand Selatan: Curah Hujan Historis Tewaskan 13 Orang dan Mengungsikan Jutaan

Retconomynow.com – Bangkok, 26 November 2025 — Thailand Selatan dilanda bencana alam besar. Hujan deras…
Stephen Thompson4 months ago
Dialog Trump dan Maduro: Tawaran Mengejutkan AS Setelah Cap Kartel Venezuela Teroris
Berita Internasional

Dialog Trump dan Maduro: Tawaran Mengejutkan AS Setelah Cap Kartel Venezuela Teroris

Retconomynow.com – Jakarta, 26 November 2025 — Presiden Amerika Serikat (AS) Donald Trump secara mengejutkan…
Stephen Thompson4 months ago
Kuntadi Kepala BPA Kejagung: Jaksa Kasus Kakap Korupsi Timah Pimpin Asset Recovery
Berita Nasional

Kuntadi Kepala BPA Kejagung: Jaksa Kasus Kakap Korupsi Timah Pimpin Asset Recovery

Retconomynow.com – Jakarta, 26 November 2025 — Presiden Prabowo Subianto telah menunjuk Kepala Kejaksaan Tinggi…
Stephen Thompson4 months ago
Kasus Narkoba Tol Lampung: Tersangka Bertambah, Pengendali Diburu
Berita Nasional

Kasus Narkoba Tol Lampung: Tersangka Bertambah, Pengendali Diburu

Retconomynow.com – Jakarta, 25 November 2025 — Kasus Narkoba Tol Lampung yang berawal dari insiden…
Stephen Thompson4 months ago
Eskalasi Militer AS Venezuela: Brasil Khawatir Perang Pecah di Lepas Pantai
Berita Internasional

Eskalasi Militer AS Venezuela: Brasil Khawatir Perang Pecah di Lepas Pantai

Retconomynow.com – Brasilia, 25 November 2025 — Presiden Brasil Luiz Inácio Lula da Silva secara…
Stephen Thompson4 months ago
Korupsi Pajak Kejagung: Geledah 8 Titik, Sita Mobil Alphard dan Motor Gede
Berita Nasional

Korupsi Pajak Kejagung: Geledah 8 Titik, Sita Mobil Alphard dan Motor Gede

Retconomynow.com – Jakarta, 25 November 2025 — Kejaksaan Agung (Kejagung) Republik Indonesia memperluas operasi penggeledahan…
Stephen Thompson4 months ago
Militer Terkuat di Eropa: Ambisi Jerman Menghadapi Sinyal Perang Dunia III
Berita Internasional

Militer Terkuat di Eropa: Ambisi Jerman Menghadapi Sinyal Perang Dunia III

Retconomynow.com – Berlin, 23 November 2025 — Kanselir Jerman Friedrich Merz telah menetapkan tujuan ambisius…
Stephen Thompson4 months ago
Jokowi Muda dari PSI: Harapan Partai Solidaritas Indonesia Menciptakan Pemimpin Non-Darah Biru
Berita Nasional

Jokowi Muda dari PSI: Harapan Partai Solidaritas Indonesia Menciptakan Pemimpin Non-Darah Biru

Retconomynow.com – Batam, 23 November 2025 — Ketua Harian Partai Solidaritas Indonesia (PSI), Ahmad Ali,…
Stephen Thompson4 months ago
Kerugian Negara Korupsi ASDP: KPK Tegaskan Nilai Rp 1,25 T
Berita Nasional

Kerugian Negara Korupsi ASDP: KPK Tegaskan Nilai Rp 1,25 T

Retconomynow.com – Jakarta, 23 November 2025 — Komisi Pemberantasan Korupsi (KPK) secara tegas mengonfirmasi adanya…
Stephen Thompson4 months ago
Mantan Presiden Korsel Didakwa: Kasus Penutupan Kematian Marinir Chae Su-geun Mencuat
Berita Internasional

Mantan Presiden Korsel Didakwa: Kasus Penutupan Kematian Marinir Chae Su-geun Mencuat

Retconomynow.com – Jakarta, 22 November 2025 — Mantan Presiden Korsel Didakwa secara resmi oleh jaksa…
Stephen Thompson4 months ago
Gibran Pamerkan QRIS di G20: Solusi Inklusi Keuangan Global
Berita Nasional

Gibran Pamerkan QRIS di G20: Solusi Inklusi Keuangan Global

Retconomynow.com – Johannesburg, 22 November 2025 — Wakil Presiden (Wapres) RI Gibran Rakabuming Raka menggunakan…
Stephen Thompson4 months ago
Rencana Militer Schengen: Strategi Uni Eropa Mempercepat Mobilitas Pasukan Hadapi Ancaman Rusia
Berita Internasional

Rencana Militer Schengen: Strategi Uni Eropa Mempercepat Mobilitas Pasukan Hadapi Ancaman Rusia

Retconomynow.com – Brussel, 21 November 2025 — Komisi Uni Eropa (UE) secara resmi meluncurkan inisiatif…
Stephen Thompson4 months ago
Militer China vs Jepang: Pemicu Ketegangan di Selat Taiwan
Berita Internasional

Militer China vs Jepang: Pemicu Ketegangan di Selat Taiwan

Retconomynow.com – Jakarta, 20 November 2025 — Hubungan diplomatik antara Beijing dan Tokyo kembali memanas,…
Stephen Thompson4 months ago
Vonis Eks Dirut ASDP: Ira Puspadewi Dihukum 4,5 Tahun Penjara
Berita Nasional

Vonis Eks Dirut ASDP: Ira Puspadewi Dihukum 4,5 Tahun Penjara

Retconomynow.com – Jakarta, 20 November 2025 — Vonis Eks Dirut ASDP Ferry, Ira Puspadewi, telah…
Stephen Thompson4 months ago
Erupsi Gunung Semeru: Ketua DPR Minta Jalur Pendakian Ditutup
Berita Nasional

Erupsi Gunung Semeru: Ketua DPR Minta Jalur Pendakian Ditutup

Retconomynow.com – Jakarta, 20 November 2025 — Erupsi Gunung Semeru di Lumajang, Jawa Timur, terus…
Stephen Thompson4 months ago
Huawei Mate 80 Series Siap Rilis 25 November: Desain Premium dan Spesifikasi Bocoran
Teknologi

Huawei Mate 80 Series Siap Rilis 25 November: Desain Premium dan Spesifikasi Bocoran

Retconomynow.com – Shenzhen, 19 November 2025 — Pasar smartphone flagship global bersiap menyambut kehadiran penantang…
Stephen Thompson5 months ago
Revisi KUHAP Baru Resmi Disahkan DPR: Pilar Reformasi Hukum Nasional
Berita Nasional

Revisi KUHAP Baru Resmi Disahkan DPR: Pilar Reformasi Hukum Nasional

Jakarta, 19 November 2025 — Dewan Perwakilan Rakyat (DPR) secara resmi mengesahkan amandemen mendasar terhadap…
Stephen Thompson5 months ago
Trump Izinkan CIA Siapkan Operasi Rahasia di Venezuela
Berita Internasional

Trump Izinkan CIA Siapkan Operasi Rahasia di Venezuela

Retconomynow.com – 19 November 2025 – Presiden Amerika Serikat (AS) Donald Trump kembali menaikkan tensi…
Stephen Thompson5 months ago
Tolak Resolusi AS, Hamas Sebut Pasukan Internasional di Gaza Adalah Bentuk Perwalian Asing
Berita Internasional

Tolak Resolusi AS, Hamas Sebut Pasukan Internasional di Gaza Adalah Bentuk Perwalian Asing

Retconomynow.com – 18 November 2025 – Kelompok milisi Palestina, Hamas, secara resmi menolak resolusi Dewan…
Stephen Thompson5 months ago
Trump ‘OK’ Serang Meksiko, Buka Opsi Bicara dengan Maduro di Tengah Ketegangan Karibia
Berita Internasional

Trump ‘OK’ Serang Meksiko, Buka Opsi Bicara dengan Maduro di Tengah Ketegangan Karibia

Retconomynow.com – 18 November 2025 – Presiden Amerika Serikat Donald Trump mengeluarkan pernyataan mengejutkan pada…
Stephen Thompson5 months ago
Alarm Densus 88: 110 Anak di 23 Provinsi Terekrut Terorisme Lewat Medsos
Berita Nasional

Alarm Densus 88: 110 Anak di 23 Provinsi Terekrut Terorisme Lewat Medsos

Retconomynow.com – 18 November 2025 – Detasemen Khusus (Densus) 88 Antiteror Polri mengungkap temuan yang…
Stephen Thompson5 months ago
Demo Gen Z Meksiko Berujung Rusuh: 100 Polisi Terluka, Istana Presiden Diserbu
Berita Internasional

Demo Gen Z Meksiko Berujung Rusuh: 100 Polisi Terluka, Istana Presiden Diserbu

Retconomynow.com – 17 November 2025 – Aksi protes besar yang diorganisir oleh kelompok “Generasi Z…
Stephen Thompson5 months ago
Protes Massal Guncang Manila: Gen Z dan Iglesia Ni Cristo Bersatu Lawan Skandal Korupsi Filipina
Berita Internasional

Protes Massal Guncang Manila: Gen Z dan Iglesia Ni Cristo Bersatu Lawan Skandal Korupsi Filipina

Retconomynow.com – 17 November 2025 – Puluhan ribu orang berkumpul di ibu kota Filipina, Manila,…
Stephen Thompson5 months ago
Vonis Mati Sheikh Hasina: Dhaka Sebut Putusan Bersejarah, Hasina Sebut Lelucon Politik
Berita Internasional

Vonis Mati Sheikh Hasina: Dhaka Sebut Putusan Bersejarah, Hasina Sebut Lelucon Politik

Retconomynow.com – 17 November 2025 – Sebuah pengadilan khusus di Bangladesh menjatuhkan hukuman mati kepada…
Stephen Thompson5 months ago
Koalisi Sipil Somasi DPR dan Pemerintah, Tuntut Pembatalan Pengesahan RUU KUHAP
Berita Nasional

Koalisi Sipil Somasi DPR dan Pemerintah, Tuntut Pembatalan Pengesahan RUU KUHAP

Retconomynow.com – 16 November 2025 – Koalisi Masyarakat Sipil untuk Pembaharuan KUHAP (Kitab Undang-undang Hukum…
Stephen Thompson5 months ago
Hakim MK Arsul Sani Hadapi Dugaan Ijazah Palsu, Bareskrim Tunda Terima Laporan
Berita Nasional

Hakim MK Arsul Sani Hadapi Dugaan Ijazah Palsu, Bareskrim Tunda Terima Laporan

Retconomynow.com – 16 November 2025 – Aliansi Masyarakat Pemerhati Konstitusi mendatangi Bareskrim Polri pada Jumat…
Stephen Thompson5 months ago
Jokowi Janji ‘Tempur’ Penuh untuk PSI, Kesaktian ‘Jokowi Effect 2029’ Dipertanyakan
Berita Nasional

Jokowi Janji ‘Tempur’ Penuh untuk PSI, Kesaktian ‘Jokowi Effect 2029’ Dipertanyakan

Retconomynow.com – 16 November 2025 – Mantan Presiden Jokowi secara terbuka berjanji akan turun langsung…
Stephen Thompson5 months ago
KAI Investigasi Insiden Viral Sambungan Gerbong KA Majapahit
Ekonomi

KAI Investigasi Insiden Viral Sambungan Gerbong KA Majapahit

Retconomynow.com – 15 November 2025 – PT Kereta Api Indonesia (KAI) Daerah Operasi 1 Jakarta…
Stephen Thompson5 months ago
Perang Kata Netanyahu vs Wali Kota New York: Respons PM Israel Atas Ancaman Penangkapan
Berita Internasional

Perang Kata Netanyahu vs Wali Kota New York: Respons PM Israel Atas Ancaman Penangkapan

Retconomynow.com – 15 November 2025 – Perdana Menteri Israel Benjamin Netanyahu menanggapi dengan keras ancaman…
Stephen Thompson5 months ago
TNI Siagakan 20.000 Personel Misi Perdamaian Gaza: Fokus Kompetensi OMSP dan Zeni
Berita Nasional

TNI Siagakan 20.000 Personel Misi Perdamaian Gaza: Fokus Kompetensi OMSP dan Zeni

Retconomynow.com – 15 November 2025 – Tentara Nasional Indonesia (TNI) memastikan kesiapannya untuk mengambil peran…
Stephen Thompson5 months ago
Perang Diplomatik di PBB: AS Paksa Maju Rencana Gaza, Rusia Sodorkan Teks Tandingan
Berita Internasional

Perang Diplomatik di PBB: AS Paksa Maju Rencana Gaza, Rusia Sodorkan Teks Tandingan

Retconomynow.com – 14 November 2025 – Perserikatan Bangsa-Bangsa (PBB) kini menjadi medan pertempuran diplomatik sengit…
Stephen Thompson5 months ago
Rp 7 Triliun Raib: Dirjen Komdigi Ungkap Rendahnya Peluang Uang Korban Scam Kembali
Berita Nasional

Rp 7 Triliun Raib: Dirjen Komdigi Ungkap Rendahnya Peluang Uang Korban Scam Kembali

Retconomynow.com – 14 November 2025 – Kementerian Komunikasi dan Digital (Kemkomdigi) membeberkan data kerugian finansial…
Stephen Thompson5 months ago
Kunjungan Kenegaraan Raja Yordania: Jet Tempur F-16 dan Meriam Sambut Sahabat Lama Prabowo
Berita Nasional

Kunjungan Kenegaraan Raja Yordania: Jet Tempur F-16 dan Meriam Sambut Sahabat Lama Prabowo

Retconomynow.com – 14 November 2025 – Presiden RI Prabowo Subianto menyambut kedatangan Raja Kerajaan Yordania…
Stephen Thompson5 months ago
Budi Arie Hadapi Resistensi Kader: Hormati Hak Partai, Bantah Cari Perlindungan
Berita Nasional

Budi Arie Hadapi Resistensi Kader: Hormati Hak Partai, Bantah Cari Perlindungan

Retconomynow.com – 13 November 2025 – Ketua Umum Projo, Budi Arie Setiadi, menghadapi resistensi dari…
Stephen Thompson5 months ago
Ironi KPI Terdakwa Riva Siahaan: Ditugasi Turunkan Harga, Didakwa Perkaya Asing
Berita Nasional

Ironi KPI Terdakwa Riva Siahaan: Ditugasi Turunkan Harga, Didakwa Perkaya Asing

Retconomynow.com – 13 November 2025 – Sebuah ironi tajam terungkap dalam Sidang Korupsi Riva Siahaan…
Stephen Thompson5 months ago
Putusan MK Setop Praktik Dwifungsi Polri: Perwira Aktif Wajib Mundur dari Jabatan Sipil
Berita Nasional

Putusan MK Setop Praktik Dwifungsi Polri: Perwira Aktif Wajib Mundur dari Jabatan Sipil

Retconomynow.com – 13 November 2025 – Mahkamah Konstitusi (MK) membuat sebuah putusan bersejarah yang fundamental…
Stephen Thompson5 months ago
Prabowo Dikunjungi Eks PM Australia Paul Keating di Sydney, Bahas Apa?
Berita Nasional

Prabowo Dikunjungi Eks PM Australia Paul Keating di Sydney, Bahas Apa?

Retconomynow.com – (SYDNEY, 12 November 2025) – Presiden Prabowo Subianto melakukan pertemuan penting dengan mantan…
Stephen Thompson5 months ago
Digugat Praperadilan, KPK Tegaskan Penyidikan Kasus Kuota Haji Terus Berjalan
Berita Nasional

Digugat Praperadilan, KPK Tegaskan Penyidikan Kasus Kuota Haji Terus Berjalan

Retconomynow.com – (JAKARTA, 12 November 2025) – Komisi Pemberantasan Korupsi (KPK) menghadapi uji formal atas…
Stephen Thompson5 months ago
Kala Dark Web Jadi Pelarian Korban Bullying: Alarm dari Kasus SMA 72
Berita Nasional

Kala Dark Web Jadi Pelarian Korban Bullying: Alarm dari Kasus SMA 72

Retconomynow.com – (JAKARTA, 12 November 2025) – Tingginya penetrasi internet di Indonesia telah membuka kotak…
Stephen Thompson5 months ago
Influencer Tolak Wacana Sertifikasi, Soroti Perbedaan Indonesia dan China
Berita Nasional

Influencer Tolak Wacana Sertifikasi, Soroti Perbedaan Indonesia dan China

Retconomynow.com – 11 November 2025 – Pemerintah, melalui Kementerian Komunikasi dan Digital (Komdigi), saat ini…
Stephen Thompson5 months ago
Wacana Batasi Gim Online Bakal Dibahas Lintas Kementerian
Berita Nasional

Wacana Batasi Gim Online Bakal Dibahas Lintas Kementerian

Retconomynow.com – 11 November 2025 – Buntut dari insiden ledakan tragis di SMA Negeri 72…
Stephen Thompson5 months ago
Kapal-Helikopter Basarnas Tak Terpelihara Optimal akibat Efisiensi Anggaran
Berita Nasional

Kapal-Helikopter Basarnas Tak Terpelihara Optimal akibat Efisiensi Anggaran

Retconomynow.com – (JAKARTA, 11 November 2025) – Kepala Badan Nasional Pencarian dan Pertolongan (Basarnas) Mohammad…
Stephen Thompson5 months ago
Prabowo Kenang Pertempuran Surabaya saat Momen Hari Pahlawan
Berita Nasional

Prabowo Kenang Pertempuran Surabaya saat Momen Hari Pahlawan

Retconomynow.com – 9 November 2025 – Suasana khidmat terasa menjelang tengah malam. Presiden Prabowo Subianto…
Stephen Thompson5 months ago
Menyoal Susunan Komisi Reformasi Polri: Paradoks Reformasi dari Dalam
Berita Nasional

Menyoal Susunan Komisi Reformasi Polri: Paradoks Reformasi dari Dalam

Retconomynow.com – 10 November 2025 – Presiden Prabowo Subianto baru saja mengesahkan pembentukan sepuluh tokoh…
Stephen Thompson5 months ago
Eks Bos NATO: Pengiriman Pasukan ke Ukraina Dihindari untuk Mencegah Perang Dunia III
Berita Internasional

Eks Bos NATO: Pengiriman Pasukan ke Ukraina Dihindari untuk Mencegah Perang Dunia III

Retconomynow.com – 10 November 2025 – Mantan Sekretaris Jenderal (Sekjen) NATO, Jens Stoltenberg, memberikan pernyataan…
Stephen Thompson5 months ago
Gempa M 6,7 Guncang Jepang, Peringatan Tsunami Dikeluarkan
Berita Internasional

Gempa M 6,7 Guncang Jepang, Peringatan Tsunami Dikeluarkan

Retconomynow.com – (9 November 2025) — Jepang segera mengeluarkan gempa Jepang peringatan tsunami pada Minggu…
Stephen Thompson5 months ago
Prabowo Kumpulkan Pejabat di Kertanegara, Ada Menhan hingga Ketua MPR
Berita Nasional

Prabowo Kumpulkan Pejabat di Kertanegara, Ada Menhan hingga Ketua MPR

Retconomynow.com – (9 November 2025) — Presiden Prabowo Subianto kembali menggelar pertemuan penting di luar…
Stephen Thompson5 months ago
KPK Dalami Praktek Jual Beli Jabatan di Pemkab Ponorogo
Berita Nasional

KPK Dalami Praktek Jual Beli Jabatan di Pemkab Ponorogo

Retconomynow.com – (9 November 2025) — Komisi Pemberantasan Korupsi (KPK) kini tengah mendalami praktik dugaan…
Stephen Thompson5 months ago
Iran Krisis Air Parah, Presiden Peringatkan Potensi Evakuasi Teheran
Berita Internasional

Iran Krisis Air Parah, Presiden Peringatkan Potensi Evakuasi Teheran

Retconomynow.com – (8 November 2025) — Iran kini menghadapi salah satu bencana lingkungan terparah dalam…
Stephen Thompson5 months ago
KPK Sita Sejumlah Uang dari OTT Bupati Ponorogo Sugiri Sancoko
Berita Nasional

KPK Sita Sejumlah Uang dari OTT Bupati Ponorogo Sugiri Sancoko

Retconomynow.com – (8 November 2025) — Komisi Pemberantasan Korupsi (KPK) kembali melakukan operasi penindakan senyap…
Stephen Thompson5 months ago
KPK Berdukacita Atas Meninggalnya Antasari Azhar
Berita Nasional

KPK Berdukacita Atas Meninggalnya Antasari Azhar

Retconomynow.com – (8 November 2025) — Kabar duka menyelimuti dunia hukum dan pemberantasan korupsi Indonesia.…
Stephen Thompson5 months ago
Tak Hanya Indonesia, Ini 6 Negara dengan Kereta Cepat Berteknologi Canggih
Ekonomi

Tak Hanya Indonesia, Ini 6 Negara dengan Kereta Cepat Berteknologi Canggih

Retconomynow.com – (7 November 2025) — Proyek Kereta Cepat Jakarta-Bandung (KCJB) Whoosh kembali menarik perhatian…
Stephen Thompson5 months ago
Ledakan di SMAN 72 Jakarta: 54 Korban Luka, Lokasi di Kompleks TNI AL Jadi Sorotan
Berita Nasional

Ledakan di SMAN 72 Jakarta: 54 Korban Luka, Lokasi di Kompleks TNI AL Jadi Sorotan

Retconomynow.com – (7 November 2025) — Sebuah ledakan SMAN 72 Jakarta yang dahsyat mengguncang ketenangan…
Stephen Thompson5 months ago
Babak Baru NYC: Frustrasi John Catsimatidis dan Ancaman Perang Toko Kelontong Melawan Wali Kota Mamdani
Berita Internasional

Babak Baru NYC: Frustrasi John Catsimatidis dan Ancaman Perang Toko Kelontong Melawan Wali Kota Mamdani

Retconomynow.com – (7 November 2025) — Kemenangan bersejarah politisi Muslim, Zohran Mamdani, dalam pemilihan wali…
Stephen Thompson5 months ago
Pesawat Kargo UPS Jatuh: Mesin Terlepas Saat Lepas Landas, 12 Orang Tewas
Berita Internasional

Pesawat Kargo UPS Jatuh: Mesin Terlepas Saat Lepas Landas, 12 Orang Tewas

Retconomynow.com – (6 November 2025) — Tragedi penerbangan besar mengguncang Amerika Serikat. Sebuah pesawat kargo…
Stephen Thompson5 months ago
Kronologi Presiden Meksiko Claudia Sheinbaum Alami Pelecehan Seksual, Tuntut Reformasi Hukum Nasional
Berita Internasional

Kronologi Presiden Meksiko Claudia Sheinbaum Alami Pelecehan Seksual, Tuntut Reformasi Hukum Nasional

Retconomynow.com – (6 November 2025) — Presiden Meksiko, Claudia Sheinbaum, secara terbuka mengonfirmasi bahwa ia…
Stephen Thompson5 months ago
Cerita Puan soal Beratnya Jadi Ketua DPR: Politik Enggak Bisa Dihitung 1+1
Berita Nasional

Cerita Puan soal Beratnya Jadi Ketua DPR: Politik Enggak Bisa Dihitung 1+1

Retconomynow.com – (6 November 2025) — Ketua DPR RI, Puan Maharani, menceritakan secara terbuka mengenai…
Stephen Thompson5 months ago
7 Tantangan Zohran Mamdani: Ujian Berat Wali Kota Sosialis Baru New York
Berita Internasional

7 Tantangan Zohran Mamdani: Ujian Berat Wali Kota Sosialis Baru New York

Retconomynow.com – (5 November 2025) — Tantangan Zohran Mamdani sebagai wali kota baru New York…
Stephen Thompson5 months ago
Ahmad Sahroni Terima Putusan MKD, Sanksi Nonaktif dan Penghentian Keuangan Menanti
Politik & Hukum

Ahmad Sahroni Terima Putusan MKD, Sanksi Nonaktif dan Penghentian Keuangan Menanti

Retconomynow.com – (5 November 2025) — Anggota DPR RI nonaktif, Ahmad Sahroni, secara terbuka menyatakan…
Stephen Thompson5 months ago
Ironi Dana Pemerintah Mengendap: Negara Terpaksa Bayar Bunga Utang 6 Persen
Ekonomi

Ironi Dana Pemerintah Mengendap: Negara Terpaksa Bayar Bunga Utang 6 Persen

Retconomynow.com – (5 November 2025) — Menteri Keuangan Purbaya Yudhi Sadewa menyoroti ironi besar dari…
Stephen Thompson5 months ago
Tinjauan Mendalam Kartel Narkoba Meksiko: Kekuatan, Kekejaman, dan Dampaknya
Berita Internasional

Tinjauan Mendalam Kartel Narkoba Meksiko: Kekuatan, Kekejaman, dan Dampaknya

Retconomynow.com – (4 November 2025) — Kekerasan ekstrem telah menjadi sinonim dengan perang narkoba di…
Stephen Thompson5 months ago
KPK Gali Keterangan Juliari Batubara Terkait Skandal Bansos Beras Rp 200 Miliar
Berita Nasional

KPK Gali Keterangan Juliari Batubara Terkait Skandal Bansos Beras Rp 200 Miliar

Retconomynow.com – (4 November 2025) — Komisi Pemberantasan Korupsi (KPK) kembali mendalami lingkaran korupsi di…
Stephen Thompson5 months ago
Gubernur Riau Abdul Wahid Tiba di KPK Usai Terjaring OTT
Berita Nasional

Gubernur Riau Abdul Wahid Tiba di KPK Usai Terjaring OTT

Retconomynow.com – (4 November 2025) — Komisi Pemberantasan Korupsi (KPK) kembali melakukan operasi senyap yang…
Stephen Thompson5 months ago
Prabowo Disebut ‘Cicil Utang Sejarah’ Kemerdekaan Palestina di Forum Internasional
Berita Nasional

Prabowo Disebut ‘Cicil Utang Sejarah’ Kemerdekaan Palestina di Forum Internasional

Retconomynow.com – (2 November 2025) — Pemerintah Indonesia, melalui Wakil Menteri Luar Negeri Anis Matta,…
Stephen Thompson5 months ago
ICRC Serukan Aksi Global Hentikan Pembantaian di Sudan
Berita Internasional

ICRC Serukan Aksi Global Hentikan Pembantaian di Sudan

Retconomynow.com – (Jenewa, 1 November 2025) — Komite Internasional Palang Merah (ICRC) telah mengeluarkan seruan…
Stephen Thompson5 months ago
Tensi Meningkat, Hizbullah Siap Berperang Jika Lebanon Diserang
Berita Internasional

Tensi Meningkat, Hizbullah Siap Berperang Jika Lebanon Diserang

Retconomynow.com – (Beirut, 1 November 2025) — Di tengah meningkatnya ketegangan di perbatasan selatan, petinggi…
Stephen Thompson5 months ago
Onadio Leonardo Ditangkap Terkait Narkoba, Polisi Tunggu Hasil Tes Urine
Berita Nasional

Onadio Leonardo Ditangkap Terkait Narkoba, Polisi Tunggu Hasil Tes Urine

Retconomynow.com – (Jakarta, 1 November 2025) — Kabar mengejutkan datang dari dunia hiburan Tanah Air.…
Stephen Thompson5 months ago
Babak Baru Pelanggaran Etik: MKD Siap Gelar Sidang Sahroni dkk
Berita Nasional

Babak Baru Pelanggaran Etik: MKD Siap Gelar Sidang Sahroni dkk

Retconomynow.com – 31 Oktober 2025 – Mahkamah Kehormatan Dewan (MKD) DPR RI hari ini memastikan…
Stephen Thompson5 months ago
Banjir Parah di Vietnam: 13 Orang Tewas, Kota Bersejarah Tenggelam
Berita Internasional

Banjir Parah di Vietnam: 13 Orang Tewas, Kota Bersejarah Tenggelam

Retconomynow.com – 31 Oktober 2025 – Sebuah bencana hidrometeorologi dahsyat tengah melanda Vietnam. Faktanya, banjir…
Stephen Thompson5 months ago
Puan Serukan Gerakan Nasional Perangi Narkoba di Acara Pemusnahan 214 Ton Barang Bukti
Berita Nasional

Puan Serukan Gerakan Nasional Perangi Narkoba di Acara Pemusnahan 214 Ton Barang Bukti

Retconomynow.com – 30 Oktober 2025 – Ketua Dewan Perwakilan Rakyat (DPR) RI, Puan Maharani, hari…
Stephen Thompson5 months ago
Polemik Tanah Wakaf: Kemenag Tegaskan Milik Allah, Tak Bisa Jadi Agunan Bank
Berita Nasional

Polemik Tanah Wakaf: Kemenag Tegaskan Milik Allah, Tak Bisa Jadi Agunan Bank

Retconomynow.com – 30 Oktober 2025 – Kementerian Agama (Kemenag) dan Badan Wakaf Indonesia (BWI) hari…
Stephen Thompson5 months ago
Kontroversi Laju Ekonomi 5 Persen: Benarkah Ada yang Sengaja Menahan Pertumbuhan RI?
Ekonomi

Kontroversi Laju Ekonomi 5 Persen: Benarkah Ada yang Sengaja Menahan Pertumbuhan RI?

Retconomynow.com – 28 Oktober 2025 – Sebuah pernyataan kontroversial datang dari Menteri Keuangan Purbaya Yudhi…
Stephen Thompson5 months ago
Peringkat Taat Hukum Indonesia Turun, Kini Resmi di Bawah Malaysia
Berita Internasional

Peringkat Taat Hukum Indonesia Turun, Kini Resmi di Bawah Malaysia

Retconomynow.com – 28 Oktober 2025 – Sebuah potret buram mengenai kondisi supremasi hukum di tanah…
Stephen Thompson5 months ago
Navigasi Badai Geopolitik: Strategi ASEAN Hadapi Konflik Global dan Peran Kunci Indonesia
Berita Nasional

Navigasi Badai Geopolitik: Strategi ASEAN Hadapi Konflik Global dan Peran Kunci Indonesia

Retconomynow.com – 28 Oktober 2025 – Di tengah meningkatnya eskalasi konflik global dan persaingan sengit…
Stephen Thompson5 months ago
Ironi Sumpah Dokter: Priguna Anugrah Dituntut 11 Tahun Penjara Atas Pemerkosaan Pasien
Berita Nasional

Ironi Sumpah Dokter: Priguna Anugrah Dituntut 11 Tahun Penjara Atas Pemerkosaan Pasien

Retconomynow.com – 27 Oktober 2025 – Sebuah tuntutan Priguna Anugrah Pratama selama 11 tahun penjara…
Stephen Thompson5 months ago
Era Baru Ibadah Umrah: UU Haji Baru Sahkan Umrah Mandiri, Ini 5 Syaratnya
Berita Nasional

Era Baru Ibadah Umrah: UU Haji Baru Sahkan Umrah Mandiri, Ini 5 Syaratnya

Retconomynow.com – 26 Oktober 2025 – Sebuah era baru dalam penyelenggaraan ibadah umrah di Indonesia…
Stephen Thompson5 months ago
China Jawab Isu Proyek Whoosh yang Disebut Luhut “Busuk”
Ekonomi

China Jawab Isu Proyek Whoosh yang Disebut Luhut “Busuk”

Retconomynow.com – 25 Oktober 2025 – Pemerintah China akhirnya buka suara. Mereka menanggapi polemik panas…
Stephen Thompson5 months ago
Wacana Mapel Bahasa Portugis Dikritik DPR: Diplomasi Prabowo atau Beban Baru Siswa?
Berita Nasional

Wacana Mapel Bahasa Portugis Dikritik DPR: Diplomasi Prabowo atau Beban Baru Siswa?

Retconomynow.com – 25 Oktober 2025 – Wacana untuk menjadikan mapel Bahasa Portugis sebagai mata pelajaran…
Stephen Thompson5 months ago
Rencana Pencaplokan Tepi Barat oleh Israel, Palestina: “Deklarasi Perang Sudah Ditabuh”
Berita Internasional

Rencana Pencaplokan Tepi Barat oleh Israel, Palestina: “Deklarasi Perang Sudah Ditabuh”

Retconomynow.com – 25 Oktober 2025 – Seorang pejabat senior Palestina hari ini menyatakan bahwa rencana…
Stephen Thompson5 months ago
Kisah Nina Kutina: Terungkapnya Misteri Perempuan Rusia dan 2 Anaknya di Gua India
Berita Internasional

Kisah Nina Kutina: Terungkapnya Misteri Perempuan Rusia dan 2 Anaknya di Gua India

Retconomynow.com – 24 Oktober 2025 – Misteri yang menyelimuti seorang perempuan Rusia dan dua putrinya…
Stephen Thompson5 months ago
Vonis Ringan Picu Amarah, Koalisi Desak Revisi UU Peradilan Militer
Politik & Hukum

Vonis Ringan Picu Amarah, Koalisi Desak Revisi UU Peradilan Militer

Retconomynow.com – 24 Oktober 2025 – Desakan untuk segera melakukan revisi UU Peradilan Militer kembali…
Stephen Thompson5 months ago
iQoo Z10R Resmi di Indonesia, Gebrak Pasar Rp 3 Jutaan dengan Baterai 6.500 mAh
Teknologi

iQoo Z10R Resmi di Indonesia, Gebrak Pasar Rp 3 Jutaan dengan Baterai 6.500 mAh

Retconomynow.com – 24 Oktober 2025 – Pasar smartphone kelas menengah Indonesia kembali memanas. Pasalnya, vendor…
Stephen Thompson5 months ago
BGN Cek 12 Dapur MBG, Babak Baru Usai Penutupan Massal 112 SPPG
Berita Nasional

BGN Cek 12 Dapur MBG, Babak Baru Usai Penutupan Massal 112 SPPG

Retconomynow.com – 23 Oktober 2025 – Badan Gizi Nasional (BGN) hari ini mengumumkan akan segera…
Stephen Thompson5 months ago
Penerbangan Kamboja Dicurigai Terkait Penipuan Daring, Pemerintah Turun Tangan
Berita Nasional

Penerbangan Kamboja Dicurigai Terkait Penipuan Daring, Pemerintah Turun Tangan

Retconomynow.com – 22 Oktober 2025 – Pemerintah Indonesia kini menyoroti sebuah anomali yang sangat meresahkan.…
Stephen Thompson5 months ago
“Tak Pantas!” DPR Sentil Keras Sanksi Private Jet KPU
Berita Nasional

“Tak Pantas!” DPR Sentil Keras Sanksi Private Jet KPU

Retconomynow.com – 23 Oktober 2025 – Sanksi keras dari Dewan Kehormatan Penyelenggara Pemilu (DKPP) terkait…
Stephen Thompson5 months ago
Era Baru Mobnas: Istana Beri Sinyal Proyek Mobil Nasional Masuk PSN
Berita Nasional

Era Baru Mobnas: Istana Beri Sinyal Proyek Mobil Nasional Masuk PSN

Retconomynow.com – 22 Oktober 2025 – Sebuah sinyal kuat bahwa proyek mobil nasional masuk PSN…
Stephen Thompson5 months ago
“Tajam Keluar, Tumpul ke Dalam”: DPR Sentil Kejagung soal Sanksi Jaksa Korup
Berita Nasional

“Tajam Keluar, Tumpul ke Dalam”: DPR Sentil Kejagung soal Sanksi Jaksa Korup

Retconomynow.com – 22 Oktober 2025 – Sebuah sentilan keras datang dari parlemen untuk Kejaksaan Agung…
Stephen Thompson5 months ago
Prabowo ke KTT APEC, Bawa Misi AI dan Demografi untuk Kawasan
Berita Nasional

Prabowo ke KTT APEC, Bawa Misi AI dan Demografi untuk Kawasan

Retconomynow.com – 22 Oktober 2025 – Indonesia bersiap untuk memainkan peran strategis di panggung ekonomi…
Stephen Thompson5 months ago
KPK Tagih Janji: SK Pencabutan Izin Tambang di Raja Ampat Belum Ditemukan
Politik & Hukum

KPK Tagih Janji: SK Pencabutan Izin Tambang di Raja Ampat Belum Ditemukan

Retconomynow.com – 21 Oktober 2025 – Komisi Pemberantasan Korupsi (KPK) hari ini mengungkap sebuah fakta…
Stephen Thompson5 months ago
Tanda Nyata Perubahan Iklim: Nyamuk Ditemukan Berkembang Biak di ‘Negeri Es’ Islandia
Berita Internasional

Tanda Nyata Perubahan Iklim: Nyamuk Ditemukan Berkembang Biak di ‘Negeri Es’ Islandia

Retconomynow.com – 21 Oktober 2025 – Sebuah penemuan yang telah lama para ilmuwan prediksi dan…
Stephen Thompson5 months ago
Tom Lembong Lapor Hakim, Tuntut Akuntabilitas di Balik Vonis Gula
Berita Nasional

Tom Lembong Lapor Hakim, Tuntut Akuntabilitas di Balik Vonis Gula

Retconomynow.com – 21 Oktober 2025 – Langkah mantan Menteri Perdagangan Tom Lembong lapor hakim ke…
Stephen Thompson5 months ago
Harapan Baru Pasien Kanker Hati: Mengenal Terapi Canggih Tanpa Operasi
Kesehatan

Harapan Baru Pasien Kanker Hati: Mengenal Terapi Canggih Tanpa Operasi

Retconomynow.com – 20 Oktober 2025 – Sebuah harapan baru kini hadir bagi para pejuang kanker…
Stephen Thompson5 months ago
Jet China Tembakkan Suar, Australia Protes Keras Aksi Berbahaya di Laut China Selatan
Berita Internasional

Jet China Tembakkan Suar, Australia Protes Keras Aksi Berbahaya di Laut China Selatan

Retconomynow.com – 20 Oktober 2025 – Ketegangan di Laut China Selatan kembali memanas secara dramatis.…
Stephen Thompson5 months ago
Jejak Korupsi CSR: KPK Sita Mobil Mewah Terkait Legislator Heri Gunawan
Berita Nasional

Jejak Korupsi CSR: KPK Sita Mobil Mewah Terkait Legislator Heri Gunawan

Retconomynow.com – 20 Oktober 2025 – Komisi Pemberantasan Korupsi (KPK) terus menelusuri aliran dana dalam…
Stephen Thompson5 months ago
Gelombang Protes “No Kings” Guncang Amerika, 7 Juta Orang Turun ke Jalan
Berita Internasional

Gelombang Protes “No Kings” Guncang Amerika, 7 Juta Orang Turun ke Jalan

Retconomynow.com – 19 Oktober 2025 – Sebuah gelombang protes massal yang menamakan diri demo “No…
Stephen Thompson6 months ago
Evaluasi Golkar: Satu Tahun Prabowo-Gibran Tunjukkan Hasil Baik, Sebagian Masih “On Progress”
Berita Nasional

Evaluasi Golkar: Satu Tahun Prabowo-Gibran Tunjukkan Hasil Baik, Sebagian Masih “On Progress”

Retconomynow.com – 19 Oktober 2025 – Tepat satu tahun menjelang peringatan pertama pemerintahan Prabowo Subianto-Gibran…
Stephen Thompson6 months ago
BLT Tambahan 300 Ribu Cair Mulai Besok, Tepat di Momen 1 Tahun Pemerintahan Prabowo
Berita Nasional

BLT Tambahan 300 Ribu Cair Mulai Besok, Tepat di Momen 1 Tahun Pemerintahan Prabowo

Retconomynow.com – 19 Oktober 2025 – Pemerintah secara resmi mengumumkan pencairan BLT tambahan 300 ribu…
Stephen Thompson6 months ago
Puskesmas Pango Raya Dikeluhkan Warga, Wali Kota Sidak dan Temukan Pintu Terkunci
Berita Nasional

Puskesmas Pango Raya Dikeluhkan Warga, Wali Kota Sidak dan Temukan Pintu Terkunci

Retconomynow.com – 18 Oktober 2025 – Keluhan warga mengenai jadwal buka yang tidak menentu dan…
Stephen Thompson6 months ago
Rekonsiliasi 5 Abad: Raja Charles Akan Berdoa Bersama Paus di Vatikan
Berita Internasional

Rekonsiliasi 5 Abad: Raja Charles Akan Berdoa Bersama Paus di Vatikan

Retconomynow.com – 18 Oktober 2025 – Sebuah momen bersejarah akan segera terjadi. Faktanya, momen ini…
Stephen Thompson6 months ago
Rahasia Belajar Prabowo: Tetap Baca Buku di Era ChatGPT dan Waspadai Bahaya AI
Berita Nasional

Rahasia Belajar Prabowo: Tetap Baca Buku di Era ChatGPT dan Waspadai Bahaya AI

Retconomynow.com – 18 Oktober 2025 – Di hadapan para wisudawan, Presiden Prabowo Subianto membagikan sebuah…
Stephen Thompson6 months ago
Nasib Ammar Zoni: Titik Terendah dari Aktor Populer Menuju Napi Berisiko Tinggi
Politik & Hukum

Nasib Ammar Zoni: Titik Terendah dari Aktor Populer Menuju Napi Berisiko Tinggi

Retconomynow.com – 17 Oktober 2025 – Titik terendah dalam perjalanan hidup nasib Ammar Zoni kini…
Stephen Thompson6 months ago
Hapus Utang KPR Rp1 Juta: Solusi Inklusif atau Bom Waktu Moral Hazard?
Ekonomi

Hapus Utang KPR Rp1 Juta: Solusi Inklusif atau Bom Waktu Moral Hazard?

17 Oktober 2025 – Pemerintah, melalui Menteri Keuangan Purbaya Yudhi Sadewa, melontarkan sebuah wacana kebijakan…
Stephen Thompson6 months ago
Palestina Luncurkan Rencana Rekonstruksi Gaza Senilai Rp1.111 Triliun
Berita Internasional

Palestina Luncurkan Rencana Rekonstruksi Gaza Senilai Rp1.111 Triliun

Retconomynow.com – 17 Oktober 2025 – Di tengah puing-puing kehancuran akibat perang yang berlangsung hampir…
Stephen Thompson6 months ago
Komdigi Beri Ultimatum ke X: Bayar Denda Konten Porno atau Izin Dicabut Pekan Depan
Berita Nasional

Komdigi Beri Ultimatum ke X: Bayar Denda Konten Porno atau Izin Dicabut Pekan Depan

Retconomynow.com – 17 Oktober 2025 – Pemerintah Indonesia, melalui Kementerian Komunikasi dan Digital (Komdigi), secara…
Stephen Thompson6 months ago
Pengawasan Pertambangan Ilegal Prabowo Stop Rugi Timah
Berita Nasional

Pengawasan Pertambangan Ilegal Prabowo Stop Rugi Timah

Retconomynow.com – Presiden Republik Indonesia, Prabowo Subianto, mendeklarasikan era baru penegakan hukum terhadap kejahatan sumber…
Stephen Thompson6 months ago
Origin Smooth Engine: Inovasi Vivo Janjikan Performa Super Mulus Hingga 5 Tahun Tanpa Lag
Teknologi

Origin Smooth Engine: Inovasi Vivo Janjikan Performa Super Mulus Hingga 5 Tahun Tanpa Lag

Retconomynow.com – 16 Oktober 2025 – Di tengah persaingan industri smartphone yang semakin ketat, Vivo…
Stephen Thompson6 months ago
Realme GT 8 Pro Rilis Global November, Kapan Masuk Indonesia?
Teknologi

Realme GT 8 Pro Rilis Global November, Kapan Masuk Indonesia?

Retconomynow.com – 16 Oktober 2025 – Realme secara resmi mengonfirmasi sebuah kabar besar. Smartphone flagship…
Stephen Thompson6 months ago
Biaya Visa H-1B Picu Kepanikan, Warga India Jadi Target Sabotase Daring
Berita Internasional

Biaya Visa H-1B Picu Kepanikan, Warga India Jadi Target Sabotase Daring

Retconomynow.com – 16 Oktober 2025 – Sebuah pengumuman kebijakan baru terkait biaya visa H-1B oleh…
Stephen Thompson6 months ago
Taktik Baru Rusia: Siasat Tim Kecil Guncang Pertahanan Ukraina
Berita Internasional

Taktik Baru Rusia: Siasat Tim Kecil Guncang Pertahanan Ukraina

Retconomynow.com – 16 Oktober 2025 – Militer Ukraina mengungkap adanya sebuah taktik baru Rusia yang…
Stephen Thompson6 months ago
WNA Pimpin BUMN: Prabowo Umumkan Reformasi Radikal BUMN di Forum Global
Berita Nasional

WNA Pimpin BUMN: Prabowo Umumkan Reformasi Radikal BUMN di Forum Global

Retconomynow.com – 16 Oktober 2025 – Presiden Prabowo Subianto mengumumkan sebuah reformasi radikal dalam sejarah…
Stephen Thompson6 months ago
Kerja Sama Realme Ricoh: Mengungkap Alasan di Balik Kolaborasi Kamera Flagship
Teknologi

Kerja Sama Realme Ricoh: Mengungkap Alasan di Balik Kolaborasi Kamera Flagship

Retconomynow.com – 15 Oktober 2025 – Arena persaingan kamera smartphone kembali memanas. Realme hari ini…
Stephen Thompson6 months ago
Vonis Rudy Kurniawan: Ironi Sikap Sopan dalam Kasus Cabul Anggota DPRD Depok
Politik & Hukum

Vonis Rudy Kurniawan: Ironi Sikap Sopan dalam Kasus Cabul Anggota DPRD Depok

Retconomynow.com – 15 Oktober 2025 – Sebuah putusan yang menjatuhkan vonis Rudy Kurniawan selama 10…
Stephen Thompson6 months ago
Kesiapan Tenaga Medis: Garda Terdepan di Tengah Pandemi yang Tak Kunjung Usai
Kesehatan

Kesiapan Tenaga Medis: Garda Terdepan di Tengah Pandemi yang Tak Kunjung Usai

Retconomynow.com – 15 Oktober 2025 – Meskipun telah berlangsung bertahun-tahun, pandemi global terus menunjukkan dinamikanya…
Stephen Thompson6 months ago
Tragedi Siswi SMA Ditikam di Malaysia, PM Anwar Soroti Pengaruh Media Sosial
Berita Internasional

Tragedi Siswi SMA Ditikam di Malaysia, PM Anwar Soroti Pengaruh Media Sosial

Retconomynow.com – 15 Oktober 2025 – Sebuah tragedi mengerikan mengguncang dunia pendidikan Malaysia dan memicu…
Stephen Thompson6 months ago
Nasib PPPK: Janji Setara yang Terhenti di Atas Kertas
Berita Nasional

Nasib PPPK: Janji Setara yang Terhenti di Atas Kertas

Retconomynow.com – 15 Oktober 2025 – Ketika pemerintah dan DPR mengesahkan Undang-Undang Nomor 20 Tahun…
Stephen Thompson6 months ago
Pusat Data AI Google Senilai $15 Miliar Akan Dibangun di India
Teknologi

Pusat Data AI Google Senilai $15 Miliar Akan Dibangun di India

Retconomynow.com – 14 Oktober 2025 – Google hari ini mengumumkan sebuah langkah monumental. Langkah ini…
Stephen Thompson6 months ago
6 Makanan Perusak Ginjal yang Wajib Anda Waspadai Setiap Hari
Kesehatan

6 Makanan Perusak Ginjal yang Wajib Anda Waspadai Setiap Hari

Retconomynow.com – 14 Oktober 2025 – Ginjal adalah organ vital yang bekerja tanpa henti, menyaring…
Stephen Thompson6 months ago
Putusan MA Tendang PIK 2 dari PSN: Analisis Lengkap Cacat Hukum di Baliknya
Ekonomi

Putusan MA Tendang PIK 2 dari PSN: Analisis Lengkap Cacat Hukum di Baliknya

Retconomynow.com – 14 Oktober 2025 – Pemerintahan Presiden Prabowo Subianto mengambil sebuah langkah tegas. Mereka…
Stephen Thompson6 months ago
Warga Korea Selatan Hilang di Kamboja, Jebakan Pusat Penipuan Picu Krisis
Berita Internasional

Warga Korea Selatan Hilang di Kamboja, Jebakan Pusat Penipuan Picu Krisis

Retconomynow.com – 14 Oktober 2025 – Sebuah krisis kemanusiaan dan diplomatik yang mengkhawatirkan kini membayangi…
Stephen Thompson6 months ago
Dugaan Eksploitasi Terapis: Kematian ABG 14 Tahun di Spa Jaksel Diselidiki
Berita Nasional

Dugaan Eksploitasi Terapis: Kematian ABG 14 Tahun di Spa Jaksel Diselidiki

Retconomynow.com – 14 Oktober 2025 – Misteri yang menyelimuti kematian seorang terapis wanita berinisial RTA…
Stephen Thompson6 months ago
Praperadilan Nadiem Makarim Ditolak, Status Tersangka Sah Menurut Hukum
Politik & Hukum

Praperadilan Nadiem Makarim Ditolak, Status Tersangka Sah Menurut Hukum

Retconomynow.com – (Jakarta, 13 Oktober 2025) – Upaya hukum yang ditempuh oleh Nadiem Anwar Makarim…
Stephen Thompson6 months ago
Pemicu Kanker Lambung: Kenali 7 Faktor Risiko Utamanya
Kesehatan

Pemicu Kanker Lambung: Kenali 7 Faktor Risiko Utamanya

Retconomynow.com – 13 Oktober 2025 – Kanker lambung sering dianggap sebagai ancaman kesehatan yang senyap.…
Stephen Thompson6 months ago
Strategi Warren Buffett Hadapi Inflasi: Keahlian dan Bisnis Efisien
Ekonomi

Strategi Warren Buffett Hadapi Inflasi: Keahlian dan Bisnis Efisien

Retconomynow.com – Jakarta, 13 Oktober 2025 – Investor legendaris Warren Buffett memiliki pendekatan unik dalam…
Stephen Thompson6 months ago
Trump Umumkan Akhir Konflik Gaza, Hadiri KTT Perdamaian Mesir
Berita Internasional

Trump Umumkan Akhir Konflik Gaza, Hadiri KTT Perdamaian Mesir

Retconomynow.com – Jakarta, 13 Oktober 2025 – Presiden Amerika Serikat Donald Trump mengumumkan bahwa konflik…
Stephen Thompson6 months ago
Penyidikan Kasus Chromebook: Status Tersangka Nadiem Sah
Berita Nasional

Penyidikan Kasus Chromebook: Status Tersangka Nadiem Sah

Retconomynow.com – Jakarta, 13 Oktober 2025 – Pengadilan Negeri Jakarta Selatan menolak praperadilan yang diajukan…
Stephen Thompson6 months ago

Kategori

  • Berita Internasional
  • Berita Nasional
  • Ekonomi
  • Kesehatan
  • Outdoors
  • Politik & Hukum
  • Teknologi

Meta

  • Masuk
  • Feed entri
  • Feed komentar
  • WordPress.org

partnersite

https://www.jodoh88gg.site/

 

https://sakura118gg.com/

 

https://sports-totosite.com/

 

https://www.retconomynow.com/

 

https://gumushanehbr.com/

 

https://heylink.me/vipskr118/

 

https://heylink.me/exmivip/

 

https://heylink.me/officialsakura118resmi/

 

https://jodoh88-official.com/

 

https://musikgalerie.com/author/admin/

 

https://musikgalerie.com/datenschutz/

 

https://musikgalerie.com/impressum/

Copyright © 2026 retconomynow Theme: Essence News By Artify Themes.